Suppr超能文献

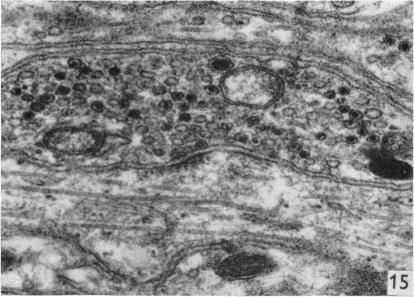
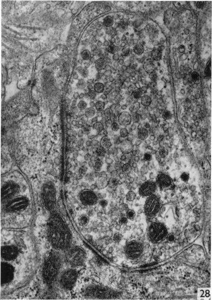
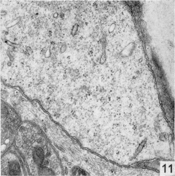
Fine structure of the myenteric plexus in the guinea-pig ileum.

作者信息

Gabella G

出版信息

J Anat. 1972 Jan;111(Pt 1):69-97.

Abstract
摘要
https://cdn.ncbi.nlm.nih.gov/pmc/blobs/fa1c/1271115/d37ead8b08c9/janat00323-0077-a.jpg

文献检索

告别复杂PubMed语法,用中文像聊天一样搜索,搜遍4000万医学文献。AI智能推荐,让科研检索更轻松。

立即免费搜索

文件翻译

保留排版,准确专业,支持PDF/Word/PPT等文件格式,支持 12+语言互译。

免费翻译文档

深度研究

AI帮你快速写综述,25分钟生成高质量综述,智能提取关键信息,辅助科研写作。

立即免费体验