Suppr超能文献

风湿热研究。VI. 慢性风湿性心脏病的超微结构

Studies in rheumatic fever. VI. Ultrastructure of chronic rheumatic heart disease.

作者信息

Fenoglio J J, Wagner B M

出版信息

Am J Pathol. 1973 Dec;73(3):623-40.

Abstract

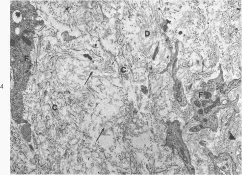
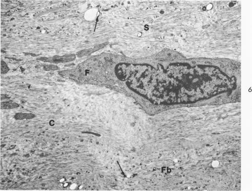
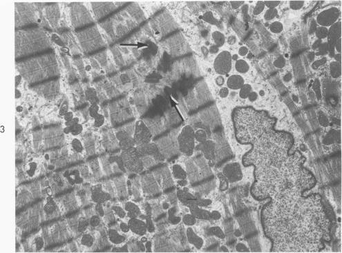
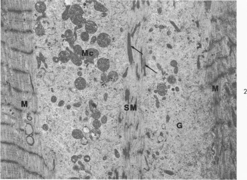
The fine structure alterations in the atrium and atrial appendage, mitral valve and papillary muscle are described in 11 matched patients with chronic rheumatic heart disease. The muscle changes consisted of loss of myofilaments and accumulation of lipid and osmiophilic dense bodies. The connective tissue stroma of the atrium and the mitral valve showed extensive deposition of collagen and elastic fibers. There were numerous foci of collagen degeneration, characterized by fraying of the collagen fibers and accumulation of homogeneous granular material at these sites. Although the muscle changes were more striking, the connective tissue alterations appear important in the evolution of the chronic disease. The extent of collagen degeneration appeared to parallel the degree of collagen formation. The muscle fiber degeneration and connective tissue alterations did not correlate with the clinical findings. At the resolution of the electron microscope, the continuing process in the rheumatic heart appears to be primarily collagen formation and degradation rather than primary degeneration of the muscle fibers. It is the balance of these processes which determine the clinical state of the patient. Acute muscle damage along with evidence of inflammation do not seem to be associated with progressive, chronic rheumatic heart disease.

摘要

在11例匹配的慢性风湿性心脏病患者中,描述了心房、心耳、二尖瓣和乳头肌的精细结构改变。肌肉变化包括肌丝丧失以及脂质和嗜锇致密小体的积聚。心房和二尖瓣的结缔组织基质显示出大量胶原纤维和弹性纤维的沉积。有许多胶原纤维变性灶,其特征为胶原纤维磨损以及在这些部位有均匀颗粒物质的积聚。虽然肌肉变化更为显著,但结缔组织改变在慢性疾病的发展过程中似乎也很重要。胶原纤维变性的程度似乎与胶原形成的程度平行。肌纤维变性和结缔组织改变与临床发现无关。在电子显微镜下观察,风湿性心脏病的持续过程似乎主要是胶原形成和降解,而非肌纤维的原发性变性。正是这些过程的平衡决定了患者的临床状态。急性肌肉损伤以及炎症证据似乎与进行性慢性风湿性心脏病无关。

https://cdn.ncbi.nlm.nih.gov/pmc/blobs/6f8f/1904095/99c87d0e2b12/amjpathol00250-0100-a.jpg

文献检索

告别复杂PubMed语法,用中文像聊天一样搜索,搜遍4000万医学文献。AI智能推荐,让科研检索更轻松。

立即免费搜索

文件翻译

保留排版,准确专业,支持PDF/Word/PPT等文件格式,支持 12+语言互译。

免费翻译文档

深度研究

AI帮你快速写综述,25分钟生成高质量综述,智能提取关键信息,辅助科研写作。

立即免费体验