• 文献检索
  • 文档翻译
  • 深度研究
  • 学术资讯
  • Suppr Zotero 插件Zotero 插件
  • 邀请有礼
  • 套餐&价格
  • 历史记录
应用&插件
Suppr Zotero 插件Zotero 插件浏览器插件Mac 客户端Windows 客户端微信小程序
定价
高级版会员购买积分包购买API积分包
服务
文献检索文档翻译深度研究API 文档MCP 服务
关于我们
关于 Suppr公司介绍联系我们用户协议隐私条款
关注我们

Suppr 超能文献

核心技术专利:CN118964589B侵权必究
粤ICP备2023148730 号-1Suppr @ 2026

文献检索

告别复杂PubMed语法,用中文像聊天一样搜索,搜遍4000万医学文献。AI智能推荐,让科研检索更轻松。

立即免费搜索

文件翻译

保留排版,准确专业,支持PDF/Word/PPT等文件格式,支持 12+语言互译。

免费翻译文档

深度研究

AI帮你快速写综述,25分钟生成高质量综述,智能提取关键信息,辅助科研写作。

立即免费体验

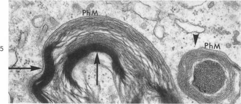
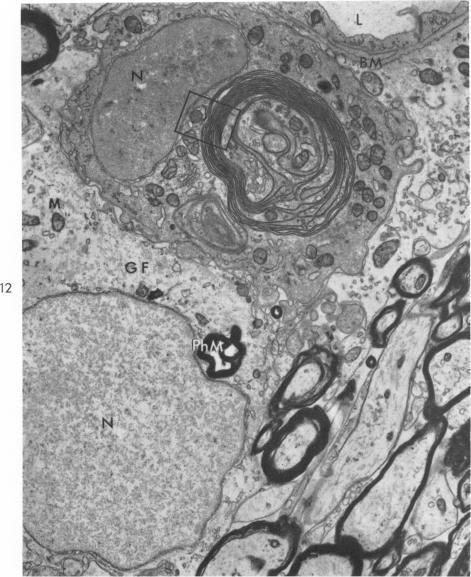
Phagocytosis and regeneration of myelin in an experimental leukoencephalopathy.

作者信息

Gonatas N K, Levine S, Shoulson R

出版信息

Am J Pathol. 1964 Apr;44(4):565-83.

PMID:5877506
原文链接:https://pmc.ncbi.nlm.nih.gov/articles/PMC1907034/
Abstract
摘要
https://cdn.ncbi.nlm.nih.gov/pmc/blobs/9ee7/1907034/5ecf973a59e3/amjpathol00305-0064-b.jpg
https://cdn.ncbi.nlm.nih.gov/pmc/blobs/9ee7/1907034/0975053005c9/amjpathol00305-0056-a.jpg
https://cdn.ncbi.nlm.nih.gov/pmc/blobs/9ee7/1907034/cbc1b3b2ae4f/amjpathol00305-0056-b.jpg
https://cdn.ncbi.nlm.nih.gov/pmc/blobs/9ee7/1907034/d3ec16e2b89f/amjpathol00305-0057-a.jpg
https://cdn.ncbi.nlm.nih.gov/pmc/blobs/9ee7/1907034/33c58cea0c1f/amjpathol00305-0057-b.jpg
https://cdn.ncbi.nlm.nih.gov/pmc/blobs/9ee7/1907034/1daa3bb8544c/amjpathol00305-0058-a.jpg
https://cdn.ncbi.nlm.nih.gov/pmc/blobs/9ee7/1907034/142e593c0a42/amjpathol00305-0059-a.jpg
https://cdn.ncbi.nlm.nih.gov/pmc/blobs/9ee7/1907034/c40458e4161f/amjpathol00305-0059-b.jpg
https://cdn.ncbi.nlm.nih.gov/pmc/blobs/9ee7/1907034/033e898bda2e/amjpathol00305-0060-a.jpg
https://cdn.ncbi.nlm.nih.gov/pmc/blobs/9ee7/1907034/985903fd0a93/amjpathol00305-0060-b.jpg
https://cdn.ncbi.nlm.nih.gov/pmc/blobs/9ee7/1907034/d664adf69b5c/amjpathol00305-0061-a.jpg
https://cdn.ncbi.nlm.nih.gov/pmc/blobs/9ee7/1907034/fa77d6093b1d/amjpathol00305-0062-a.jpg
https://cdn.ncbi.nlm.nih.gov/pmc/blobs/9ee7/1907034/b6530cd700d4/amjpathol00305-0063-a.jpg
https://cdn.ncbi.nlm.nih.gov/pmc/blobs/9ee7/1907034/2b89a808ff77/amjpathol00305-0064-a.jpg
https://cdn.ncbi.nlm.nih.gov/pmc/blobs/9ee7/1907034/5ecf973a59e3/amjpathol00305-0064-b.jpg
https://cdn.ncbi.nlm.nih.gov/pmc/blobs/9ee7/1907034/0975053005c9/amjpathol00305-0056-a.jpg
https://cdn.ncbi.nlm.nih.gov/pmc/blobs/9ee7/1907034/cbc1b3b2ae4f/amjpathol00305-0056-b.jpg
https://cdn.ncbi.nlm.nih.gov/pmc/blobs/9ee7/1907034/d3ec16e2b89f/amjpathol00305-0057-a.jpg
https://cdn.ncbi.nlm.nih.gov/pmc/blobs/9ee7/1907034/33c58cea0c1f/amjpathol00305-0057-b.jpg
https://cdn.ncbi.nlm.nih.gov/pmc/blobs/9ee7/1907034/1daa3bb8544c/amjpathol00305-0058-a.jpg
https://cdn.ncbi.nlm.nih.gov/pmc/blobs/9ee7/1907034/142e593c0a42/amjpathol00305-0059-a.jpg
https://cdn.ncbi.nlm.nih.gov/pmc/blobs/9ee7/1907034/c40458e4161f/amjpathol00305-0059-b.jpg
https://cdn.ncbi.nlm.nih.gov/pmc/blobs/9ee7/1907034/033e898bda2e/amjpathol00305-0060-a.jpg
https://cdn.ncbi.nlm.nih.gov/pmc/blobs/9ee7/1907034/985903fd0a93/amjpathol00305-0060-b.jpg
https://cdn.ncbi.nlm.nih.gov/pmc/blobs/9ee7/1907034/d664adf69b5c/amjpathol00305-0061-a.jpg
https://cdn.ncbi.nlm.nih.gov/pmc/blobs/9ee7/1907034/fa77d6093b1d/amjpathol00305-0062-a.jpg
https://cdn.ncbi.nlm.nih.gov/pmc/blobs/9ee7/1907034/b6530cd700d4/amjpathol00305-0063-a.jpg
https://cdn.ncbi.nlm.nih.gov/pmc/blobs/9ee7/1907034/2b89a808ff77/amjpathol00305-0064-a.jpg
https://cdn.ncbi.nlm.nih.gov/pmc/blobs/9ee7/1907034/5ecf973a59e3/amjpathol00305-0064-b.jpg

