• 文献检索
  • 文档翻译
  • 深度研究
  • 学术资讯
  • Suppr Zotero 插件Zotero 插件
  • 邀请有礼
  • 套餐&价格
  • 历史记录
应用&插件
Suppr Zotero 插件Zotero 插件浏览器插件Mac 客户端Windows 客户端微信小程序
定价
高级版会员购买积分包购买API积分包
服务
文献检索文档翻译深度研究API 文档MCP 服务
关于我们
关于 Suppr公司介绍联系我们用户协议隐私条款
关注我们

Suppr 超能文献

核心技术专利:CN118964589B侵权必究
粤ICP备2023148730 号-1Suppr @ 2026

文献检索

告别复杂PubMed语法,用中文像聊天一样搜索,搜遍4000万医学文献。AI智能推荐,让科研检索更轻松。

立即免费搜索

文件翻译

保留排版,准确专业,支持PDF/Word/PPT等文件格式,支持 12+语言互译。

免费翻译文档

深度研究

AI帮你快速写综述,25分钟生成高质量综述,智能提取关键信息,辅助科研写作。

立即免费体验

延伸因子G对大肠杆菌中多肽链起始的抑制作用。

Inhibition of polypeptide chain initiation in Escherichia coli by elongation factor G.

作者信息

Lee-Huang S, Lee H, Ochoa S

出版信息

Proc Natl Acad Sci U S A. 1974 Aug;71(8):2928-31. doi: 10.1073/pnas.71.8.2928.

DOI:10.1073/pnas.71.8.2928
PMID:4606669
原文链接:https://pmc.ncbi.nlm.nih.gov/articles/PMC388591/
Abstract

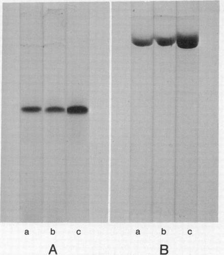
We have previously reported the isolation from E. coli of a specific inhibitor of polypeptide chain initiation that is rendered ineffective when active aminoacylation of transfer RNA is taking place; this is normally the case during natural messenger RNA translation. Surprisingly, the inhibitory activity appears to be a hitherto unrecognized property of the chain elongation factor G. The following hold for preparations purified for either translocase or inhibitor activity: (1) equal electrophoretic mobility on polyacrylamide gels; (2) equal specific activities for (a) inhibition of initiation, (b) translocation, and (c) ribosome-dependent, uncoupled GTPase; and (3) similar heat sensitivity of translocase and inhibitor activities in a temperature-sensitive E. coli mutant with an altered elongation factor G. Different sites are apparently involved in translocation and inhibition because the former, but not the latter, is sensitive to p-chloromercuribenzoate and fusidic acid.

摘要

我们之前报道过从大肠杆菌中分离出一种多肽链起始的特异性抑制剂,当转运RNA进行活性氨酰化时,该抑制剂会失效;在天然信使RNA翻译过程中通常就是这种情况。令人惊讶的是,这种抑制活性似乎是迄今未被认识到的延伸因子G的一种特性。对于为转位酶或抑制剂活性而纯化的制剂,以下情况成立:(1)在聚丙烯酰胺凝胶上具有相同的电泳迁移率;(2)对于(a)起始抑制、(b)转位和(c)核糖体依赖性、非偶联GTP酶具有相同的比活性;(3)在具有改变的延伸因子G的温度敏感型大肠杆菌突变体中,转位酶和抑制剂活性具有相似的热敏感性。转位和抑制显然涉及不同的位点,因为前者(而非后者)对对氯汞苯甲酸和夫西地酸敏感。

https://cdn.ncbi.nlm.nih.gov/pmc/blobs/4198/388591/e7d6d9a07dc3/pnas00061-0011-a.jpg
https://cdn.ncbi.nlm.nih.gov/pmc/blobs/4198/388591/e7d6d9a07dc3/pnas00061-0011-a.jpg
https://cdn.ncbi.nlm.nih.gov/pmc/blobs/4198/388591/e7d6d9a07dc3/pnas00061-0011-a.jpg

