• 文献检索
  • 文档翻译
  • 深度研究
  • 学术资讯
  • Suppr Zotero 插件Zotero 插件
  • 邀请有礼
  • 套餐&价格
  • 历史记录
应用&插件
Suppr Zotero 插件Zotero 插件浏览器插件Mac 客户端Windows 客户端微信小程序
定价
高级版会员购买积分包购买API积分包
服务
文献检索文档翻译深度研究API 文档MCP 服务
关于我们
关于 Suppr公司介绍联系我们用户协议隐私条款
关注我们

Suppr 超能文献

核心技术专利:CN118964589B侵权必究
粤ICP备2023148730 号-1Suppr @ 2026

文献检索

告别复杂PubMed语法,用中文像聊天一样搜索,搜遍4000万医学文献。AI智能推荐,让科研检索更轻松。

立即免费搜索

文件翻译

保留排版,准确专业,支持PDF/Word/PPT等文件格式,支持 12+语言互译。

免费翻译文档

深度研究

AI帮你快速写综述,25分钟生成高质量综述,智能提取关键信息,辅助科研写作。

立即免费体验

维持性血液透析患者的肺转移性钙化伴呼吸功能不全。

Pulmonary metastatic calcification with respiratory insufficiency in patients on maintenance haemodialysis.

作者信息

Justrabo E, Genin R, Rifle G

出版信息

Thorax. 1979 Jun;34(3):384-8. doi: 10.1136/thx.34.3.384.

DOI:10.1136/thx.34.3.384
PMID:483215
原文链接:https://pmc.ncbi.nlm.nih.gov/articles/PMC471079/
Abstract

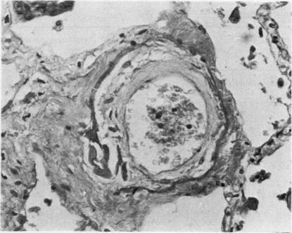
A uraemic patient undergoing chronic haemodialysis developed diffuse metastatic pulmonary calcification and died from acute respiratory insufficiency after renal transplantation. Thirteen similar cases previously published are reviewed, with emphasis on the clinical and anatomical features of such calcinosis. The pathogenesis of this calcification in patients on maintenance haemodialysis and some rules for its prevention are discussed.

摘要

一名接受慢性血液透析的尿毒症患者发生了弥漫性转移性肺钙化,并在肾移植后死于急性呼吸功能不全。本文回顾了此前发表的13例类似病例,重点关注此类钙质沉着症的临床和解剖学特征。讨论了维持性血液透析患者这种钙化的发病机制及其预防的一些规则。

https://cdn.ncbi.nlm.nih.gov/pmc/blobs/2fd5/471079/0098cde75ae9/thorax00165-0100-a.jpg
https://cdn.ncbi.nlm.nih.gov/pmc/blobs/2fd5/471079/722317f1dcfa/thorax00165-0099-a.jpg
https://cdn.ncbi.nlm.nih.gov/pmc/blobs/2fd5/471079/3446723d8be2/thorax00165-0099-b.jpg
https://cdn.ncbi.nlm.nih.gov/pmc/blobs/2fd5/471079/fe9a7a88698a/thorax00165-0099-c.jpg
https://cdn.ncbi.nlm.nih.gov/pmc/blobs/2fd5/471079/3752c6696acf/thorax00165-0099-d.jpg
https://cdn.ncbi.nlm.nih.gov/pmc/blobs/2fd5/471079/0098cde75ae9/thorax00165-0100-a.jpg
https://cdn.ncbi.nlm.nih.gov/pmc/blobs/2fd5/471079/722317f1dcfa/thorax00165-0099-a.jpg
https://cdn.ncbi.nlm.nih.gov/pmc/blobs/2fd5/471079/3446723d8be2/thorax00165-0099-b.jpg
https://cdn.ncbi.nlm.nih.gov/pmc/blobs/2fd5/471079/fe9a7a88698a/thorax00165-0099-c.jpg
https://cdn.ncbi.nlm.nih.gov/pmc/blobs/2fd5/471079/3752c6696acf/thorax00165-0099-d.jpg
https://cdn.ncbi.nlm.nih.gov/pmc/blobs/2fd5/471079/0098cde75ae9/thorax00165-0100-a.jpg

