• 文献检索
  • 文档翻译
  • 深度研究
  • 学术资讯
  • Suppr Zotero 插件Zotero 插件
  • 邀请有礼
  • 套餐&价格
  • 历史记录
应用&插件
Suppr Zotero 插件Zotero 插件浏览器插件Mac 客户端Windows 客户端微信小程序
定价
高级版会员购买积分包购买API积分包
服务
文献检索文档翻译深度研究API 文档MCP 服务
关于我们
关于 Suppr公司介绍联系我们用户协议隐私条款
关注我们

Suppr 超能文献

核心技术专利:CN118964589B侵权必究
粤ICP备2023148730 号-1Suppr @ 2026

文献检索

告别复杂PubMed语法,用中文像聊天一样搜索,搜遍4000万医学文献。AI智能推荐,让科研检索更轻松。

立即免费搜索

文件翻译

保留排版,准确专业,支持PDF/Word/PPT等文件格式,支持 12+语言互译。

免费翻译文档

深度研究

AI帮你快速写综述,25分钟生成高质量综述,智能提取关键信息,辅助科研写作。

立即免费体验

在乙二胺四乙酸(EDTA)存在的情况下,血清因子导致血小板凝集。

Agglutination of platelets by a serum factor in the presence of EDTA.

作者信息

Gowland E, Kay H E, Spillman J C, Williamson J R

出版信息

J Clin Pathol. 1969 Jul;22(4):460-4. doi: 10.1136/jcp.22.4.460.

DOI:10.1136/jcp.22.4.460
PMID:4978997
原文链接:https://pmc.ncbi.nlm.nih.gov/articles/PMC474212/
Abstract

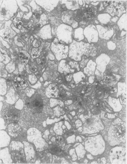
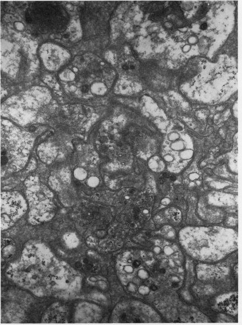
The platelets of a patient with reticulum-cell sarcoma were found to exhibit agglutination and cytopathic changes when her blood was treated with EDTA but not with other anticoagulants. Investigation showed that the phenomenon was caused by a serum factor that was probably an antibody.

摘要

当用乙二胺四乙酸(EDTA)处理一名网状细胞肉瘤患者的血液时,发现其血小板出现凝集和细胞病变改变,而用其他抗凝剂处理时则未出现这种情况。研究表明,该现象是由一种可能为抗体的血清因子引起的。

https://cdn.ncbi.nlm.nih.gov/pmc/blobs/9bfc/474212/f44ef8b76f7f/jclinpath00381-0080-c.jpg
https://cdn.ncbi.nlm.nih.gov/pmc/blobs/9bfc/474212/f481a2dafc83/jclinpath00381-0081-a.jpg
https://cdn.ncbi.nlm.nih.gov/pmc/blobs/9bfc/474212/73154c41788d/jclinpath00381-0080-a.jpg
https://cdn.ncbi.nlm.nih.gov/pmc/blobs/9bfc/474212/8d977bf86a66/jclinpath00381-0080-b.jpg
https://cdn.ncbi.nlm.nih.gov/pmc/blobs/9bfc/474212/f44ef8b76f7f/jclinpath00381-0080-c.jpg
https://cdn.ncbi.nlm.nih.gov/pmc/blobs/9bfc/474212/f481a2dafc83/jclinpath00381-0081-a.jpg
https://cdn.ncbi.nlm.nih.gov/pmc/blobs/9bfc/474212/73154c41788d/jclinpath00381-0080-a.jpg
https://cdn.ncbi.nlm.nih.gov/pmc/blobs/9bfc/474212/8d977bf86a66/jclinpath00381-0080-b.jpg
https://cdn.ncbi.nlm.nih.gov/pmc/blobs/9bfc/474212/f44ef8b76f7f/jclinpath00381-0080-c.jpg

相似文献

1
Agglutination of platelets by a serum factor in the presence of EDTA.在乙二胺四乙酸(EDTA)存在的情况下,血清因子导致血小板凝集。
J Clin Pathol. 1969 Jul;22(4):460-4. doi: 10.1136/jcp.22.4.460.
2
The influence of EDTA, trisodiumcitrate and heparin on the ultrastructure of blood platelets.乙二胺四乙酸(EDTA)、柠檬酸钠和肝素对血小板超微结构的影响。
Thromb Diath Haemorrh. 1966 Dec 1;16(3):371-7.
3
EDTA-dependent pseudothrombocytopenia in a child.儿童的 EDTA 依赖性假性血小板减少症。
Clin Appl Thromb Hemost. 2011 Oct;17(5):494-6. doi: 10.1177/1076029610373367. Epub 2010 Jun 7.
4
A macromolecular serum component acting on platelets in the presence of EDTA--platelet stain preventing factor?一种在乙二胺四乙酸(EDTA)存在下作用于血小板的大分子血清成分——血小板染色阻止因子?
Scand J Haematol. 1973;10(3):202-8. doi: 10.1111/j.1600-0609.1973.tb00061.x.
5
The platelet count in EDTA-anticoagulated blood from patients with thrombocytopenia may be underestimated when measured in routine laboratories.当在常规实验室中测量患有血小板减少症的患者的 EDTA 抗凝血液中的血小板计数时,可能会低估。
Am J Hematol. 2012 Jul;87(7):727-8. doi: 10.1002/ajh.23216. Epub 2012 Jun 3.
6
[Pseudothrombocytopenia caused by thrombocyte agglutination (EDTA pseudothrombocytopenia)].[血小板凝集所致假性血小板减少症(乙二胺四乙酸假性血小板减少症)]
Ned Tijdschr Geneeskd. 1986 Sep 13;130(37):1643-6.
7
Simultaneous assay of activated platelet count and platelet-activating capacity by P-selectin detection using K2-EDTA-treated whole blood for antiplatelet agents.使用K2-EDTA处理的全血通过P-选择素检测同时测定抗血小板药物的活化血小板计数和血小板活化能力。
Int J Lab Hematol. 2012 Dec;34(6):621-9. doi: 10.1111/j.1751-553X.2012.01447.x. Epub 2012 Aug 2.
8
Impact of Amikacin on Pseudothrombocytopenia.阿米卡星对假性血小板减少症的影响。
Acta Haematol. 2017;137(1):27-29. doi: 10.1159/000452266. Epub 2016 Nov 17.
9
The effect of anticoagulants on the size of platelets in blood smears in the course of time.抗凝剂对血涂片中小板大小随时间变化的影响。
Clin Lab Haematol. 1991;13(1):67-74. doi: 10.1111/j.1365-2257.1991.tb00252.x.
10
Anticoagulant-induced pseudothrombocytopenia and pseudoleucocytosis.抗凝剂诱导的假性血小板减少症和假性白细胞增多症。
Thromb Haemost. 1995 Mar;73(3):506-13.