相似文献

1
Inhibition of polypeptide chain initiation in Escherichia coli by elongation factor G.延伸因子G对大肠杆菌中多肽链起始的抑制作用。
Proc Natl Acad Sci U S A. 1974 Aug;71(8):2928-31. doi: 10.1073/pnas.71.8.2928.
2
A specific inhibitor of polypeptide-chain initiation in Escherichia coli.大肠杆菌中多肽链起始的一种特异性抑制剂。
Proc Natl Acad Sci U S A. 1973 Oct;70(10):2874-8. doi: 10.1073/pnas.70.10.2874.
3
Occurrence of initiation factor 2 in the postribosomal fraction and identification of an initiation inhibitor as elongation factor G.起始因子2在核糖体后组分中的出现以及一种作为延伸因子G的起始抑制剂的鉴定。
Arch Biochem Biophys. 1974 Nov;165(1):247-54. doi: 10.1016/0003-9861(74)90161-1.
4
Requirements for the initiation of polyphenylalanine synthesis by recombined ribosomal subunits from yeast.酵母重组核糖体亚基启动聚苯丙氨酸合成的要求。
Mol Biol Rep. 1974 Mar;1(6):321-7. doi: 10.1007/BF00309565.
5
Assay for nonenzymatic and enzymatic translocation with Escherichia coli ribosomes.用大肠杆菌核糖体进行非酶促和酶促转位分析。
Methods Enzymol. 1974;30:462-70. doi: 10.1016/0076-6879(74)30046-8.
6
Factor-free ("non-enzymic") and factor-dependent systems of translation of polyuridylic acid by Escherichia coli ribosomes.大肠杆菌核糖体对聚尿苷酸进行翻译的无因子(“非酶促”)和因子依赖系统。
J Mol Biol. 1976 Mar 15;101(4):537-52. doi: 10.1016/0022-2836(76)90243-6.
7
Mechanism of action of negamycin in Escherichia coli K12. II. Miscoding activity in polypeptide synthesis directed by snythetic polynucleotide.负霉素在大肠杆菌K12中的作用机制。II. 由合成多核苷酸指导的多肽合成中的错编活性。
J Antibiot (Tokyo). 1970 Dec;23(12):589-94.
8
A resolution of conflicting reports concerning the mode of action of fusidic acid.关于夫西地酸作用方式相互矛盾报告的解决方案。
FEBS Lett. 1974 Mar 15;40(1):219-23. doi: 10.1016/0014-5793(74)80932-4.
9
Stimulation of polypeptide polymerization by blocking of free sulphydryl groups in Escherichia coli ribosomal proteins.通过阻断大肠杆菌核糖体蛋白中的游离巯基来刺激多肽聚合
J Mol Biol. 1975 Jun 15;95(1):125-37. doi: 10.1016/0022-2836(75)90340-x.
10
Study of the mechanism of translocation in ribosomes. 1. Polyphenylalanine synthesis in Escherichia coli ribosomes without participation of guanosine-5'-triphosphate and protein translation factors.核糖体转位机制的研究。1. 大肠杆菌核糖体中多聚苯丙氨酸的合成,无需鸟苷-5'-三磷酸和蛋白质翻译因子的参与。
Mol Biol. 1971 Nov-Dec;5(6):710-7.

引用本文的文献

1
Reconstitution of mammalian mitochondrial translation system capable of correct initiation and long polypeptide synthesis from leaderless mRNA.能够从无起始密码子的mRNA正确起始并进行长多肽合成的哺乳动物线粒体翻译系统的重建。
Nucleic Acids Res. 2021 Jan 11;49(1):371-382. doi: 10.1093/nar/gkaa1165.
2
Multitarget Approaches against Multiresistant Superbugs.针对多重耐药超级细菌的多靶点方法。
ACS Infect Dis. 2020 Jun 12;6(6):1346-1365. doi: 10.1021/acsinfecdis.0c00001. Epub 2020 Mar 19.
3
Effect of Fusidic Acid on the Kinetics of Molecular Motions During EF-G-Induced Translocation on the Ribosome.

