Suppr超能文献

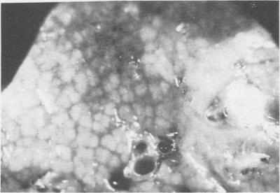
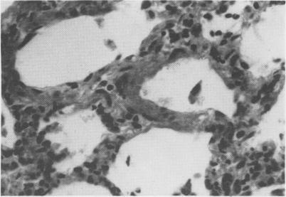
[Progressive interstitial pneumonia of sheep].

作者信息

Bellavance R, Turgeon D, Phaneuf J B, Sauvageau R

出版信息

Can Vet J. 1974 Oct;15(10):293-7.

Abstract
摘要
https://cdn.ncbi.nlm.nih.gov/pmc/blobs/2283/1696680/3fe86238ebb5/canvetj00419-0046-a.jpg

文献AI研究员

20分钟写一篇综述,助力文献阅读效率提升50倍。

立即体验

用中文搜PubMed

大模型驱动的PubMed中文搜索引擎

马上搜索

文档翻译

学术文献翻译模型,支持多种主流文档格式。

立即体验