• 文献检索
  • 文档翻译
  • 深度研究
  • 学术资讯
  • Suppr Zotero 插件Zotero 插件
  • 邀请有礼
  • 套餐&价格
  • 历史记录
应用&插件
Suppr Zotero 插件Zotero 插件浏览器插件Mac 客户端Windows 客户端微信小程序
定价
高级版会员购买积分包购买API积分包
服务
文献检索文档翻译深度研究API 文档MCP 服务
关于我们
关于 Suppr公司介绍联系我们用户协议隐私条款
关注我们

Suppr 超能文献

核心技术专利:CN118964589B侵权必究
粤ICP备2023148730 号-1Suppr @ 2026

文献检索

告别复杂PubMed语法,用中文像聊天一样搜索,搜遍4000万医学文献。AI智能推荐,让科研检索更轻松。

立即免费搜索

文件翻译

保留排版,准确专业,支持PDF/Word/PPT等文件格式,支持 12+语言互译。

免费翻译文档

深度研究

AI帮你快速写综述,25分钟生成高质量综述,智能提取关键信息,辅助科研写作。

立即免费体验

连合下器官的脑室面:扫描电镜与透射电镜研究

The ventricular surface of the subcommissural organ: a scanning and transmission electron microscopic study.

作者信息

Collins P, Woollam D H

出版信息

J Anat. 1979 Oct;129(Pt 3):623-31.

PMID:541245
原文链接:https://pmc.ncbi.nlm.nih.gov/articles/PMC1233028/
Abstract

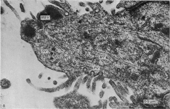
The subcommissural organ of the rat has been studied by a combination of light, scanning and transmission electron microscopy. Special attention has been paid to the appearance of the ventricular surface of the organ. The ependyma-derived cells on the surface of the organ are extremely long with a width which diminishes steadily from the base, where the nucleus is situated, to the ventricular surface. This results in a fan-shaped arrangement of cells, the cytoplasm of each cell reaching the surface of the ventricular system. The apical surface of the cell has small ciliated extensions 1-1.5 micrometers in diameter protruding into the ventricular lumen. With conspicuous rough endoplasmic reticulum and Golgi apparatus, and microtubules in profusion, the subcommissural organ cells possess the hallmarks of active secreting cells. The surface of the cells shows pinocytic vesicles-suggesting exchange of materials with the cerebrospinal fluid.

摘要

采用光学显微镜、扫描电子显微镜和透射电子显微镜相结合的方法对大鼠的联合下器官进行了研究。特别关注了该器官脑室表面的外观。器官表面由室管膜衍生的细胞非常长,其宽度从细胞核所在的基部到脑室表面逐渐减小。这导致细胞呈扇形排列,每个细胞的细胞质到达脑室系统的表面。细胞的顶端表面有直径为1 - 1.5微米的小纤毛状突起伸入脑室腔。联合下器官的细胞具有明显的粗面内质网、高尔基体和大量微管,具备活跃分泌细胞的特征。细胞表面可见吞饮小泡,提示与脑脊液进行物质交换。

