• 文献检索
  • 文档翻译
  • 深度研究
  • 学术资讯
  • Suppr Zotero 插件Zotero 插件
  • 邀请有礼
  • 套餐&价格
  • 历史记录
应用&插件
Suppr Zotero 插件Zotero 插件浏览器插件Mac 客户端Windows 客户端微信小程序
定价
高级版会员购买积分包购买API积分包
服务
文献检索文档翻译深度研究API 文档MCP 服务
关于我们
关于 Suppr公司介绍联系我们用户协议隐私条款
关注我们

Suppr 超能文献

核心技术专利:CN118964589B侵权必究
粤ICP备2023148730 号-1Suppr @ 2026

文献检索

告别复杂PubMed语法,用中文像聊天一样搜索,搜遍4000万医学文献。AI智能推荐,让科研检索更轻松。

立即免费搜索

文件翻译

保留排版,准确专业,支持PDF/Word/PPT等文件格式,支持 12+语言互译。

免费翻译文档

深度研究

AI帮你快速写综述,25分钟生成高质量综述,智能提取关键信息,辅助科研写作。

立即免费体验

青霉素在液体和半固体培养基中诱导产生的流产布鲁氏菌L型的超微结构

Ultrastructure of Brucella abortus L-forms induced by penicillin in a liquid and in a semisolid medium.

作者信息

Hatten B A, Schulze M L, Huang S Y, Sulkin S E

出版信息

J Bacteriol. 1969 Aug;99(2):611-8. doi: 10.1128/jb.99.2.611-618.1969.

DOI:10.1128/jb.99.2.611-618.1969
PMID:4980069
原文链接:https://pmc.ncbi.nlm.nih.gov/articles/PMC250062/
Abstract

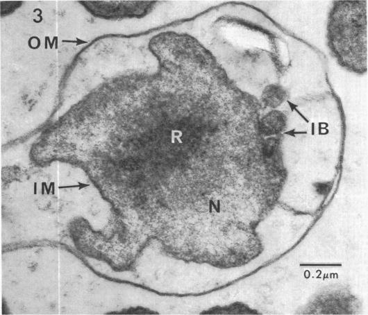
Brucella abortus L-forms were induced by 5.0 or 10.0 mug of penicillin/ml in a broth medium containing 0.3 m sucrose, and in a semisolid medium containing 10% calf serum and 20.0, 40.0, or 60.0 mug of penicillin/ml. After 96 hr of incubation, L-forms of various sizes and shapes were observed. Basic structures of the L-forms were similar whether induced in liquid or semisolid medium. L-forms had two "unit" membranes, each consisting of two outer dense layers separated by a lucent layer. A few large, irregularly shaped organisms in penicillin-treated broth cultures had additional surface material and were referred to as "transitional" forms. In contrast with L-forms, the bacterial cells were fairly uniform in size and shape, were smaller, and had a more complex cell wall structure. Small bodies limited by a "unit" membrane were present within and around numerous L-forms from liquid and semisolid medium cultures. Other internal membranous structures were also seen in some L-forms. Most Brucella L-forms described in this paper reverted to bacteria in the absence of penicillin and were structurally characteristic of unstable L-forms.

摘要

用含0.3m蔗糖的肉汤培养基中5.0或10.0μg/ml青霉素,以及含10%小牛血清和20.0、40.0或60.0μg/ml青霉素的半固体培养基诱导流产布鲁氏菌L型。培养96小时后,观察到各种大小和形状的L型。无论在液体还是半固体培养基中诱导,L型的基本结构相似。L型有两个“单位”膜,每个膜由两个由透明层隔开的外部致密层组成。青霉素处理的肉汤培养物中一些大的、形状不规则的生物体有额外的表面物质,被称为“过渡”形式。与L型相比,细菌细胞在大小和形状上相当均匀,较小,且细胞壁结构更复杂。在来自液体和半固体培养基培养物的许多L型内部和周围存在由“单位”膜限制的小体。在一些L型中也可见其他内部膜结构。本文描述的大多数布鲁氏菌L型在无青霉素的情况下可回复为细菌,并且是不稳定L型的结构特征。

