Suppr超能文献

与颅内病变相关的心脏损伤。

Heart damage associated with intracranial lesions.

作者信息

Connor R C

出版信息

Br Med J. 1968 Jul 6;3(5609):29-31. doi: 10.1136/bmj.3.5609.8.

Abstract

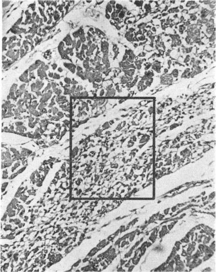
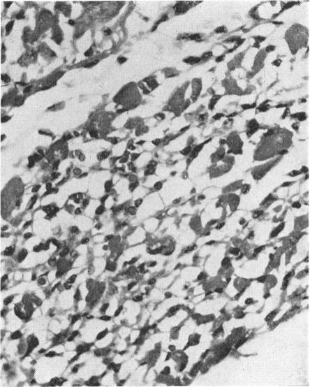
Focal myocytolysis, a form of myocardial damage, has been found to occur in about 8% of patients dying of intracranial lesions. Electrocardiographic abnormalities in patients with brain damage may be due to this. The cause of focal myocytolysis remains unknown, but if it could be prevented it might avert the patient's death from cardiac arrest or arrhythmia. Moreover, more than a minimal degree of this type of damage to the heart might make it unsuitable for transplantation.

摘要

局灶性心肌溶解是一种心肌损伤形式,已发现在约8%死于颅内病变的患者中出现。脑损伤患者的心电图异常可能归因于此。局灶性心肌溶解的病因尚不清楚,但如果能够预防,可能会避免患者因心脏骤停或心律失常而死亡。此外,这种类型的心脏损伤超过最小程度可能会使其不适用于移植。

https://cdn.ncbi.nlm.nih.gov/pmc/blobs/3c91/1989486/9fdede313a57/brmedj02091-0025-a.jpg

文献检索

告别复杂PubMed语法,用中文像聊天一样搜索,搜遍4000万医学文献。AI智能推荐,让科研检索更轻松。

立即免费搜索

文件翻译

保留排版,准确专业,支持PDF/Word/PPT等文件格式,支持 12+语言互译。

免费翻译文档

深度研究

AI帮你快速写综述,25分钟生成高质量综述,智能提取关键信息,辅助科研写作。

立即免费体验