• 文献检索
  • 文档翻译
  • 深度研究
  • 学术资讯
  • Suppr Zotero 插件Zotero 插件
  • 邀请有礼
  • 套餐&价格
  • 历史记录
应用&插件
Suppr Zotero 插件Zotero 插件浏览器插件Mac 客户端Windows 客户端微信小程序
定价
高级版会员购买积分包购买API积分包
服务
文献检索文档翻译深度研究API 文档MCP 服务
关于我们
关于 Suppr公司介绍联系我们用户协议隐私条款
关注我们

Suppr 超能文献

核心技术专利:CN118964589B侵权必究
粤ICP备2023148730 号-1Suppr @ 2026

文献检索

告别复杂PubMed语法,用中文像聊天一样搜索,搜遍4000万医学文献。AI智能推荐,让科研检索更轻松。

立即免费搜索

文件翻译

保留排版,准确专业,支持PDF/Word/PPT等文件格式,支持 12+语言互译。

免费翻译文档

深度研究

AI帮你快速写综述,25分钟生成高质量综述,智能提取关键信息,辅助科研写作。

立即免费体验

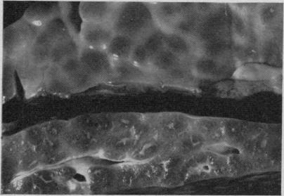
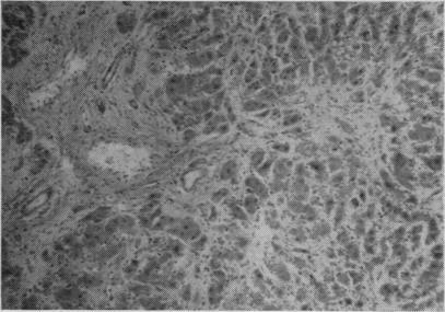
Case report. Ragwort toxicosis in a heifer.

作者信息

Tilt S E

出版信息

Can Vet J. 1969 Nov;10(11):302-6.

PMID:5389711
原文链接:https://pmc.ncbi.nlm.nih.gov/articles/PMC1697663/
Abstract
摘要
https://cdn.ncbi.nlm.nih.gov/pmc/blobs/a961/1697663/6b1233b0d705/canvetj00480-0036-a.jpg
https://cdn.ncbi.nlm.nih.gov/pmc/blobs/a961/1697663/d3af34c09210/canvetj00480-0035-a.jpg
https://cdn.ncbi.nlm.nih.gov/pmc/blobs/a961/1697663/687c3cb941dd/canvetj00480-0035-b.jpg
https://cdn.ncbi.nlm.nih.gov/pmc/blobs/a961/1697663/4c691b4cb0e5/canvetj00480-0035-c.jpg
https://cdn.ncbi.nlm.nih.gov/pmc/blobs/a961/1697663/6b1233b0d705/canvetj00480-0036-a.jpg
https://cdn.ncbi.nlm.nih.gov/pmc/blobs/a961/1697663/d3af34c09210/canvetj00480-0035-a.jpg
https://cdn.ncbi.nlm.nih.gov/pmc/blobs/a961/1697663/687c3cb941dd/canvetj00480-0035-b.jpg
https://cdn.ncbi.nlm.nih.gov/pmc/blobs/a961/1697663/4c691b4cb0e5/canvetj00480-0035-c.jpg
https://cdn.ncbi.nlm.nih.gov/pmc/blobs/a961/1697663/6b1233b0d705/canvetj00480-0036-a.jpg

相似文献

1
Case report. Ragwort toxicosis in a heifer.病例报告。一头小母牛的千里光中毒。
Can Vet J. 1969 Nov;10(11):302-6.
2
[Senecio jacobaea: deceiving beauty. Senecio jacobaea poisoning].[千里光:迷人的美丽。千里光中毒]
Tijdschr Diergeneeskd. 2002 Dec 15;127(24):753-6.
3
Delayed ragwort poisoning associated with lactation stress in cows.与奶牛泌乳应激相关的迟发性千里光中毒
Vet Rec. 1993 Mar 27;132(13):327. doi: 10.1136/vr.132.13.327.
4
Liver biopsy in ragwort poisoning.千里光中毒的肝脏活检
Vet Rec. 1987 Oct 17;121(16):382. doi: 10.1136/vr.121.16.382-a.
5
Halogeton poisoning in range cattle.放牧牛群中的盐生草中毒
J Am Vet Med Assoc. 1980 Apr 15;176(8):717-8.
6
Cassia occidentalis toxicosis in cattle.
J Am Vet Med Assoc. 1967 Sep 15;151(6):735-41.
7
Clinical manifestations of tansy ragwort poisoning.千里光中毒的临床表现。
Mod Vet Pract. 1977 May;58(5):421-4.
8
Photosensitization and crystal-association cholangiohepatopathy in cattle grazing Brachiaria decumbens in Brazil.巴西放牧俯仰臂形草的牛群中的光敏化和晶体相关性胆管肝病
Vet Hum Toxicol. 1997 Dec;39(6):376-7.
9
Serum liver enzyme and histopathologic changes in calves with chronic and chronic-delayed Senecio jacobaea toxicosis.患有慢性和慢性延迟千里光中毒的犊牛的血清肝酶和组织病理学变化。
Am J Vet Res. 1991 Dec;52(12):1969-78.
10
Pulmonary and hepatic lesions associated with suspected ganskweek (Lasiospermum bipinnatum) poisoning in cattle.
J S Afr Vet Assoc. 1994 Sep;65(3):122-4.

引用本文的文献

1
Grazing Ecology of Sheep and Its Impact on Vegetation and Animal Health on Pastures Dominated by Common Ragwort ( L.)-Part 2: Animal Health.以欧洲千里光为主的牧场上绵羊的放牧生态学及其对植被和动物健康的影响 - 第2部分:动物健康
Animals (Basel). 2022 May 18;12(10):1289. doi: 10.3390/ani12101289.
2
Grazing Ecology of Sheep and Its Impact on Vegetation and Animal Health in Pastures Dominated by Common Ragwort ( L.)-Part 1: Vegetation.以欧洲千里光为主的牧场中绵羊的放牧生态学及其对植被和动物健康的影响——第1部分:植被
Animals (Basel). 2022 Apr 12;12(8):1000. doi: 10.3390/ani12081000.

本文引用的文献

1
THE FIELD APPLICATION OF A TEST FOR BOVINE LIVER DYSFUNCTION.一种牛肝功能障碍检测方法的现场应用
Vet Rec. 1965 May 1;77:494-7.
2
Alkylation as the mechanism by which the hepatotoxic pyrrolizidine alkaloids act on cell nuclei.烷基化是具有肝毒性的吡咯里西啶生物碱作用于细胞核的机制。
Nature. 1962 Aug 11;195:570-3. doi: 10.1038/195570a0.
3
Development of hepatic lesions in calves fed with ragwort (Senecio jacobea).
J Comp Pathol. 1968 Apr;78(2):195-205. doi: 10.1016/0021-9975(68)90096-0.