https://cdn.ncbi.nlm.nih.gov/pmc/blobs/b433/250062/7b69318a3767/jbacter00388-0283-a.jpg
https://cdn.ncbi.nlm.nih.gov/pmc/blobs/b433/250062/618ba52e7ef9/jbacter00388-0278-a.jpg
https://cdn.ncbi.nlm.nih.gov/pmc/blobs/b433/250062/2cb02d09f379/jbacter00388-0279-a.jpg
https://cdn.ncbi.nlm.nih.gov/pmc/blobs/b433/250062/44400a95211f/jbacter00388-0280-a.jpg
https://cdn.ncbi.nlm.nih.gov/pmc/blobs/b433/250062/63cd21e32784/jbacter00388-0281-a.jpg
https://cdn.ncbi.nlm.nih.gov/pmc/blobs/b433/250062/9d48d8633cd9/jbacter00388-0282-a.jpg
https://cdn.ncbi.nlm.nih.gov/pmc/blobs/b433/250062/7b69318a3767/jbacter00388-0283-a.jpg
https://cdn.ncbi.nlm.nih.gov/pmc/blobs/b433/250062/618ba52e7ef9/jbacter00388-0278-a.jpg
https://cdn.ncbi.nlm.nih.gov/pmc/blobs/b433/250062/2cb02d09f379/jbacter00388-0279-a.jpg
https://cdn.ncbi.nlm.nih.gov/pmc/blobs/b433/250062/44400a95211f/jbacter00388-0280-a.jpg
https://cdn.ncbi.nlm.nih.gov/pmc/blobs/b433/250062/63cd21e32784/jbacter00388-0281-a.jpg
https://cdn.ncbi.nlm.nih.gov/pmc/blobs/b433/250062/9d48d8633cd9/jbacter00388-0282-a.jpg
https://cdn.ncbi.nlm.nih.gov/pmc/blobs/b433/250062/7b69318a3767/jbacter00388-0283-a.jpg

相似文献

1
Ultrastructure of Brucella abortus L-forms induced by penicillin in a liquid and in a semisolid medium.青霉素在液体和半固体培养基中诱导产生的流产布鲁氏菌L型的超微结构
J Bacteriol. 1969 Aug;99(2):611-8. doi: 10.1128/jb.99.2.611-618.1969.
2
Electron microscopy of tissue culture cells infected with Brucella abortus.感染流产布鲁氏菌的组织培养细胞的电子显微镜检查。
J Bacteriol. 1971 Oct;108(1):535-44. doi: 10.1128/jb.108.1.535-544.1971.
3
Intracellular production of Brucella L forms . II. Induction and survival of Brucella abortus L forms in tissue culture.布鲁氏菌L型的细胞内产生。II. 流产布鲁氏菌L型在组织培养中的诱导与存活
J Bacteriol. 1966 Jan;91(1):14-20. doi: 10.1128/jb.91.1.14-20.1966.
4
Evolution and taxonomy in the genus Brucella: steroid hormone induction of filterable forms with altered characteristics after reversion.布鲁氏菌属的进化与分类学:甾体激素诱导可逆性特征改变的可滤过形式。
Am J Vet Res. 1976 Feb;37(2):207-10.
5
[Cell structure and the pathogenicity of Brucella at different stages of L transformation].[布鲁氏菌L型转化不同阶段的细胞结构与致病性]
Zh Mikrobiol Epidemiol Immunobiol. 1979 Aug(8):63-7.
6
[The ultrastructural organization of Brucella L forms and revertant cultures].[布鲁氏菌L型及回复突变培养物的超微结构组织]
Zh Mikrobiol Epidemiol Immunobiol. 1991 Jan(1):17-20.
7
Intracellular Production of Brucella L Forms I. Recovery of L Forms from Tissue Culture Cells Infected with Brucella abortus.布鲁氏菌L型的细胞内产生 一、从感染流产布鲁氏菌的组织培养细胞中回收L型
J Bacteriol. 1966 Jan;91(1):285-96. doi: 10.1128/jb.91.1.285-296.1966.
8
[Biological properties and ultrastructure of brucellae during L-transformation and reversion].[布鲁氏菌L型转化及回复过程中的生物学特性与超微结构]
Zh Mikrobiol Epidemiol Immunobiol. 1977(1):90-3.
9
Morphology and reproductive processes of the L forms of bacteria. II. Comparative study of L forms and Mycoplasma with the electron microscope.细菌L型的形态学与繁殖过程。II. 用电子显微镜对L型细菌与支原体的比较研究
J Bacteriol. 1968 Feb;95(2):672-87. doi: 10.1128/jb.95.2.672-687.1968.
10
Isolation of L-forms of Bacillus subtilis which grow in liquid medium.在液体培养基中生长的枯草芽孢杆菌L型的分离。
J Bacteriol. 1970 Jun;102(3):867-70. doi: 10.1128/jb.102.3.867-870.1970.

