• 文献检索
  • 文档翻译
  • 深度研究
  • 学术资讯
  • Suppr Zotero 插件Zotero 插件
  • 邀请有礼
  • 套餐&价格
  • 历史记录
应用&插件
Suppr Zotero 插件Zotero 插件浏览器插件Mac 客户端Windows 客户端微信小程序
定价
高级版会员购买积分包购买API积分包
服务
文献检索文档翻译深度研究API 文档MCP 服务
关于我们
关于 Suppr公司介绍联系我们用户协议隐私条款
关注我们

Suppr 超能文献

核心技术专利:CN118964589B侵权必究
粤ICP备2023148730 号-1Suppr @ 2026

文献检索

告别复杂PubMed语法,用中文像聊天一样搜索,搜遍4000万医学文献。AI智能推荐,让科研检索更轻松。

立即免费搜索

文件翻译

保留排版,准确专业,支持PDF/Word/PPT等文件格式,支持 12+语言互译。

免费翻译文档

深度研究

AI帮你快速写综述,25分钟生成高质量综述,智能提取关键信息,辅助科研写作。

立即免费体验

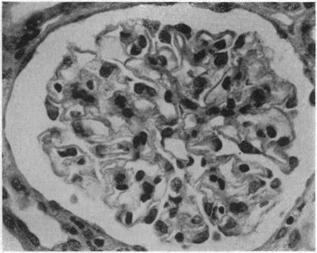
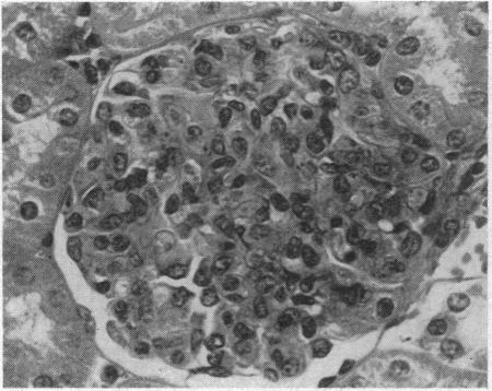
Cell and tissue damage through antigen-antibody complexes.

作者信息

Cochrane C G, Dixon F J

出版信息

Calif Med. 1969 Aug;111(2):99-112.

PMID:5346437
原文链接:https://pmc.ncbi.nlm.nih.gov/articles/PMC1503600/
Abstract
摘要
https://cdn.ncbi.nlm.nih.gov/pmc/blobs/4c1c/1503600/ec13bf5f198f/califmed00014-0031-a.jpg
https://cdn.ncbi.nlm.nih.gov/pmc/blobs/4c1c/1503600/51f13e9e5ce1/califmed00014-0023-a.jpg
https://cdn.ncbi.nlm.nih.gov/pmc/blobs/4c1c/1503600/8602f9d3acb6/califmed00014-0024-a.jpg
https://cdn.ncbi.nlm.nih.gov/pmc/blobs/4c1c/1503600/eb464f24d755/califmed00014-0025-a.jpg
https://cdn.ncbi.nlm.nih.gov/pmc/blobs/4c1c/1503600/6b340bb2192e/califmed00014-0025-b.jpg
https://cdn.ncbi.nlm.nih.gov/pmc/blobs/4c1c/1503600/4b857ff5a253/califmed00014-0025-c.jpg
https://cdn.ncbi.nlm.nih.gov/pmc/blobs/4c1c/1503600/c589a0c94bc3/califmed00014-0026-a.jpg
https://cdn.ncbi.nlm.nih.gov/pmc/blobs/4c1c/1503600/02b709a9316c/califmed00014-0026-b.jpg
https://cdn.ncbi.nlm.nih.gov/pmc/blobs/4c1c/1503600/886bf846c1a0/califmed00014-0027-a.jpg
https://cdn.ncbi.nlm.nih.gov/pmc/blobs/4c1c/1503600/347a78607e04/califmed00014-0027-b.jpg
https://cdn.ncbi.nlm.nih.gov/pmc/blobs/4c1c/1503600/ec13bf5f198f/califmed00014-0031-a.jpg
https://cdn.ncbi.nlm.nih.gov/pmc/blobs/4c1c/1503600/51f13e9e5ce1/califmed00014-0023-a.jpg
https://cdn.ncbi.nlm.nih.gov/pmc/blobs/4c1c/1503600/8602f9d3acb6/califmed00014-0024-a.jpg
https://cdn.ncbi.nlm.nih.gov/pmc/blobs/4c1c/1503600/eb464f24d755/califmed00014-0025-a.jpg
https://cdn.ncbi.nlm.nih.gov/pmc/blobs/4c1c/1503600/6b340bb2192e/califmed00014-0025-b.jpg
https://cdn.ncbi.nlm.nih.gov/pmc/blobs/4c1c/1503600/4b857ff5a253/califmed00014-0025-c.jpg
https://cdn.ncbi.nlm.nih.gov/pmc/blobs/4c1c/1503600/c589a0c94bc3/califmed00014-0026-a.jpg
https://cdn.ncbi.nlm.nih.gov/pmc/blobs/4c1c/1503600/02b709a9316c/califmed00014-0026-b.jpg
https://cdn.ncbi.nlm.nih.gov/pmc/blobs/4c1c/1503600/886bf846c1a0/califmed00014-0027-a.jpg
https://cdn.ncbi.nlm.nih.gov/pmc/blobs/4c1c/1503600/347a78607e04/califmed00014-0027-b.jpg
https://cdn.ncbi.nlm.nih.gov/pmc/blobs/4c1c/1503600/ec13bf5f198f/califmed00014-0031-a.jpg