https://cdn.ncbi.nlm.nih.gov/pmc/blobs/4ef2/1233028/dd8dfaeeea6a/janat00239-0176-b.jpg
https://cdn.ncbi.nlm.nih.gov/pmc/blobs/4ef2/1233028/104a8653a2bd/janat00239-0173-a.jpg
https://cdn.ncbi.nlm.nih.gov/pmc/blobs/4ef2/1233028/ff5e52d566d8/janat00239-0173-b.jpg
https://cdn.ncbi.nlm.nih.gov/pmc/blobs/4ef2/1233028/99aa40c7dc53/janat00239-0174-a.jpg
https://cdn.ncbi.nlm.nih.gov/pmc/blobs/4ef2/1233028/cd197d48e9ee/janat00239-0174-b.jpg
https://cdn.ncbi.nlm.nih.gov/pmc/blobs/4ef2/1233028/66d6c491fd4a/janat00239-0175-a.jpg
https://cdn.ncbi.nlm.nih.gov/pmc/blobs/4ef2/1233028/70e1e0afb938/janat00239-0175-b.jpg
https://cdn.ncbi.nlm.nih.gov/pmc/blobs/4ef2/1233028/60c70c30180c/janat00239-0176-a.jpg
https://cdn.ncbi.nlm.nih.gov/pmc/blobs/4ef2/1233028/dd8dfaeeea6a/janat00239-0176-b.jpg
https://cdn.ncbi.nlm.nih.gov/pmc/blobs/4ef2/1233028/104a8653a2bd/janat00239-0173-a.jpg
https://cdn.ncbi.nlm.nih.gov/pmc/blobs/4ef2/1233028/ff5e52d566d8/janat00239-0173-b.jpg
https://cdn.ncbi.nlm.nih.gov/pmc/blobs/4ef2/1233028/99aa40c7dc53/janat00239-0174-a.jpg
https://cdn.ncbi.nlm.nih.gov/pmc/blobs/4ef2/1233028/cd197d48e9ee/janat00239-0174-b.jpg
https://cdn.ncbi.nlm.nih.gov/pmc/blobs/4ef2/1233028/66d6c491fd4a/janat00239-0175-a.jpg
https://cdn.ncbi.nlm.nih.gov/pmc/blobs/4ef2/1233028/70e1e0afb938/janat00239-0175-b.jpg
https://cdn.ncbi.nlm.nih.gov/pmc/blobs/4ef2/1233028/60c70c30180c/janat00239-0176-a.jpg
https://cdn.ncbi.nlm.nih.gov/pmc/blobs/4ef2/1233028/dd8dfaeeea6a/janat00239-0176-b.jpg

相似文献

1
The ventricular surface of the subcommissural organ: a scanning and transmission electron microscopic study.连合下器官的脑室面:扫描电镜与透射电镜研究
J Anat. 1979 Oct;129(Pt 3):623-31.
2
[Comparative scanning and transmission electron microscopy studies of the ependyma of the central canal in the spinal cord of primates. I. Electron optical image of the ependyma in the central canal of the spinal cord of the callithrix monkey (Callithrix jacchus, Linné 1758)].[灵长类动物脊髓中央管室管膜的比较扫描和透射电子显微镜研究。I. 狨猴(Callithrix jacchus,林奈,1758年)脊髓中央管室管膜的电子光学图像]
Gegenbaurs Morphol Jahrb. 1986;132(4):535-54.
3
Evidence for apical secretion in the subcommissural organ of the chicken (Gallus gallus).鸡(原鸡)连合下器官顶端分泌的证据。
J Hirnforsch. 1989;30(3):265-71.
4
Morphological features of the surface of the subcommissural organ and aqueduct in the red necked wallaby (Wallabia rufogrisea).红颈小袋鼠(Wallabia rufogrisea)中连合下器官和中脑导水管表面的形态学特征。
J Anat. 1983 Dec;137 ( Pt 4)(Pt 4):665-73.
5
Observations on organized areas of the endoplasmic reticulum, mitochondria, and ribosomes in ependymal cells of the subcommissural organ of Cebus, Saimiri and Callicebus (Platyrrhina, Primates).
Gegenbaurs Morphol Jahrb. 1985;131(6):757-76.
6
Scanning electron microscope observations of the rat subcommissural organ.大鼠连合下器官的扫描电子显微镜观察
Z Mikrosk Anat Forsch. 1975;89(6):1157-65.
7
Aspects of the ultrastructure and function of the subcommissural organ in the Mongolian gerbil (Meriones unguiculatus).长爪沙鼠(子午沙鼠)中连合下器官的超微结构与功能方面
J Submicrosc Cytol Pathol. 2001 Jan-Apr;33(1-2):73-82.
8
Fine structural and cytochemical studies on the hamster subcommissural organ.仓鼠连合下器官的超微结构和细胞化学研究。
Proc Natl Sci Counc Repub China B. 1987 Jul;11(3):297-306.
9
Ultrastructure of ependymal cells in primary cultures of cerebral cortex.大脑皮质原代培养室管膜细胞的超微结构
J Neurosci Res. 1987;18(3):484-92. doi: 10.1002/jnr.490180316.
10
The subcommissural organ of the adult and pouch-young brush-tailed possum (Trichosurus vulpecula). A scanning electron microscopic study.成年及育儿袋幼体帚尾袋貂(帚尾袋貂)的连合下器官。一项扫描电子显微镜研究。
Cell Tissue Res. 1979 Nov;203(1):107-14. doi: 10.1007/BF00234332.

