Suppr超能文献

乌干达卡波西肉瘤与化脓性肉芽肿的对比研究。

A comparative study of Kaposi's sarcoma and granuloma pyogenicum in Uganda.

作者信息

Lee F D

出版信息

J Clin Pathol. 1968 Mar;21(2):119-28. doi: 10.1136/jcp.21.2.119.

Abstract

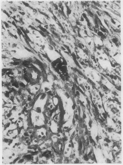
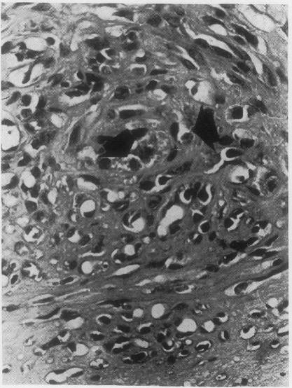
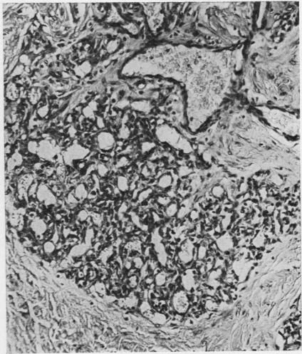
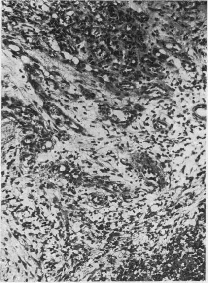
A comparison has been made between two vasoformative lesions, Kaposi's sarcoma and granuloma pyogenicum, as they are encountered in Uganda. Both are predominantly skin lesions arising in the distal extremities, may resemble each other clinically, and are widespread in their distribution in Ugandan communities. They bear a reciprocal relationship to each other as regards age and sex incidence, Kaposi's sarcoma being mainly a disease of adult males and granuloma pyogenicum a disease of immature males and females. Histologically there are many similarities between them, the essential difference being the presence of a spindle-cell sarcomatous element in Kaposi's sarcoma. The clinical behaviour reflects this difference in that granuloma pyogenicum develops quickly and appears to be self-limiting, while Kaposi's sarcoma is slowly progressive and shows much less tendency to regress. On the basis of these findings it is concluded that, although these two lesions may be completely unrelated, it is possible that both represent a response of the vasoformative elements in the skin to a similar form of initiating stimulus and that hormonal or sex-linked genetic factors determine which lesion will develop in response to this stimulus. The presence of intracytoplasmic inclusion in the tumour cells of Kaposi's sarcoma might be of significance in the histogenesis of this tumour, and of value in its histological differentiation from granuloma pyogenicum.

摘要

对乌干达出现的两种血管形成性病变——卡波西肉瘤和脓性肉芽肿进行了比较。两者主要都是发生在四肢远端的皮肤病变,在临床上可能彼此相似,并且在乌干达社区中分布广泛。它们在年龄和性别发病率方面呈反比关系,卡波西肉瘤主要是成年男性的疾病,而脓性肉芽肿是未成年男性和女性的疾病。组织学上它们有许多相似之处,本质区别在于卡波西肉瘤中存在梭形细胞肉瘤成分。临床行为反映了这种差异,脓性肉芽肿发展迅速且似乎有自限性,而卡波西肉瘤进展缓慢且消退倾向小得多。基于这些发现得出结论,尽管这两种病变可能完全无关,但两者都有可能代表皮肤血管形成成分对类似形式的起始刺激的反应,并且激素或性连锁遗传因素决定了对这种刺激会产生哪种病变。卡波西肉瘤肿瘤细胞中胞质内包涵体的存在可能对该肿瘤的组织发生具有重要意义,并且在其与脓性肉芽肿的组织学鉴别中具有价值。

https://cdn.ncbi.nlm.nih.gov/pmc/blobs/f510/473699/589562bdd7ef/jclinpath00373-0007-a.jpg

文献检索

告别复杂PubMed语法,用中文像聊天一样搜索,搜遍4000万医学文献。AI智能推荐,让科研检索更轻松。

立即免费搜索

文件翻译

保留排版,准确专业,支持PDF/Word/PPT等文件格式,支持 12+语言互译。

免费翻译文档

深度研究

AI帮你快速写综述,25分钟生成高质量综述,智能提取关键信息,辅助科研写作。

立即免费体验