相似文献

1
Cell and tissue damage through antigen-antibody complexes.抗原抗体复合物导致的细胞和组织损伤。
Calif Med. 1969 Aug;111(2):99-112.
2
[Morphology and some problems of the serum sickness pathogenesis in experimental conditions].[实验条件下血清病发病机制的形态学及一些问题]
Arkh Patol. 1965;27(11):13-20.
3
The glomerulus and serum sickness in experimental hypoxia.实验性低氧中的肾小球与血清病
Br J Exp Pathol. 1972 Jun;53(3):265-76.
4
Studies on passive serum sickness. I. The glomerular fine structure of serum sickness nephritis induced by preformed antigen-antibody complexes in the mouse.被动血清病研究。I. 小鼠中预先形成的抗原-抗体复合物诱导的血清病肾炎的肾小球精细结构
Lab Invest. 1971 May;24(5):383-91.
5
[Serum sickness type lesions produced by antigen-antibody complexes].[抗原-抗体复合物产生的血清病样病变]
Saishin Igaku. 1970 Sep;25(9):1870-6.
6
Immune complex disease. IV. The nature of the circulating complexes associated with glomerulonephritis in the acute BSA-rabbit system.免疫复合物疾病。IV. 急性牛血清白蛋白-兔系统中与肾小球肾炎相关的循环复合物的性质。
Johns Hopkins Med J. 1972 Jun;130(6):335-43.
7
Induction of extraglomerular renal damage in experimental chronic serum sickness. I. Histologic and immunofluorescence findings.实验性慢性血清病中肾小球外肾损伤的诱导。I. 组织学和免疫荧光检查结果。
Lab Invest. 1979 May;40(5):603-14.
8
[Vascular and renal lesions caused by antigen-antibody complexes. Pathomechanism of the serum disease type].[抗原-抗体复合物引起的血管和肾脏病变。血清病型的发病机制]
Med Welt. 1971 Jun 12;24:988-95.
9
[Morphology of the reaction in detachment of a kidney homotransplant].[同种异体肾移植剥离反应的形态学]
Arkh Patol. 1969;31(6):9-22.
10
The effect of anticoagulation on serum sickness nephritis in rabbits.抗凝对兔血清病肾炎的影响。
Proc Soc Exp Biol Med. 1972 May;140(1):329-35. doi: 10.3181/00379727-140-36452.

引用本文的文献

1
The development and resolution of glomerular basement membrane changes associated with subepithelial immune deposits.与上皮下免疫沉积物相关的肾小球基底膜变化的发展与消退。
Am J Pathol. 1975 May;79(2):219-36.

本文引用的文献

1
Periarteritis nodosa; a critical review.结节性多动脉炎;批判性综述。
Am J Clin Pathol. 1952 Aug;22(8):777-90. doi: 10.1093/ajcp/22.8.777.
2
Similarities in the mechanisms determining the Arthus and Shwartzman phenomena.决定阿瑟斯现象和施瓦茨曼现象的机制中的相似性。
J Exp Med. 1951 Oct;94(4):347-58. doi: 10.1084/jem.94.4.347.
3
Diffuse glomerulonephritis induced in rabbits by small intravenous injections of horse serum.通过静脉小剂量注射马血清在兔体内诱发的弥漫性肾小球肾炎。
AMA Arch Pathol. 1951 Jan;51(1):1-11.
4
Immunocytochemical observations in periarteritis nodosa.结节性多动脉炎的免疫细胞化学观察
Ann Intern Med. 1962 Feb;56:289-96. doi: 10.7326/0003-4819-56-2-289.
5
The purification and properties of a proteolytic enzyme, rabbit cathepsin E, and further studies on rabbit cathepsin D.一种蛋白水解酶——兔组织蛋白酶E的纯化及性质,以及对兔组织蛋白酶D的进一步研究。
Biochem J. 1962 Sep;84(3):455-62. doi: 10.1042/bj0840455.
6
Delayed leucocytic emigration after intra-dermal injections and thermal injury.皮内注射和热损伤后白细胞迁移延迟。
J Pathol Bacteriol. 1961 Oct;82:421-9. doi: 10.1002/path.1700820219.
7
Biologic activity of soluble antigen-antibody complexes. IV. The inhibition of the skin reactivity of soluble complexes and the PCA reaction by heterologous complexes.可溶性抗原-抗体复合物的生物活性。IV. 异源复合物对可溶性复合物皮肤反应性及被动皮肤过敏反应的抑制作用
J Immunol. 1959 Aug;83:116-26.
8
The release of histamine and 5-hydroxytryptamine (serotonin) from platelets by antigen-antibody reactions (in vitro).抗原-抗体反应(体外)导致血小板释放组胺和5-羟色胺(血清素)。
J Physiol. 1955 Apr 28;128(1):9-27. doi: 10.1113/jphysiol.1955.sp005289.
9
A ROLE OF POLYMORPHONUCLEAR LEUKOCYTES AND COMPLEMENT IN NEPHROTOXIC NEPHRITIS.多形核白细胞和补体在肾毒性肾炎中的作用
J Exp Med. 1965 Jul 1;122(1):99-116. doi: 10.1084/jem.122.1.99.
10
PATHOGENIC FACTORS IN VASULAR LESIONS OF EXPERIMENTAL SERUM SICKNESS.实验性血清病血管病变中的致病因素
J Exp Med. 1965 Jul 1;122(1):83-98. doi: 10.1084/jem.122.1.83.