引用本文的文献

1
Electron microscopy of tissue culture cells infected with Brucella abortus.感染流产布鲁氏菌的组织培养细胞的电子显微镜检查。
J Bacteriol. 1971 Oct;108(1):535-44. doi: 10.1128/jb.108.1.535-544.1971.
2
Fine structure of protoplasts and L-forms of Clostridium botulinum types A and E.A型和E型肉毒梭菌原生质体及L型的精细结构
J Bacteriol. 1971 Mar;105(3):1207-10. doi: 10.1128/jb.105.3.1207-1210.1971.

本文引用的文献

1
Intracellular Production of Brucella L Forms I. Recovery of L Forms from Tissue Culture Cells Infected with Brucella abortus.布鲁氏菌L型的细胞内产生 一、从感染流产布鲁氏菌的组织培养细胞中回收L型
J Bacteriol. 1966 Jan;91(1):285-96. doi: 10.1128/jb.91.1.285-296.1966.
2
Ultrastructure of Mycoplasma hominis.人型支原体的超微结构
J Bacteriol. 1965 Jul;90(1):180-92. doi: 10.1128/jb.90.1.180-192.1965.
3
The L forms of bacteria.细菌的L型
Bacteriol Rev. 1951 Dec;15(4):245-88. doi: 10.1128/br.15.4.245-288.1951.
4
Filterable forms of bacteria.细菌的可滤过形式
Bacteriol Rev. 1951 Jun;15(2):77-103. doi: 10.1128/br.15.2.77-103.1951.
5
Induction and characteristics of staphylococcal L forms.葡萄球菌L型的诱导及特性
Can J Microbiol. 1961 Oct;7:705-13. doi: 10.1139/m61-084.
6
THE MORPHOLOGY AND FINE STRUCTURE OF SMALL PARTICLES PRESENT IN CULTURES OF A PROTEUS L FORM.变形杆菌L型培养物中存在的小颗粒的形态学与精细结构
J Ultrastruct Res. 1965 Feb;12:81-91. doi: 10.1016/s0022-5320(65)80007-7.
7
ELECTRON MICROSCOPE STUDY OF THE RELATIONSHIP BETWEEN MESOSOME LOSS AND THE STABLE L STATE (OR PROTOPLAST STATE) IN BACILLUS SUBTILIS.枯草芽孢杆菌中质体丢失与稳定L态(或原生质体态)关系的电子显微镜研究
J Bacteriol. 1964 Aug;88(2):457-67. doi: 10.1128/jb.88.2.457-467.1964.
8
FINE STRUCTURE OF BRUCELLA SUIS SPHEROPLASTS.猪布鲁氏菌原生质球的精细结构
J Bacteriol. 1964 Jun;87(6):1492-8. doi: 10.1128/jb.87.6.1492-1498.1964.
9
[Comparative electron microscope study of a Proteus and corresponding L forms of A and B types].[变形杆菌与相应A、B型L型的比较电子显微镜研究]
Ann Inst Pasteur (Paris). 1962 Mar;102:292-9.
10
Ultrastructure of the membrane system in Lactobacillus plantarum.植物乳杆菌膜系统的超微结构
J Bacteriol. 1967 Jan;93(1):472-82. doi: 10.1128/jb.93.1.472-482.1967.