Suppr超能文献

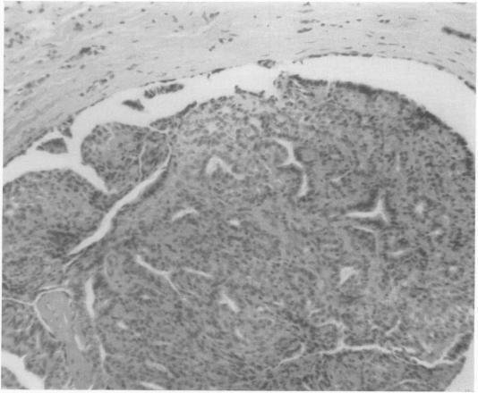
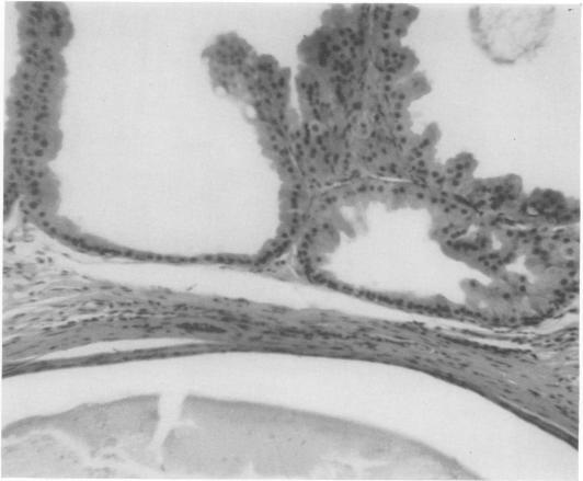
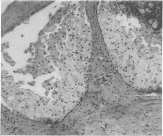
Can breast carcinoma be anticipated? A follow-up of benign breast biopsies.

作者信息

Potter J F, Slimbaugh W P, Woodward S C

出版信息

Ann Surg. 1968 Jun;167(6):829-38. doi: 10.1097/00000658-196806000-00003.

Abstract
摘要
https://cdn.ncbi.nlm.nih.gov/pmc/blobs/e7a8/1387150/94ece9d67990/annsurg00438-0024-a.jpg

文献检索

告别复杂PubMed语法,用中文像聊天一样搜索,搜遍4000万医学文献。AI智能推荐,让科研检索更轻松。

立即免费搜索

文件翻译

保留排版,准确专业,支持PDF/Word/PPT等文件格式,支持 12+语言互译。

免费翻译文档

深度研究

AI帮你快速写综述,25分钟生成高质量综述,智能提取关键信息,辅助科研写作。

立即免费体验