相似文献

1
Phagocytosis and regeneration of myelin in an experimental leukoencephalopathy.实验性白质脑病中髓磷脂的吞噬作用与再生
Am J Pathol. 1964 Apr;44(4):565-83.
2
ELECTRON MICROSCOPIC INVESTIGATION OF PHAGOCYTOSIS OF MYELIN IN AN EXPERIMENTAL LEUKOENCEPHALOPATHY.实验性脑白质病中髓鞘吞噬作用的电子显微镜研究
Ann N Y Acad Sci. 1965 Mar 31;122:6-14. doi: 10.1111/j.1749-6632.1965.tb20187.x.
3
The pathogenesis of experimental mycotic encephalitis. An ultrastructural study.实验性霉菌性脑炎的发病机制:超微结构研究
Lab Invest. 1969 Nov;21(5):365-73.
4
[Blastomatously transformed astrocytes in human cerebral medullary layers as myelophages].[人脑髓质层中作为噬髓细胞的母细胞瘤样转化星形胶质细胞]
Dtsch Z Nervenheilkd. 1967;190(1):29-54.
5
An ultrastructural study of experimental demyelination and remyelination. V. Central and peripheral nervous system lesions caused by diphtheria toxin.实验性脱髓鞘与再髓鞘形成的超微结构研究。V. 白喉毒素所致的中枢和周围神经系统损害
Lab Invest. 1971 Jul;25(1):73-80.
6
[Characteristics of chronic experimental allergic encephalomyelitis (immunologic and electron microscopic studies)].[慢性实验性变应性脑脊髓炎的特征(免疫学和电子显微镜研究)]
Zh Nevropatol Psikhiatr Im S S Korsakova. 1973;73(7):994-1002.
7
The impact of neurotrophin-3 on the dorsal root transitional zone following injury.神经营养因子-3对损伤后背根移行区的影响。
Spinal Cord. 2008 Dec;46(12):804-10. doi: 10.1038/sc.2008.57. Epub 2008 Jun 10.
8
[Experimental allergic encephalitis].[实验性变应性脑脊髓炎]
Cesk Patol. 1971 Aug;7(3):113-21.
9
[Myelination gliosis and reactive gliosis in the developing optic nerve of the rat].[大鼠发育中的视神经中的髓鞘形成性胶质增生和反应性胶质增生]
Reprod Nutr Dev (1980). 1982;22(1B):171-8.
10
An electron microscopic study of murine reovirus 3 encephalitis.小鼠呼肠孤病毒3型脑炎的电子显微镜研究
Am J Pathol. 1967 Jan;50(1):59-75.

