Suppr超能文献

犬心脏和肾脏同种异体移植超急性排斥反应中的器官特异性

Organ specificity in hyperacute rejection of canine heart and kidney allografts.

作者信息

Kuwahara O, Kondo Y, Kuramochi T, Grogan J B, Cockrell J V, Hardy J D

出版信息

Ann Surg. 1974 Jul;180(1):72-9. doi: 10.1097/00000658-197407000-00010.

Abstract

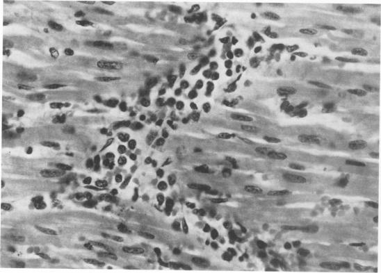
To clarify the organ specific nature of hyperacute rejection, 14 puppies were presensitized by multiple skin grafts and spleen cell injections prior to receiving either a heart or kidney allograft from the respective donors. Of this group, 7 received orthotopic heart allografts and 7 received kidney allografts. All heart allografts were rejected between 3 and 28 hours, and all kidneys between 0 and 24 hours as judged by cessation of urine flow from the ureterostomies. In contrast, all 11 animals in a recent series of heart allografts in non-sensitized puppies survived the operation, and rejected between 7 and 17 days. There was a significant correlation in both groups between preoperative cytotoxic antibody titer in the recipient serum and graft survival time. The preoperative titers were all above 1:1,024 but were greatly reduced within 2 hours after transplantation. At the time of rejection, antibody could be eluted from the rejected organs. In contrast to the kidneys, in which 2 of 7 grafts ceased to function immediately after revascularization, all hearts resumed beating and functioned well for at least several hours. At autopsy, the myocardium was pale and edematous and histologically polymorphonuclear leukocytes were prevalent in and around the small vessels and among myofibers. Both IgG and IgM antibody was detected in sarcolemma of the myocardium and to a lesser extent in the intima and adventitia of the small vessels by the fluorescent antibody technique. Biopsies of the rejected kidneys showed polymorphonuclear leukocyte infiltration, typical of hyperacute rejection. Marked fluorescence of IgG and IgM in the glomeruli and peritubular capillaries was observed. This study indicates that both organs rejected hyperacutely in our experimental model and participation of the preformed antibody in effecting this change was strongly suggested.

摘要

为阐明超急性排斥反应的器官特异性本质,14只幼犬在接受来自相应供体的心脏或肾脏同种异体移植之前,通过多次皮肤移植和脾细胞注射进行预致敏。该组中,7只接受原位心脏同种异体移植,7只接受肾脏同种异体移植。根据输尿管造口处尿液流动停止判断,所有心脏同种异体移植在3至28小时内被排斥,所有肾脏在0至24小时内被排斥。相比之下,最近一系列未致敏幼犬心脏同种异体移植中的所有11只动物手术均存活,并在7至17天内发生排斥反应。两组中受体血清术前细胞毒性抗体滴度与移植物存活时间之间均存在显著相关性。术前滴度均高于1:1,024,但移植后2小时内大幅降低。在排斥反应发生时,抗体可从被排斥的器官中洗脱出来。与肾脏不同,7个肾脏移植物中有2个在血管再通后立即停止功能,所有心脏均恢复跳动并至少正常工作数小时。尸检时,心肌苍白且水肿,组织学检查显示小血管内及周围和肌纤维间多形核白细胞普遍存在。通过荧光抗体技术在心肌肌膜中检测到IgG和IgM抗体,在小血管内膜和外膜中检测到的程度较低。被排斥肾脏的活检显示多形核白细胞浸润,这是超急性排斥反应的典型表现。在肾小球和肾小管周围毛细血管中观察到IgG和IgM的明显荧光。本研究表明,在我们的实验模型中两个器官均发生了超急性排斥反应,强烈提示预先形成的抗体参与了这一变化过程。

https://cdn.ncbi.nlm.nih.gov/pmc/blobs/b978/1343610/b0d557af6cff/annsurg00293-0085-a.jpg

文献检索

告别复杂PubMed语法,用中文像聊天一样搜索,搜遍4000万医学文献。AI智能推荐,让科研检索更轻松。

立即免费搜索

文件翻译

保留排版,准确专业,支持PDF/Word/PPT等文件格式,支持 12+语言互译。

免费翻译文档

深度研究

AI帮你快速写综述,25分钟生成高质量综述,智能提取关键信息,辅助科研写作。

立即免费体验