Suppr超能文献

鞣皮工肺

Furrier's lung.

作者信息

Pimentel J C

出版信息

Thorax. 1970 Jul;25(4):387-98. doi: 10.1136/thx.25.4.387.

Abstract

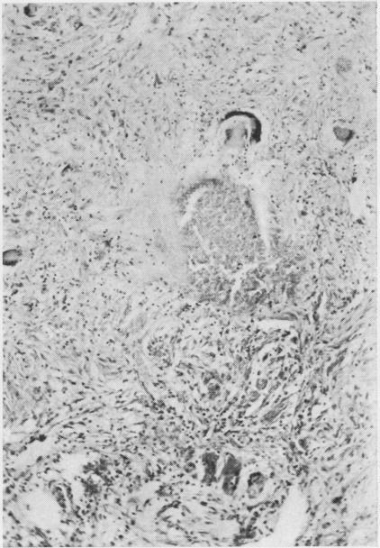
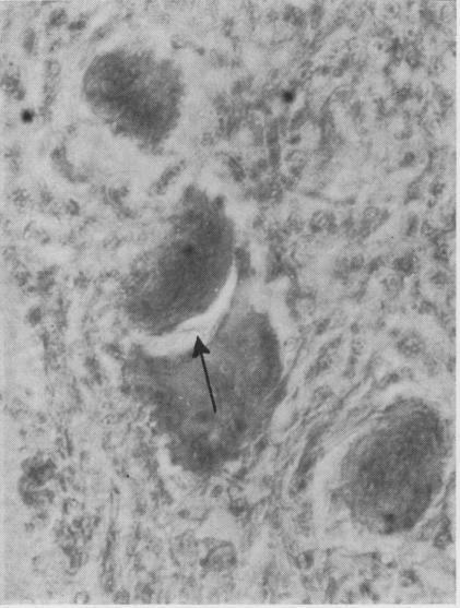
As is known, the inhalation of animal hairs can provoke immunological reactions in the respiratory tract affecting the naso-tracheo-bronchial sector and giving rise to asthma-like syndromes. Another form of disease, found in furriers with long exposure to hair dust', is described. It is characterized by a granulomatous interstitial pneumonia, of the tuberculoid type, very similar to that described in other diseases related to the inhalation of organic dusts, both vegetable and animal, such as farmer's lung' and `bird fancier's lung'. This new disease—which we experimentally reproduced—can be diagnosed from the occupational history together with the finding on lung biopsy of hair shafts within granulomatous lesions (birefringence and histo-chemical reactions). As in other diseases of this type, a host factor of probable immunological nature is suggested. Attention is drawn to the need to protect workers in the furrier's trade.

摘要

众所周知,吸入动物毛发可引发呼吸道的免疫反应,影响鼻 - 气管 - 支气管区域,并引发类似哮喘的综合征。文中描述了另一种在长期接触“毛发粉尘”的毛皮加工工人中发现的疾病形式。其特征为结核样型的肉芽肿性间质性肺炎,与其他与吸入有机粉尘(包括植物性和动物性粉尘,如“农民肺”和“养鸟人肺”)相关疾病中所描述的非常相似。这种我们通过实验再现的新疾病,可根据职业病史以及在肉芽肿性病变中发现毛发杆(双折射和组织化学反应)来诊断。与其他此类疾病一样,提示存在可能具有免疫性质的宿主因素。提请注意保护毛皮加工行业工人的必要性。

https://cdn.ncbi.nlm.nih.gov/pmc/blobs/1012/514664/1a44dbffe161/thorax00112-0004-a.jpg

文献检索

告别复杂PubMed语法,用中文像聊天一样搜索,搜遍4000万医学文献。AI智能推荐,让科研检索更轻松。

立即免费搜索

文件翻译

保留排版,准确专业,支持PDF/Word/PPT等文件格式,支持 12+语言互译。

免费翻译文档

深度研究

AI帮你快速写综述,25分钟生成高质量综述,智能提取关键信息,辅助科研写作。

立即免费体验