引用本文的文献

1
Electron microscopic studies on ordinary and hyperacute experimental allergic encephalomyelitis.普通型和超急性实验性过敏性脑脊髓炎的电子显微镜研究
Acta Neuropathol. 1967 Oct 20;9(2):99-126. doi: 10.1007/BF00691436.
2
II. Ultrastructural changes in focal retinal ischaemia.二、局灶性视网膜缺血的超微结构变化
Br J Ophthalmol. 1966 Jun;50(6):325-84. doi: 10.1136/bjo.50.6.325.
3
Familial spongy degeneration of the central nervous system (Van Bogaert-Bertrand disease). An ultrastructural study.中枢神经系统家族性海绵状变性(范博加特 - 伯特兰病)。一项超微结构研究。

本文引用的文献

1
A study of fixation for electron microscopy.电子显微镜固定研究。
J Exp Med. 1952 Mar;95(3):285-98. doi: 10.1084/jem.95.3.285.
2
Electron microscopic study of the phagocytosis process in lung.肺中吞噬作用过程的电子显微镜研究。
J Biophys Biochem Cytol. 1960 Apr;7(2):357-66. doi: 10.1083/jcb.7.2.357.
3
ULTRASTRUCTURAL AND CHEMICAL STUDIES ON KRABBE'S DISEASE.
J Neuropathol Exp Neurol. 1963 Jul;22:414-34. doi: 10.1097/00005072-196307000-00004.
Acta Neuropathol. 1969 Jan 31;12(2):103-15. doi: 10.1007/BF00692500.
4
Leucodystrophy in mink.
Acta Neuropathol. 1968 Nov 1;11(4):347-60. doi: 10.1007/BF00686731.
5
Structural changes of the central nervous system in swayback (enzootic ataxia) of lambs. IV. Electron microscopy of the white matter of the spinal cord.羔羊晃背病(地方性共济失调)中枢神经系统的结构变化。IV. 脊髓白质的电子显微镜观察
Acta Neuropathol. 1968 Nov 1;11(4):294-300. doi: 10.1007/BF00686726.
6
Glial cell changes in the brain stem of thiamine-deficient rats.硫胺素缺乏大鼠脑干中的神经胶质细胞变化
Am J Pathol. 1967 May;50(5):791-814.
7
Histological observations on Wallerian degeneration in the spinal cord of the baboon, Papio papio.对豚尾狒狒(Papio papio)脊髓中沃勒变性的组织学观察。
Acta Neuropathol. 1969;12(4):314-28. doi: 10.1007/BF00809128.
8
Schwann cell properties. II. The identity of phagocytes in the degenerating nerve.施万细胞特性。II. 退变神经中吞噬细胞的身份。
Am J Pathol. 1974 May;75(2):395-416.
9
Ultrastructure of the central nervous system after prolonged hypoxia. II. Neuroglia and blood vessels.
Acta Neuropathol. 1972;22(3):235-44. doi: 10.1007/BF00684526.
10
Microglia cells in diffuse and granulomatous encephalitis in the rabbit.
Acta Neuropathol. 1967 Jan 2;7(3):261-74. doi: 10.1007/BF00686377.
4
Studies in Tay-Sachs disease. II. Ultrastructure of the cerebrum.泰-萨克斯病的研究。II. 大脑的超微结构。
J Neuropathol Exp Neurol. 1963 Jan;22:18-55. doi: 10.1097/00005072-196301000-00003.
5
Ultrastructure of inflammation with edema in the rat brain.大鼠脑内伴有水肿的炎症超微结构
Am J Pathol. 1963 Apr;42(4):455-69.
6
Electron microscopic and histochemical studies in diffuse sclerosis (sudanophilic type).
Neurology. 1962 Dec;12:896-909. doi: 10.1212/wnl.12.12.896.
7
Experimental leukoencephalopathies due to implantation of foreign substances.因植入异物导致的实验性白质脑病
Am J Pathol. 1963 Jan;42(1):97-117.
8
Electron microscopic study of demyelination in an experimentally induced lesion in adult cat spinal cord.成年猫脊髓实验性损伤中脱髓鞘的电子显微镜研究。
J Biophys Biochem Cytol. 1960 Jul;7(4):685-96. doi: 10.1083/jcb.7.4.685.
9
Electron microscopic observations on allergic encephalomyelitis in the rabbit.兔过敏性脑脊髓炎的电子显微镜观察
J Exp Med. 1960 Nov 1;112(5):735-42. doi: 10.1084/jem.112.5.735.
10
The formation and structure of myelin sheaths in the central nervous system.中枢神经系统中髓鞘的形成与结构。
J Biophys Biochem Cytol. 1960 Oct;8(2):431-46. doi: 10.1083/jcb.8.2.431.