Suppr超能文献

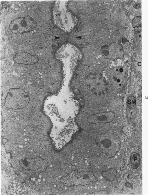
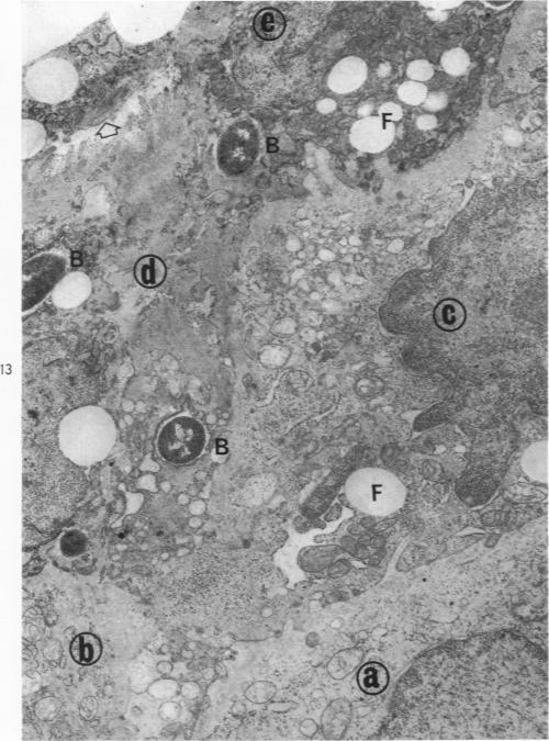
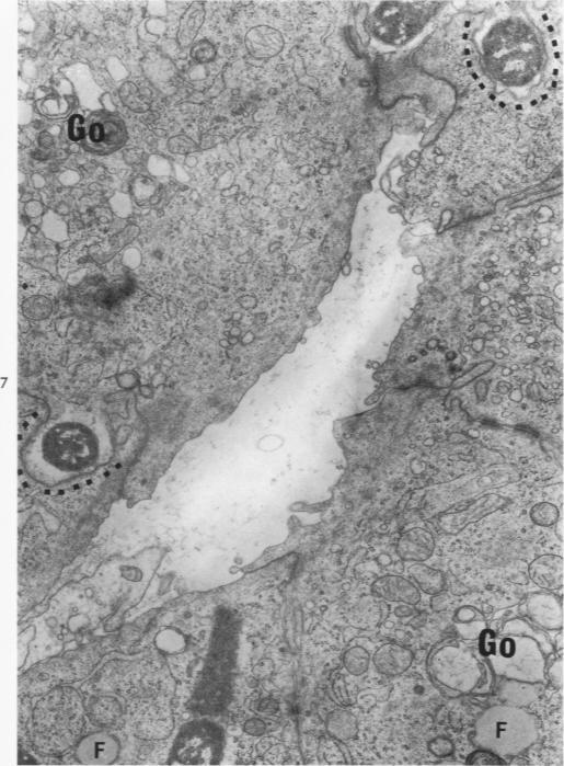
Exerimental acute colitis in the Rhesus monkey following peroral infection with Shigella flexneri. An electron microscope study.

作者信息

Takeuchi A, Formal S B, Sprinz H

出版信息

Am J Pathol. 1968 Mar;52(3):503-29.

Abstract
摘要
https://cdn.ncbi.nlm.nih.gov/pmc/blobs/5634/2013434/eb66c0e86600/amjpathol00560-0015-a.jpg

文献AI研究员

20分钟写一篇综述,助力文献阅读效率提升50倍。

立即体验

用中文搜PubMed

大模型驱动的PubMed中文搜索引擎

马上搜索

文档翻译

学术文献翻译模型,支持多种主流文档格式。

立即体验