Suppr超能文献

免疫记忆表达过程中的细胞事件。

Cellular events during the expression of immunologic memory.

作者信息

Bosman C, Feldman J D

出版信息

Clin Exp Immunol. 1970 Oct;7(4):565-82.

Abstract

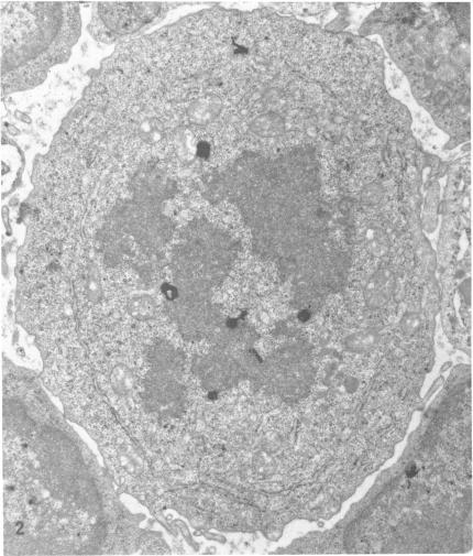
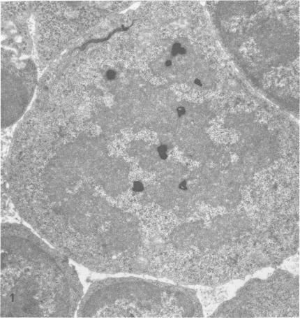
A series of experiments were designed to identify cytologically the cell endowed with immunologic memory and to depict morphologically the cellular events that occurred during the anamnestic response. With the use of radioactive labels and autoradiography at the light and electron microscopic levels, the concatenated phenomena from activation of memory cells to production of antibody could be followed. The memory cell was found to be a lymphocyte which, when activated by specific antigen, enlarged and transformed into either a blast cell or an immature plasma cell. Accompanying this transformation was a boost in proliferative activity of blast and immature plasma cells. This augmented mitotic activity was significantly greater than the level determined in control situations. Following the proliferation among labelled blast and immature cells, maximal labelling occurred in temporal sequence among plasma cells and large lymphocytes and finally among small lymphocytes. Antibody-forming cells were detected chiefly among lymphocytes and plasma cells and increased over the 4 days during which lymphocytes and plasma cells were differentiating from precursor immature elements. The primary response to antigen simulated in many respects the secondary response, but at a significantly lower level.

摘要

设计了一系列实验,旨在从细胞学上鉴定具有免疫记忆的细胞,并从形态学上描绘回忆反应期间发生的细胞事件。通过在光学和电子显微镜水平上使用放射性标记和放射自显影技术,可以追踪从记忆细胞激活到抗体产生的一系列相关现象。发现记忆细胞是一种淋巴细胞,当被特定抗原激活时,会增大并转化为母细胞或未成熟浆细胞。伴随这种转化的是母细胞和未成熟浆细胞增殖活性的增强。这种增强的有丝分裂活性明显高于对照情况下测定的水平。在标记的母细胞和未成熟细胞增殖之后,浆细胞和大淋巴细胞以及最终小淋巴细胞按时间顺序出现最大标记。主要在淋巴细胞和浆细胞中检测到抗体形成细胞,并且在淋巴细胞和浆细胞从前体未成熟成分分化的4天期间有所增加。对抗原的初次反应在许多方面模拟了二次反应,但水平明显较低。

https://cdn.ncbi.nlm.nih.gov/pmc/blobs/abbf/1712848/761d75774479/clinexpimmunol00383-0126-a.jpg

文献检索

告别复杂PubMed语法,用中文像聊天一样搜索,搜遍4000万医学文献。AI智能推荐,让科研检索更轻松。

立即免费搜索

文件翻译

保留排版,准确专业,支持PDF/Word/PPT等文件格式,支持 12+语言互译。

免费翻译文档

深度研究

AI帮你快速写综述,25分钟生成高质量综述,智能提取关键信息,辅助科研写作。

立即免费体验