本文引用的文献

1
Protein measurement with the Folin phenol reagent.使用福林酚试剂进行蛋白质测定。
J Biol Chem. 1951 Nov;193(1):265-75.
2
DISC ELECTROPHORESIS. II. METHOD AND APPLICATION TO HUMAN SERUM PROTEINS.圆盘电泳。II. 方法及其在人血清蛋白中的应用。
Ann N Y Acad Sci. 1964 Dec 28;121:404-27. doi: 10.1111/j.1749-6632.1964.tb14213.x.
3
The gel-filtration behaviour of proteins related to their molecular weights over a wide range.蛋白质的凝胶过滤行为与其在很宽范围内的分子量相关。
夫西地酸对核糖体上 EF-G 诱导转位过程中分子运动动力学的影响。
Sci Rep. 2017 Sep 5;7(1):10536. doi: 10.1038/s41598-017-10916-8.
4
Distinct functions of elongation factor G in ribosome recycling and translocation.延伸因子G在核糖体循环和转位中的不同功能。
RNA. 2009 May;15(5):772-80. doi: 10.1261/rna.1592509. Epub 2009 Mar 26.
5
Mechanisms of drug combinations: interaction and network perspectives.药物组合的机制:相互作用与网络视角
Nat Rev Drug Discov. 2009 Feb;8(2):111-28. doi: 10.1038/nrd2683.
6
Identification of a soluble protein that stimulates peptide bond synthesis.一种刺激肽键合成的可溶性蛋白质的鉴定。
Proc Natl Acad Sci U S A. 1975 Nov;72(11):4257-60. doi: 10.1073/pnas.72.11.4257.
7
Studies of a factor from dystrophic mouse muscle inhibitory towards protein synthesis.对来自营养不良小鼠肌肉的一种抑制蛋白质合成的因子的研究。
Biochem J. 1978 Dec 15;176(3):907-17. doi: 10.1042/bj1760907.
Biochem J. 1965 Sep;96(3):595-606. doi: 10.1042/bj0960595.
4
The reliability of molecular weight determinations by dodecyl sulfate-polyacrylamide gel electrophoresis.通过十二烷基硫酸钠-聚丙烯酰胺凝胶电泳测定分子量的可靠性。
J Biol Chem. 1969 Aug 25;244(16):4406-12.
5
G factor mutants of Escherichia coli: map location and properties.大肠杆菌的G因子突变体:图谱定位与特性
Biochem Biophys Res Commun. 1971 Feb 5;42(3):441-4. doi: 10.1016/0006-291x(71)90390-1.
6
Translation: its mechanism and control.翻译:其机制与控制。
Science. 1972 Apr 14;176(4031):195-7. doi: 10.1126/science.176.4031.195.
7
Protection of ribosomes from thiostrepton inactivation by the binding of G factor and guanosine diphosphate.通过G因子和二磷酸鸟苷的结合保护核糖体免受硫链丝菌素失活。
Biochemistry. 1971 Nov 23;10(24):4404-9. doi: 10.1021/bi00800a009.
8
Crystalline G factor from Escherichia coli.来自大肠杆菌的结晶G因子。
J Biochem. 1968 Sep;64(3):423-5. doi: 10.1093/oxfordjournals.jbchem.a128913.
9
A mutant of E. coli with an altered supernatant factor.一种上清液因子发生改变的大肠杆菌突变体。
Proc Natl Acad Sci U S A. 1968 Sep;61(1):146-51. doi: 10.1073/pnas.61.1.146.
10
Factor requirements for initiation complex formation with natural and synthetic messengers in Escherichia coli systems.大肠杆菌系统中与天然和合成信使形成起始复合物的因子需求。
J Biol Chem. 1973 Dec 25;248(24):8613-5.