Suppr超能文献

肺单孢子菌病:一种罕见的肺部真菌感染。

Pulmonary monosporosis: an uncommon pulmonary mycotic infection.

作者信息

Reddy P C, Christianson C S, Gorelick D F, Larsh H W

出版信息

Thorax. 1969 Nov;24(6):722-8. doi: 10.1136/thx.24.6.722.

Abstract

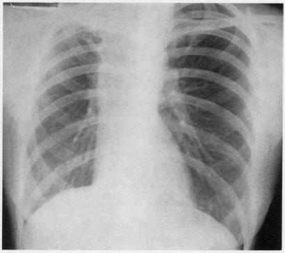
Pulmonary monosporosis is an uncommon form of fungal disease of the lung and bronchorespiratory passages. To date, only six isolated cases have been reported in the literature. It is the purpose of this communication to present the clinical findings, laboratory data, radiographic appearance, and description of the pathology findings in three additional cases identified at the Missouri State Sanatorium. The fungus is present in the soil and has a world-wide distribution. It has been shown to produce localized lesions in the foot called maduromycosis. Pulmonary infection due to this fungus has no characteristic clinical pattern, but the cultural characteristics of permit specific identification. Histologically, the pulmonary involvement shows a variegated non-specific pattern. In the majority of cases, well-defined, predisposing factors are present. A review of the reported six cases and a study of our three cases strengthens our belief that the organism acts as a secondary invader. To date, no mode of therapy has appeared to exert a beneficial influence on the course of the disease. To our knowledge, no clinical trial using any of the antifungal agents has been attempted. Surgical treatment is indicated whenever the lesions are considered resectable. From our observations, we conclude that pulmonary infection with could be recognized more frequently if physicians were more aware of this fungal infection and if the mycology laboratories would take additional care in specific identification.

摘要

肺单孢子菌病是肺部和支气管呼吸道真菌病的一种罕见形式。迄今为止,文献中仅报道了6例孤立病例。本报告旨在介绍在密苏里州疗养院发现的另外3例病例的临床发现、实验室数据、影像学表现及病理检查结果。该真菌存在于土壤中,分布于世界各地。它已被证明可在足部产生称为足分支菌病的局部病变。由这种真菌引起的肺部感染没有特征性的临床模式,但该真菌的培养特征可用于特异性鉴定。组织学上,肺部受累表现为多样化的非特异性模式。在大多数病例中,存在明确的易感因素。对已报道的6例病例的回顾以及对我们3例病例的研究强化了我们的观点,即该病原体为继发性入侵者。迄今为止,尚无治疗方式似乎对该病的病程产生有益影响。据我们所知,尚未尝试使用任何抗真菌药物进行临床试验。只要病变被认为可切除,就应进行手术治疗。根据我们的观察,我们得出结论,如果医生对这种真菌感染有更多认识,并且真菌学实验室在特异性鉴定方面更加谨慎,那么肺部感染可能会被更频繁地识别出来。

https://cdn.ncbi.nlm.nih.gov/pmc/blobs/6a62/472078/cea0ff837eec/thorax00108-0085-a.jpg

文献检索

告别复杂PubMed语法,用中文像聊天一样搜索,搜遍4000万医学文献。AI智能推荐,让科研检索更轻松。

立即免费搜索

文件翻译

保留排版,准确专业,支持PDF/Word/PPT等文件格式,支持 12+语言互译。

免费翻译文档

深度研究

AI帮你快速写综述,25分钟生成高质量综述,智能提取关键信息,辅助科研写作。

立即免费体验