Zucker-Franklin D, Melton J W, Quagliata F
Proc Natl Acad Sci U S A. 1974 May;71(5):1877-81. doi: 10.1073/pnas.71.5.1877.
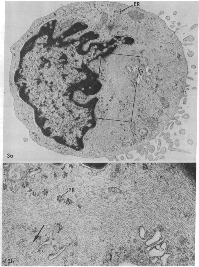
The vast majority of human lymphoid neoplasms examined to date have been associated with a proliferation of bone marrow-dependent (B) lymphocytes. In an effort to delineate human tumors of T-cell (thymusdependent) lineage, use was made of the peripheral blood leukocytes of sixteen subjects with various forms of mycosis fungoides. The abnormal cells in the circulation of these patients are morphologically identical to those that infiltrate their nodes and skin. On electron microscopy, such neoplastic lymphocytes (Sézary cells) had "cerebriform" nuclei and an abundance of cytoplasmic fibrils not described heretofore. Sézary cells were nonadherent and nonphagocytic and usually responded to stimulation with phytohemagglutinin, refuting earlier suggestions that the cells represent monocytes or histiocytes. In contrast to chronic lymphocytic leukemia lymphocytes, the Sézary cells lacked surface immunoglobulin and receptors for complement. Ultrastructural analysis identified Sézary cells in the center of directly formed rosettes (E-rosettes) characterizing the behavior of T lymphocytes in this test. Though some Sézary cells lacked both T and B cell-surface properties, in general, these observations support the view that the Sézary cell is a neoplastic variant of a thymusderived lymphocyte.
迄今为止,绝大多数已检测的人类淋巴肿瘤都与骨髓依赖性(B)淋巴细胞的增殖有关。为了明确人类T细胞(胸腺依赖性)谱系的肿瘤,研究人员利用了16名患有各种蕈样肉芽肿的受试者的外周血白细胞。这些患者循环中的异常细胞在形态上与浸润其淋巴结和皮肤的细胞相同。在电子显微镜下,这种肿瘤性淋巴细胞(Sezary细胞)具有“脑回状”核以及大量此前未描述过的细胞质纤维。Sezary细胞不黏附且不具有吞噬作用,通常对植物血凝素刺激有反应,这反驳了早期认为这些细胞代表单核细胞或组织细胞的观点。与慢性淋巴细胞白血病淋巴细胞不同,Sezary细胞缺乏表面免疫球蛋白和补体受体。超微结构分析在直接形成的玫瑰花结(E-玫瑰花结)中心发现了Sezary细胞,这是该检测中T淋巴细胞行为的特征。尽管一些Sezary细胞缺乏T细胞和B细胞的表面特性,但总体而言,这些观察结果支持Sezary细胞是胸腺来源淋巴细胞的肿瘤变体这一观点。