引用本文的文献

1
Anti-ethylene Diamine Tetra-Acetate (EDTA)-Induced Pseudothrombocytopenia in a Nigerian Middle-Aged Man.一名尼日利亚中年男性中抗乙二胺四乙酸(EDTA)诱导的假性血小板减少症
Cureus. 2025 Apr 23;17(4):e82864. doi: 10.7759/cureus.82864. eCollection 2025 Apr.
2
First Report of Ethylenediaminetetraacetic Acid-Dependent Pseudo-Thrombocytopenia in Chile: Prevalence and Laboratory Insights.智利首例乙二胺四乙酸依赖性假性血小板减少症报告:患病率及实验室分析
Diagnostics (Basel). 2025 Apr 21;15(8):1050. doi: 10.3390/diagnostics15081050.
3
Pseudothrombocytopenia and other conditions associated with spuriously low platelet counts.

本文引用的文献

1
Reversible alterations in platelet morphology produced by anticoagulants and by cold.抗凝剂和寒冷导致的血小板形态可逆性改变。
Blood. 1954 Jun;9(6):602-8.
2
The blood platelet: electron microscopic studies.血小板:电子显微镜研究
Int Rev Cytol. 1964;17:99-148. doi: 10.1016/s0074-7696(08)60406-4.
假性血小板减少症及其他与血小板计数假性降低相关的情况。
Haematologica. 2025 Aug 1;110(8):1677-1692. doi: 10.3324/haematol.2024.286234. Epub 2025 Mar 27.
4
Kanamycin treated-ethylenediamine tetraacetic acid-dependent pseudothrombocytopenia in blood specimen of cats.猫血液样本中,经卡那霉素处理的乙二胺四乙酸依赖性假性血小板减少症。
Open Vet J. 2024 May;14(5):1199-1205. doi: 10.5455/OVJ.2024.v14.i5.15. Epub 2024 May 31.
5
Integration of an MC-80 Digital Image Analyzer With an Automated BC-6800Plus Hematology Analyzer Enables Accurate Platelet Counting in Samples With EDTA-Induced Pseudothrombocytopenia.MC-80 数字图像分析仪与自动化 BC-6800Plus 血液分析仪的集成可实现 EDTA 诱导假性血小板减少症样本中血小板的准确计数。
Ann Lab Med. 2024 Nov 1;44(6):478-486. doi: 10.3343/alm.2023.0460. Epub 2024 Apr 4.
6
EDTA-induced pseudothrombocytopenia in hematopoietic stem cell donor.造血干细胞供者中乙二胺四乙酸(EDTA)诱导的假性血小板减少症
Clin Case Rep. 2023 Apr 5;11(4):e7023. doi: 10.1002/ccr3.7023. eCollection 2023 Apr.
7
Pseudothrombocytopenia, beyond a laboratory phenomenon: study of 192 cases.假性血小板减少症:不仅仅是一种实验室现象——192例病例研究
Ann Hematol. 2023 Jun;102(6):1363-1374. doi: 10.1007/s00277-023-05192-8. Epub 2023 Mar 31.
8
The diagnostic accuracy of Sysmex XN for identification of pseudothrombocytopenia using various thresholds for definition of platelet aggregation.XN 系统用于不同血小板聚集定义阈值下假性血小板减少症诊断准确性的研究。
Int J Lab Hematol. 2022 Oct;44(5):854-860. doi: 10.1111/ijlh.13920. Epub 2022 Jun 24.
9
Pseudothrombocytopenia Inducing Nonindicated Platelet Transfusion after Cardiac Surgery.心脏手术后诱发不必要血小板输注的假性血小板减少症。
Case Rep Med. 2021 Mar 5;2021:3695407. doi: 10.1155/2021/3695407. eCollection 2021.
10
Pseudothrombocytopenia-A Review on Causes, Occurrence and Clinical Implications.假性血小板减少症——病因、发生率及临床意义综述
J Clin Med. 2021 Feb 4;10(4):594. doi: 10.3390/jcm10040594.