Suppr超能文献

经油处理的分枝杆菌细胞壁对小鼠器官的影响。

Effects of oil-treated mycobacterial cell walls on the organs of mice.

作者信息

Barclay W R, Anacker R, Brehmer W, Ribi E

出版信息

J Bacteriol. 1967 Nov;94(5):1736-45. doi: 10.1128/jb.94.5.1736-1745.1967.

Abstract

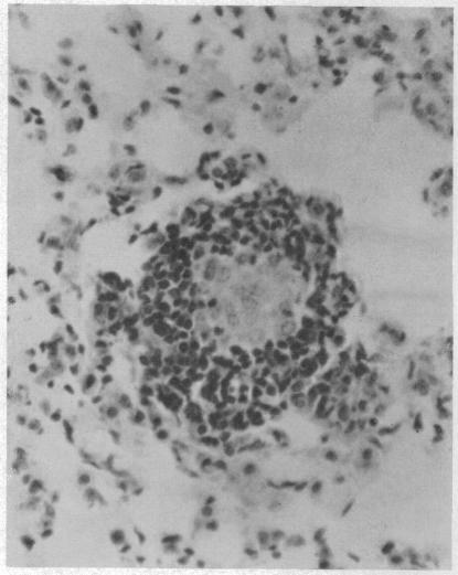
Intravenous vaccination of mice with oil-treated mycobacterial cell walls resulted in a marked macrophage accumulation in the lungs and spleens of vaccinated animals. Injection of oil emulsion alone or of cell walls alone failed to elicit the macrophage response. Although a correlation existed between the magnitude of the macrophage response and the degree of immunity against aerosol challenge with H(37)Rv organisms, the findings presented here do not rule out the possibility that qualitative differences may be present in the macrophages of animals vaccinated against tuberculosis. The ability of oil-treated cell walls to elicit an immune response appeared to be a function of the physical association of cell wall fragments and the surface of oil droplets.

摘要

用经油处理的分枝杆菌细胞壁对小鼠进行静脉接种,导致接种动物的肺和脾中出现明显的巨噬细胞聚集。单独注射油乳剂或单独注射细胞壁均未能引发巨噬细胞反应。尽管巨噬细胞反应的强度与针对H(37)Rv菌株气溶胶攻击的免疫程度之间存在相关性,但此处呈现的研究结果并未排除接种抗结核疫苗的动物巨噬细胞中可能存在质量差异的可能性。经油处理的细胞壁引发免疫反应的能力似乎是细胞壁碎片与油滴表面物理结合的一种功能。

https://cdn.ncbi.nlm.nih.gov/pmc/blobs/d74f/276885/6285adf83f64/jbacter00406-0488-a.jpg

文献检索

告别复杂PubMed语法,用中文像聊天一样搜索,搜遍4000万医学文献。AI智能推荐,让科研检索更轻松。

立即免费搜索

文件翻译

保留排版,准确专业,支持PDF/Word/PPT等文件格式,支持 12+语言互译。

免费翻译文档

深度研究

AI帮你快速写综述,25分钟生成高质量综述,智能提取关键信息,辅助科研写作。

立即免费体验