Suppr超能文献

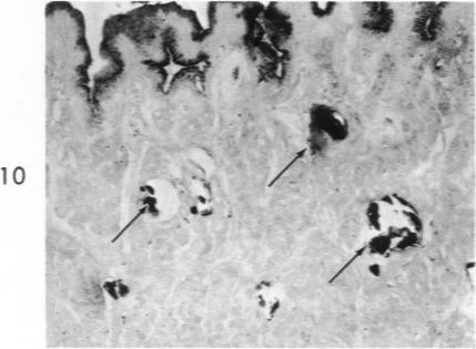
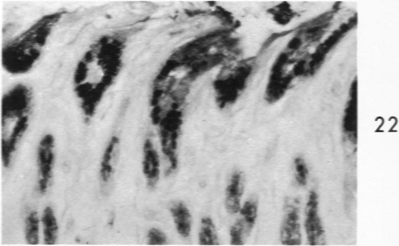
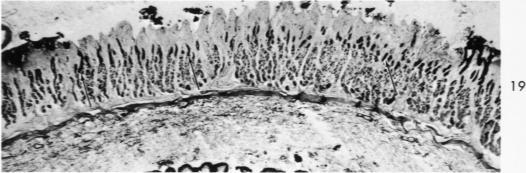
Histochemical and morphologic changes in gastric mucosa of dogs on ulcerogenic regimen.

作者信息

Spicer S S, Sun D C

出版信息

Am J Pathol. 1969 Jul;56(1):129-51.

Abstract
摘要
https://cdn.ncbi.nlm.nih.gov/pmc/blobs/f1bd/2013580/fbdd3b978a2b/amjpathol00422-0142-a.jpg

文献检索

告别复杂PubMed语法,用中文像聊天一样搜索,搜遍4000万医学文献。AI智能推荐,让科研检索更轻松。

立即免费搜索

文件翻译

保留排版,准确专业,支持PDF/Word/PPT等文件格式,支持 12+语言互译。

免费翻译文档

深度研究

AI帮你快速写综述,25分钟生成高质量综述,智能提取关键信息,辅助科研写作。

立即免费体验