Suppr超能文献

皮下注射到异种受体后,淋巴源性免疫母细胞产生抗体的情况。

Antibody production by lymph-borne immunoblasts following subcutaneous injection into xenogeneic recipients.

作者信息

Hall J G, Parry D, Smith M E

出版信息

Immunology. 1971 Apr;20(4):625-38.

Abstract

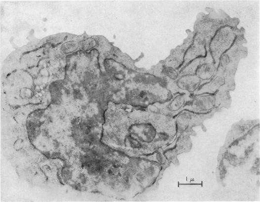
Efferent lymph was collected from individual lymph nodes of unanaesthetized sheep following stimulation of the nodes with a variety of antigens. At the height of the immune responses (i.e. 80–120 hours after stimulation) 15–30 per cent of the lymph cells were large, basophilic immunoblasts. Lymph cells collected during these times were washed and injected subcutaneously into small laboratory rodents (usually C57 black mice); each recipient received a single injection of lymph cells containing 1–2 × 10 immunoblasts. Between 24 and 100 hours later the recipients were killed and exsanguinated. By the latter time substantial titres of specific agglutinating or lytic antibodies were demonstrable in the sera of the recipients and immunodiffusion and immunoelectrophoresis studies confirmed the presence in these sera of sheep immunoglobulins. Only trivial titres of antibody appeared in the recipients' sera when lysed lymph cells had been injected and no antibody or immunoglobulin was detectable following the injection of normal small lymphocytes from unstimulated or hyperimmune sheep. An autoradiographic, electron microscope study showed that although many of the injected immunoblasts degenerated rapidly a significant proportion survived long enough to develop lamellar endoplasmic reticulum. It was concluded that some of the injected cells survived long enough to synthesize and secrete specific antibody; on the basis of mercaptoethanol sensitivity it was concluded that both 19 and 7S antibodies were produced. When sheep immunoblasts were injected subcutaneously into isogeneic or allogeneic sheep specific antibody appeared in the local tissue fluid and reached a relatively high titre some 50 hours after the injection.

摘要

在未麻醉的绵羊的各个淋巴结受到多种抗原刺激后,收集其输出淋巴液。在免疫反应的高峰期(即刺激后80 - 120小时),15% - 30%的淋巴细胞为大的嗜碱性免疫母细胞。在这些时间段收集的淋巴细胞经洗涤后皮下注射到小型实验啮齿动物(通常为C57黑小鼠)体内;每个受体接受一次含有1 - 2×10个免疫母细胞的淋巴细胞注射。24至100小时后,处死受体并放血。到那时,在受体血清中可检测到相当高滴度的特异性凝集或溶解抗体,免疫扩散和免疫电泳研究证实这些血清中存在绵羊免疫球蛋白。当注射裂解的淋巴细胞时,受体血清中仅出现微量抗体滴度,而注射来自未刺激或超免疫绵羊的正常小淋巴细胞后,未检测到抗体或免疫球蛋白。一项放射自显影电子显微镜研究表明,尽管许多注射的免疫母细胞迅速退化,但仍有相当比例存活足够长的时间以发育出板层内质网。得出的结论是,一些注射的细胞存活足够长的时间来合成和分泌特异性抗体;根据对巯基乙醇的敏感性得出结论,产生了19S和7S抗体。当将绵羊免疫母细胞皮下注射到同基因或异基因绵羊体内时,局部组织液中出现特异性抗体,并在注射后约50小时达到相对较高的滴度。

https://cdn.ncbi.nlm.nih.gov/pmc/blobs/4966/1456010/05760d8e6dd6/immunology00363-0194-a.jpg

文献检索

告别复杂PubMed语法,用中文像聊天一样搜索,搜遍4000万医学文献。AI智能推荐,让科研检索更轻松。

立即免费搜索

文件翻译

保留排版,准确专业,支持PDF/Word/PPT等文件格式,支持 12+语言互译。

免费翻译文档

深度研究

AI帮你快速写综述,25分钟生成高质量综述,智能提取关键信息,辅助科研写作。

立即免费体验