引用本文的文献

1
Astrogliosis and neuroinflammation underlie scoliosis upon cilia dysfunction.纤毛功能障碍导致脊柱侧凸的星形胶质细胞增生和神经炎症。
Elife. 2024 Oct 10;13:RP96831. doi: 10.7554/eLife.96831.
2
A novel feature of the ancient organ: A possible involvement of the subcommissural organ in neurogenic/gliogenic potential in the adult brain.古老器官的一个新特征:连合下器官可能参与成人大脑的神经发生/神经胶质生成潜能。
Front Neurosci. 2023 Mar 7;17:1141913. doi: 10.3389/fnins.2023.1141913. eCollection 2023.
3
Analysis of the efferent projections of the lateral geniculate nucleus with special reference to the innervation of the subcommissural organ and related areas.

本文引用的文献

1
[ELECTRON MICROSCOPIC STUDY OF THE SUBCOMMISSURAL ORGAN IN RATS].[大鼠连合下器官的电子显微镜研究]
Z Zellforsch Mikrosk Anat. 1964 Jul 6;63:277-301.
2
The cytology and histochemistry of the subcommissural organ and Reissner's fiber in rodents.啮齿动物中连合下器官和赖氏纤维的细胞学与组织化学
J Comp Neurol. 1952 Dec;97(3):515-43. doi: 10.1002/cne.900970305.
3
Ultrastructure of the ventricular walls. Three-dimensional study of regional specialization.心室壁的超微结构。区域特化的三维研究。
外侧膝状体核传出投射的分析,特别提及连合下器官及相关区域的神经支配。
Cell Tissue Res. 1994 Sep;277(3):437-45. doi: 10.1007/BF00300216.
4
Reissner's fibre in the rat: a scanning and transmission electron microscope study.大鼠的赖氏纤维:扫描电镜与透射电镜研究
J Anat. 1980 Aug;131(Pt 1):135-43.
5
The circumventricular organs of the brain: their role as possible sites for future neurosurgery.脑的室周器官:它们作为未来神经外科手术可能部位的作用。
Ann R Coll Surg Engl. 1982 Sep;64(5):309-17.
6
Morphological features of the surface of the subcommissural organ and aqueduct in the red necked wallaby (Wallabia rufogrisea).红颈小袋鼠(Wallabia rufogrisea)中连合下器官和中脑导水管表面的形态学特征。
J Anat. 1983 Dec;137 ( Pt 4)(Pt 4):665-73.
Arch Neurol. 1972 May;26(5):420-7. doi: 10.1001/archneur.1972.00490110054005.
4
Evidence for basal secretion in the subcommissural organ of the adult rabbit.成年兔连合下器官基础分泌的证据。
Z Zellforsch Mikrosk Anat. 1973;142(2):223-39. doi: 10.1007/BF00307034.
5
Evidence by scanning electron microscopy for ependymal secretion into the cerebrospinal fluid and formation of Reissner's fiber by the subcommissural organ.扫描电子显微镜下关于室管膜向脑脊液分泌及联合下器官形成赖氏纤维的证据。
Brain Res. 1975 May 2;88(2):319-24. doi: 10.1016/0006-8993(75)90393-5.