相似文献

1
Pulmonary metastatic calcification with respiratory insufficiency in patients on maintenance haemodialysis.维持性血液透析患者的肺转移性钙化伴呼吸功能不全。
Thorax. 1979 Jun;34(3):384-8. doi: 10.1136/thx.34.3.384.
2
Diffuse pulmonary calcification in uremia: report of a case detected by bone scanning.尿毒症中的弥漫性肺钙化:一例通过骨扫描检测到的病例报告。
J Nucl Med Allied Sci. 1979 Oct-Dec;23(4):231-2.
3
Pulmonary calcinosis after renal transplantation in pediatric patients.
Am J Kidney Dis. 1986 Jun;7(6):495-501. doi: 10.1016/s0272-6386(86)80191-3.
4
Respiratory failure due to pulmonary calcification in primary hyperparathyroidism.原发性甲状旁腺功能亢进症所致肺钙化引起的呼吸衰竭。
Arch Dis Child. 2002 Sep;87(3):257. doi: 10.1136/adc.87.3.257.
5
Cardiac calcification in uremia. A clinical, biochemical and pathologic study.尿毒症中的心脏钙化。一项临床、生化及病理学研究。
Am J Med. 1971 Jun;50(6):744-55. doi: 10.1016/0002-9343(71)90182-3.
6
Metastatic pulmonary calcification in the renal transplant recipient.肾移植受者的转移性肺钙化
Am Rev Respir Dis. 1980 Feb;121(2):415-9. doi: 10.1164/arrd.1980.121.2.415.
7
Pulmonary calciphylaxis and metastatic calcification with acute respiratory failure in multiple myeloma.多发性骨髓瘤伴急性呼吸衰竭的肺钙化防御和转移性钙化
J Clin Oncol. 2010 Mar 20;28(9):e133-5. doi: 10.1200/JCO.2009.25.1587. Epub 2010 Jan 4.
8
Restrictive lung disease in maintenance haemodialysis.维持性血液透析中的限制性肺病
S Afr Med J. 1972 Aug 26;46(34):1199-201.
9
Metastatic pulmonary calcification after renal transplantation.肾移植后转移性肺钙化
Eur Respir J. 1997 Aug;10(8):1925-7. doi: 10.1183/09031936.97.10081925.
10
Extensive metastatic calcification of the lung in an azotemic patient.
Am J Med. 1974 Jan;56(1):103-9. doi: 10.1016/0002-9343(74)90755-4.

引用本文的文献

1
Soft tissue calcifications in chronic kidney disease-beyond the vasculature.慢性肾脏病中的软组织钙化——血管系统之外
Pflugers Arch. 2025 Jun 5. doi: 10.1007/s00424-025-03098-0.
2
Pulmonary Calcifications: Is it an Entity in the New World Dialysis Patient?肺部钙化:它是新世界透析患者的一种病症吗?
Indian J Nephrol. 2019 Mar-Apr;29(2):128-131. doi: 10.4103/ijn.IJN_5_18.

本文引用的文献

1
Pulmonary calcification in renal failure. Report of three cases.
Br J Radiol. 1968 Feb;41(482):99-106. doi: 10.1259/0007-1285-41-482-99.
2
Nodular pulmonary calcification in renal failure. Report of a case.肾衰竭中的结节性肺钙化。病例报告。
Am Rev Respir Dis. 1969 Nov;100(5):723-8. doi: 10.1164/arrd.1969.100.5.723.
3
Diffuse calcification of lungs in a patient on maintenance hemodialysis.维持性血液透析患者肺部的弥漫性钙化。
Isr J Med Sci. 1971 Oct;7(10):1182-7.
4
Renal osteodystrophy; some therapeutic consideration relative to long-term dialysis and transplantation.肾性骨营养不良;与长期透析和移植相关的一些治疗考量
Arch Intern Med. 1969 Dec;124(6):663-9. doi: 10.1001/archinte.124.6.663.
5
Soft-tissue calcification in uremia.尿毒症中的软组织钙化
Arch Intern Med. 1969 Nov;124(5):544-56.
6
Nature of soft tissue calcification in uremia.
Kidney Int. 1973 Sep;4(3):229-35. doi: 10.1038/ki.1973.104.
7
Roentgenographic manifestations of pulmonary calcifications. A rare cause of respiratory failure in chronic renal disease.肺部钙化的X线表现。慢性肾病呼吸衰竭的罕见病因。
Radiology. 1973 Apr;107(1):55-60. doi: 10.1148/107.1.55.
8
Extensive metastatic calcification of the lung in an azotemic patient.
Am J Med. 1974 Jan;56(1):103-9. doi: 10.1016/0002-9343(74)90755-4.
9
Letter: Scanning for pulmonary calcification.信函:肺部钙化扫描
Ann Intern Med. 1976 Feb;84(2):224-5. doi: 10.7326/0003-4819-84-2-224.
10
Sudden fatal pulmonary calcification following renal transplantation.肾移植后突发致命性肺钙化
Nephron. 1977;19(5):295-300. doi: 10.1159/000180903.