• 文献检索
  • 文档翻译
  • 深度研究
  • 学术资讯
  • Suppr Zotero 插件Zotero 插件
  • 邀请有礼
  • 套餐&价格
  • 历史记录
应用&插件
Suppr Zotero 插件Zotero 插件浏览器插件Mac 客户端Windows 客户端微信小程序
定价
高级版会员购买积分包购买API积分包
服务
文献检索文档翻译深度研究API 文档MCP 服务
关于我们
关于 Suppr公司介绍联系我们用户协议隐私条款
关注我们

Suppr 超能文献

核心技术专利:CN118964589B侵权必究
粤ICP备2023148730 号-1Suppr @ 2026

文献检索

告别复杂PubMed语法,用中文像聊天一样搜索,搜遍4000万医学文献。AI智能推荐,让科研检索更轻松。

立即免费搜索

文件翻译

保留排版,准确专业,支持PDF/Word/PPT等文件格式,支持 12+语言互译。

免费翻译文档

深度研究

AI帮你快速写综述,25分钟生成高质量综述,智能提取关键信息,辅助科研写作。

立即免费体验

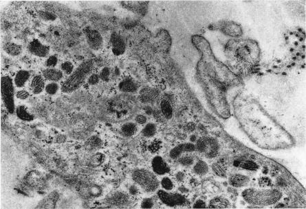
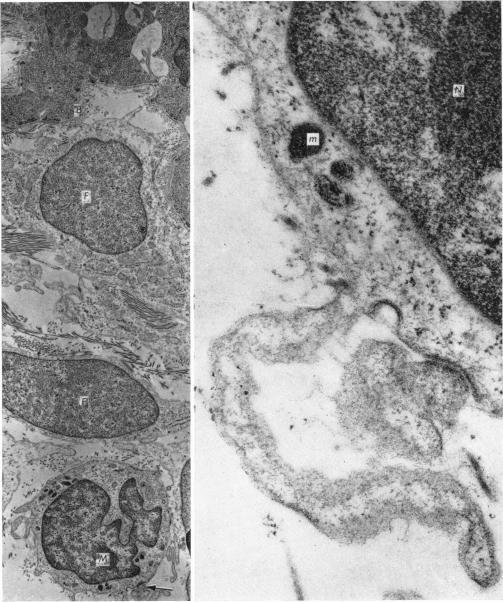
The ultrastructure of the skin of human embryos. 8. Melanoblast and intrafollicular melanocyte.

作者信息

Hashimoto K

出版信息

J Anat. 1971 Jan;108(Pt 1):99-108.

PMID:5543217
原文链接:https://pmc.ncbi.nlm.nih.gov/articles/PMC1234230/
Abstract
摘要
https://cdn.ncbi.nlm.nih.gov/pmc/blobs/2d60/1234230/f40bf48971d3/janat00387-0109-a.jpg
https://cdn.ncbi.nlm.nih.gov/pmc/blobs/2d60/1234230/0647e4fff1d6/janat00387-0102-a.jpg
https://cdn.ncbi.nlm.nih.gov/pmc/blobs/2d60/1234230/62669c668959/janat00387-0104-a.jpg
https://cdn.ncbi.nlm.nih.gov/pmc/blobs/2d60/1234230/d6b72c151965/janat00387-0105-a.jpg
https://cdn.ncbi.nlm.nih.gov/pmc/blobs/2d60/1234230/a1f955a4a9f7/janat00387-0106-a.jpg
https://cdn.ncbi.nlm.nih.gov/pmc/blobs/2d60/1234230/cbbb79dd0222/janat00387-0107-a.jpg
https://cdn.ncbi.nlm.nih.gov/pmc/blobs/2d60/1234230/303c9c3e22ff/janat00387-0108-a.jpg
https://cdn.ncbi.nlm.nih.gov/pmc/blobs/2d60/1234230/f40bf48971d3/janat00387-0109-a.jpg
https://cdn.ncbi.nlm.nih.gov/pmc/blobs/2d60/1234230/0647e4fff1d6/janat00387-0102-a.jpg
https://cdn.ncbi.nlm.nih.gov/pmc/blobs/2d60/1234230/62669c668959/janat00387-0104-a.jpg
https://cdn.ncbi.nlm.nih.gov/pmc/blobs/2d60/1234230/d6b72c151965/janat00387-0105-a.jpg
https://cdn.ncbi.nlm.nih.gov/pmc/blobs/2d60/1234230/a1f955a4a9f7/janat00387-0106-a.jpg
https://cdn.ncbi.nlm.nih.gov/pmc/blobs/2d60/1234230/cbbb79dd0222/janat00387-0107-a.jpg
https://cdn.ncbi.nlm.nih.gov/pmc/blobs/2d60/1234230/303c9c3e22ff/janat00387-0108-a.jpg
https://cdn.ncbi.nlm.nih.gov/pmc/blobs/2d60/1234230/f40bf48971d3/janat00387-0109-a.jpg

