Suppr超能文献

小叶中心型肺气肿的实质、细支气管和支气管测量。与右心室重量的关系。

Parenchymal, bronchiolar, and bronchial measurements in centrilobular emphysema. Relation to weight of right ventricle.

作者信息

Bignon J, Andre-Bougaran J, Brouet G

出版信息

Thorax. 1970 Sep;25(5):556-67. doi: 10.1136/thx.25.5.556.

Abstract

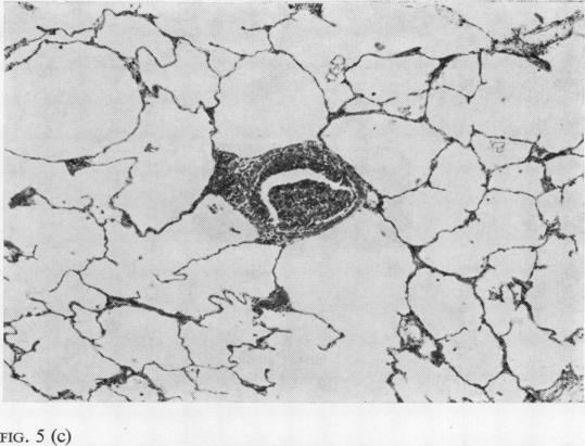
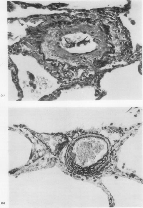
Measurements of lung parenchyma, membranous bronchioles, and bronchial mucous gland hyperplasia were made on lungs from eight cases of pure centrilobular emphysema (CLE) and on five normal lungs. The lungs were fixed in formalin and inflated under partial vacuum at a standard transpulmonary pressure of +30 cm. HO. The results obtained from the upper halves and the lower halves of the lungs were compared. The circulatory effects of the disease were measured by weighing the heart ventricles, by studying the small pulmonary arteries in microscopical sections, and by post-mortem arteriography. Whereas the parenchymal and internal surface areas destroyed by the emphysematous spaces were relatively moderate and localized, right ventricular hypertrophy was noted in most of the cases. In these cases bronchiolar stenoses were found scattered throughout the whole lung and there was a reduction in the number of these bronchioles, mainly in the upper halves of the lungs. In CLE ventilatory disturbances were caused not only by the centriacinar dilated spaces delaying gas diffusion, but also by scattered bronchiolar stenoses situated at the termination of the conducting air passages. The stenoses seemed the more important cause. It was shown statistically that chronic arterial pulmonary hypertension and right ventricular hypertrophy were mainly the result of functional disturbances, especially hypoxia and abnormalities of VA/Q produced by the two structural changes situated at the end of the small airways.

摘要

对8例单纯小叶中心型肺气肿(CLE)患者的肺组织以及5例正常肺组织进行了肺实质、膜性细支气管和支气管黏液腺增生的测量。肺组织用福尔马林固定,并在+30 cmH₂O的标准跨肺压下于部分真空状态下充气。比较了肺上半部分和下半部分的测量结果。通过称量心室重量、研究显微镜切片中的小肺动脉以及死后血管造影来测量该疾病的循环影响。尽管肺气肿腔破坏的实质和内表面积相对适中且局限,但大多数病例均发现有右心室肥厚。在这些病例中,细支气管狭窄散在于全肺,且这些细支气管数量减少,主要发生在肺的上半部分。在小叶中心型肺气肿中,通气障碍不仅是由于腺泡中央扩张的气腔延迟气体扩散所致,还由于位于传导气道末端的散在细支气管狭窄。狭窄似乎是更重要的原因。统计学显示,慢性动脉性肺动脉高压和右心室肥厚主要是功能障碍的结果,尤其是由小气道末端的两种结构改变所产生的缺氧和通气/血流比值异常。

https://cdn.ncbi.nlm.nih.gov/pmc/blobs/1461/472189/8961430719be/thorax00113-0050-a.jpg

文献检索

告别复杂PubMed语法,用中文像聊天一样搜索,搜遍4000万医学文献。AI智能推荐,让科研检索更轻松。

立即免费搜索

文件翻译

保留排版,准确专业,支持PDF/Word/PPT等文件格式,支持 12+语言互译。

免费翻译文档

深度研究

AI帮你快速写综述,25分钟生成高质量综述,智能提取关键信息,辅助科研写作。

立即免费体验