Suppr超能文献

Histochemical changes in gastric mucosubstances in patients with acute and chronic ulcer disease.

作者信息

Cathcart R S, Fitts C T, McAlhany J C, Spicer S S

出版信息

Ann Surg. 1974 Jul;180(1):1-8. doi: 10.1097/00000658-197407000-00001.

Abstract

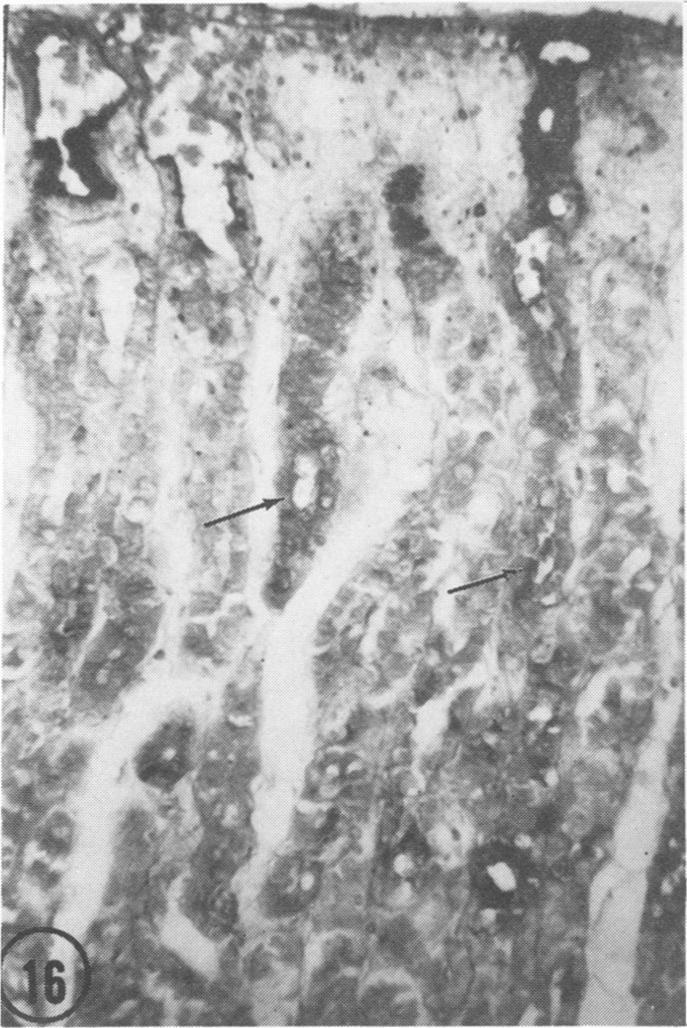
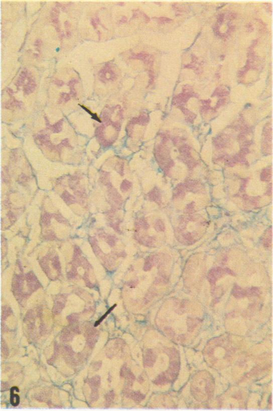
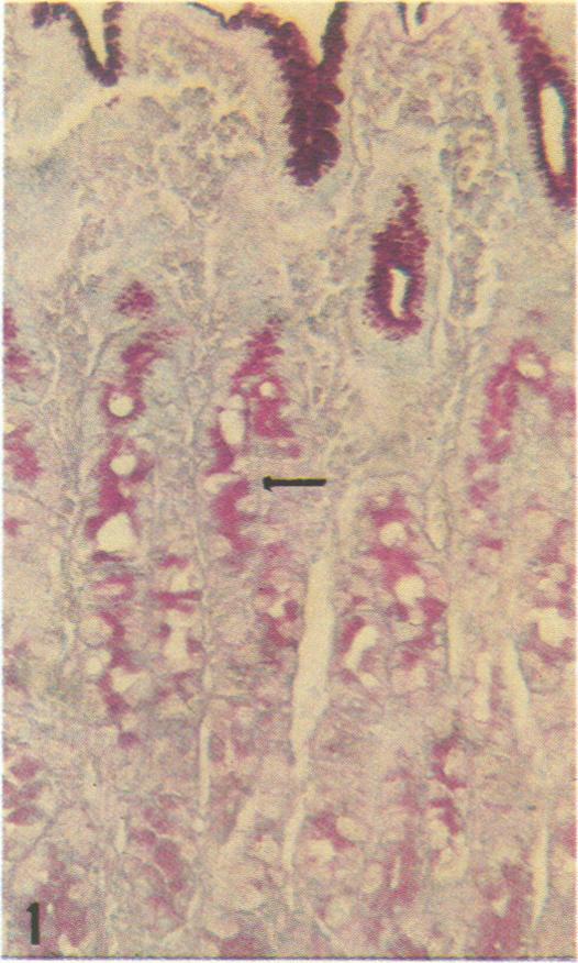
The several types of epithelial cells in human gastric mucosa produce different mucosubstances. The surface epithelium largely forms a neutral mucosubstance except that in about two-thirds of the specimens the deep foveolar cells produce a slight to moderate amount of a mucosubstance apparently containing sulfate esters and carboxyl groups. Mucous neck cells often exhibit a neutral mucosubstance but in about onehalf of the stomachs reveal a slight to moderate reactivity indicative of sulfated mucosubstance. Chief cells contain a sulfated mucosubstance with unique histochemical properties. Mast cells vary widely in prevalence but those in the gastric mucosa appear depleted of stored mucosubstances when compared with those in the gastric submucosa or the esophagus. The sulfated mucosubstance normally abundant in human as in canine chief cells appears consistently depleted in patients with stress ulcer or hemorrhagic gastritis. In addition, mucus often appears depleted in the surface epithelium and interstitial edema is present in the superficial mucosa of these patients. These findings appear consistent with the view that biosynthetic activity in chief cells and surface epithelial cells is impaired perhaps secondary to shock-induced circulatory changes in gastric mucosa of patients with stress ulcer or hemorrhagic gastritis.

摘要
https://cdn.ncbi.nlm.nih.gov/pmc/blobs/04ea/1343601/93f3377864d3/annsurg00293-0015-a.jpg

文献检索

告别复杂PubMed语法,用中文像聊天一样搜索,搜遍4000万医学文献。AI智能推荐,让科研检索更轻松。

立即免费搜索

文件翻译

保留排版,准确专业,支持PDF/Word/PPT等文件格式,支持 12+语言互译。

免费翻译文档

深度研究

AI帮你快速写综述,25分钟生成高质量综述,智能提取关键信息,辅助科研写作。

立即免费体验