相似文献

1
The ultrastructure of the skin of human embryos. 8. Melanoblast and intrafollicular melanocyte.人类胚胎皮肤的超微结构。8. 成黑素细胞和毛囊内黑素细胞。
J Anat. 1971 Jan;108(Pt 1):99-108.
2
Ultrastructure of the skin melanophores and iridophores in paddlefish, Polyodon spathula.匙吻鲟(Polyodon spathula)皮肤黑素细胞和虹彩细胞的超微结构
Micron. 2007;38(1):81-4. doi: 10.1016/j.micron.2006.03.015. Epub 2006 Apr 21.
3
Analysis of some phases of melanoblast migration in the barred Plymouth Rock embryos.对横斑 Plymouth Rock 胚胎中黑素母细胞迁移某些阶段的分析。
Physiol Zool. 1949 Jan;22(1):1-22. doi: 10.1086/physzool.22.1.30152023.
4
[The melanocyte. I. Structure and ultrastructure].
Presse Med (1893). 1968 May 18;76(24):1179-81.
5
[Contribution to the experimental study of the origin of the choroid melanoblast in the mammal].
Arch Biol (Liege). 1963;74:1-49.
6
[The melanocyte. II. Histogenesis].
Presse Med (1893). 1968 Jul 13;76(30):1525-6.
7
The structure of human hair follicle and hair shaft: an electron microscope study.人毛囊和毛干的结构:一项电子显微镜研究。
G Ital Dermatol Minerva Dermatol. 1967 Nov-Dec;108(6):453-97.
8
Genes involved in regulating the melanocyte and melanoblast-melanocyte populations in the epidermis of newborn mouse skin.参与调节新生小鼠皮肤表皮中黑素细胞和黑素母细胞-黑素细胞群体的基因。
J Exp Zool. 1982 Nov 1;223(3):257-64. doi: 10.1002/jez.1402230307.
9
Morphological color changes in fish: regulation of pigment cell density and morphology.鱼类的形态颜色变化:色素细胞密度和形态的调控
Microsc Res Tech. 2002 Sep 15;58(6):496-503. doi: 10.1002/jemt.10168.
10
Chromatic interaction between egg pigmentation and skin chromatophores in the nuptial coloration of female two-spotted gobies.雌性双斑虾虎鱼婚色中卵色素沉着与皮肤色素细胞之间的颜色相互作用。
J Exp Biol. 2005 Dec;208(Pt 23):4391-7. doi: 10.1242/jeb.01925.

引用本文的文献

1
Expression patterns of MITF during human cutaneous embryogenesis: evidence for bulge epithelial expression and persistence of dermal melanoblasts.MITF在人类皮肤胚胎发生过程中的表达模式:隆突上皮表达及真皮黑素母细胞持续存在的证据
J Cutan Pathol. 2008 Jul;35(7):615-22. doi: 10.1111/j.1600-0560.2007.00881.x. Epub 2008 Feb 29.
2
The ultrastructure of the skin of human embryos. X. Merkel tactile cells in the finger and nail.人类胚胎皮肤的超微结构。X. 手指和指甲中的默克尔触觉细胞。
J Anat. 1972 Jan;111(Pt 1):99-120.
3
The appearance, density and distribution of melanocytes in human embryonic and fetal skin revealed by the anti-melanoma monoclonal antibody, HMB-45.

本文引用的文献

1
The use of lead citrate at high pH as an electron-opaque stain in electron microscopy.在电子显微镜检查中,将高pH值的柠檬酸铅用作电子不透明染色剂。
J Cell Biol. 1963 Apr;17(1):208-12. doi: 10.1083/jcb.17.1.208.
2
Amelanotic melanocytes in the outer sheath of the human hair follicle and their role in the repigmentation of regenerated epidermis.人毛囊外鞘中的无黑素黑素细胞及其在再生表皮色素再沉着中的作用。
Ann N Y Acad Sci. 1963 Feb 15;100:239-55. doi: 10.1111/j.1749-6632.1963.tb57123.x.
3
The ultrastructure of the skin of human embryos. IV. The epidermis.
抗黑色素瘤单克隆抗体HMB - 45显示的人胚胎和胎儿皮肤中黑素细胞的外观、密度和分布。
Anat Embryol (Berl). 1989;180(5):443-55. doi: 10.1007/BF00305119.
4
The ultrastructure of congenital naevocytic naevi. III. Morphological variability of melanosomes.先天性黑素细胞痣的超微结构。III. 黑素小体的形态学变异性。
Arch Dermatol Res. 1991;283(7):438-44. doi: 10.1007/BF00371779.
5
[Glomus cell clusters of the lymph node].
Virchows Arch A Pathol Anat Histol. 1976 Aug 19;371(1):27-34. doi: 10.1007/BF00433712.
人类胚胎皮肤的超微结构。IV. 表皮。
J Invest Dermatol. 1966 Oct;47(4):317-35. doi: 10.1038/jid.1966.150.
4
Embryonic development of melanocytes in human hair and epidermis. Their cellular differentiation and melanogenic activity.
J Invest Dermatol. 1966 Mar;46(3):263-77. doi: 10.1038/jid.1966.41.
5
The ultrastructure of the skin of human embryos. 3. The formation of the nail in 16-18 weeks old embryos.人类胚胎皮肤的超微结构。3. 16 - 18周龄胚胎指甲的形成。
J Invest Dermatol. 1966 Sep;47(3):205-17. doi: 10.1038/jid.1966.131.
6
The ultrastructure of the skin of human embryos. I. The intraepidermal eccrine sweat duct.人类胚胎皮肤的超微结构。I. 表皮内小汗腺导管。
J Invest Dermatol. 1965 Sep;45(3):139-51. doi: 10.1038/jid.1965.110.
7
Junctions between intimately apposed cell membranes in the vertebrate brain.脊椎动物大脑中紧密相邻细胞膜之间的连接。
J Cell Biol. 1969 Mar;40(3):648-77. doi: 10.1083/jcb.40.3.648.
8
Langerhans cells in mouse skin experimentally deprived of its neural crest component.
J Invest Dermatol. 1968 Feb;50(2):147-60. doi: 10.1038/jid.1968.18.