Suppr超能文献

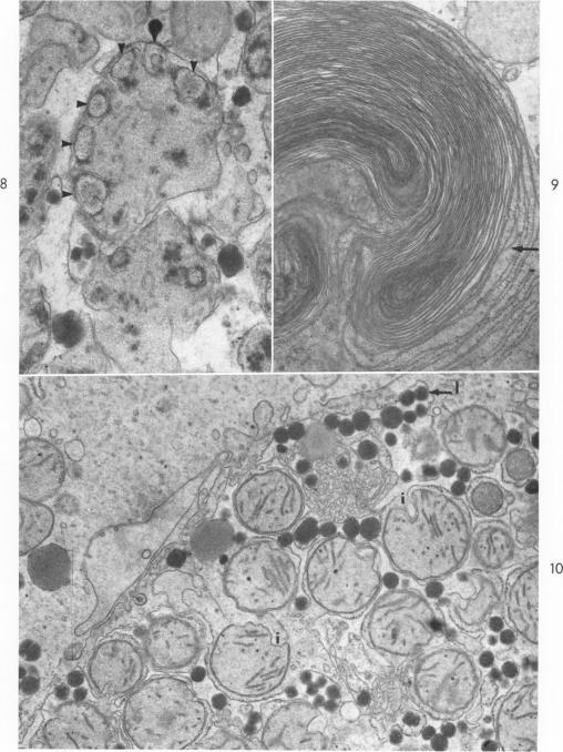
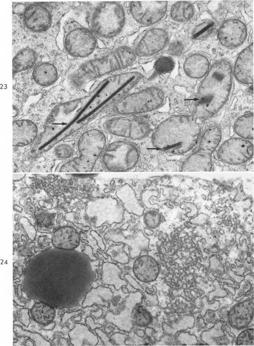
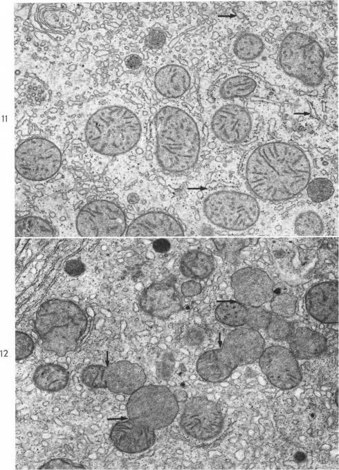
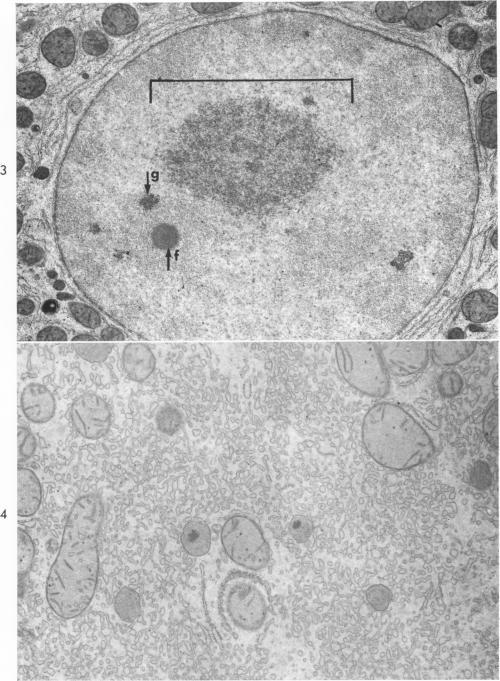
Aflatoxin B1 injury in rat and monkey liver.

作者信息

Svoboda D, Grady H J, Higginson J

出版信息

Am J Pathol. 1966 Dec;49(6):1023-51.

Abstract
摘要
https://cdn.ncbi.nlm.nih.gov/pmc/blobs/8578/1907286/62f7b6482b38/amjpathol00277-0047-a.jpg

文献AI研究员

20分钟写一篇综述,助力文献阅读效率提升50倍。

立即体验

用中文搜PubMed

大模型驱动的PubMed中文搜索引擎

马上搜索

文档翻译

学术文献翻译模型,支持多种主流文档格式。

立即体验