Suppr超能文献

迭代螺菌中微囊形成与缺陷噬菌体自发诱导的关联

Association of microcyst formation in Spirillum itersonii with the spontaneous induction of a defective bacteriophage.

作者信息

Clark-Walker G D

出版信息

J Bacteriol. 1969 Feb;97(2):885-92. doi: 10.1128/jb.97.2.885-892.1969.

Abstract

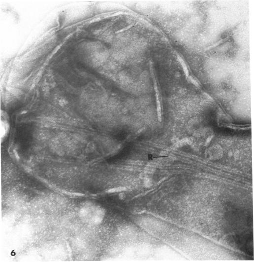
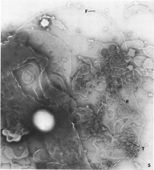
Mitomycin C and ultraviolet light were found to induce the formation of microcysts in Spirillum itersonii. These forms, as well as spontaneously occurring microcysts in this species, were found to contain phage tail parts, rhapidosomes, and a granular substance not seen in normal cells. It is suggested that microcysts are formed as the result of the induction of a defective phage. The production of phage lysozyme within the cell could lead to the formation of spherical forms as the cells lose their structural mucopeptide layer. Complete virus particles were not seen, nor was any biological activity demonstrated when the induced cultures were tested against two other strains of S. itersonii. The other strains of this bacterium also formed microcysts and phage tail parts when induced with mitomycin. Attempts to isolate an organism lacking the defective phage have been unsuccessful.

摘要

发现丝硫菌中丝裂霉素C和紫外线可诱导微囊肿的形成。这些形态以及该物种中自发形成的微囊肿被发现含有噬菌体尾部、鞭毛基体以及正常细胞中未见的颗粒物质。有人提出,微囊肿是由缺陷噬菌体的诱导而形成的。细胞内噬菌体溶菌酶的产生可能导致细胞失去其结构肽聚糖层时形成球形形态。未观察到完整的病毒颗粒,当对诱导培养物针对另外两株丝硫菌进行测试时,也未显示出任何生物活性。用丝裂霉素诱导时,该细菌的其他菌株也形成微囊肿和噬菌体尾部。分离缺乏缺陷噬菌体的生物体的尝试未成功。

https://cdn.ncbi.nlm.nih.gov/pmc/blobs/2229/249773/49b1e5f5afcb/jbacter00392-0443-a.jpg

文献检索

告别复杂PubMed语法,用中文像聊天一样搜索,搜遍4000万医学文献。AI智能推荐,让科研检索更轻松。

立即免费搜索

文件翻译

保留排版,准确专业,支持PDF/Word/PPT等文件格式,支持 12+语言互译。

免费翻译文档

深度研究

AI帮你快速写综述,25分钟生成高质量综述,智能提取关键信息,辅助科研写作。

立即免费体验