• 文献检索
  • 文档翻译
  • 深度研究
  • 学术资讯
  • Suppr Zotero 插件Zotero 插件
  • 邀请有礼
  • 套餐&价格
  • 历史记录
应用&插件
Suppr Zotero 插件Zotero 插件浏览器插件Mac 客户端Windows 客户端微信小程序
定价
高级版会员购买积分包购买API积分包
服务
文献检索文档翻译深度研究API 文档MCP 服务
关于我们
关于 Suppr公司介绍联系我们用户协议隐私条款
关注我们

Suppr 超能文献

核心技术专利:CN118964589B侵权必究
粤ICP备2023148730 号-1Suppr @ 2026

文献检索

告别复杂PubMed语法,用中文像聊天一样搜索,搜遍4000万医学文献。AI智能推荐,让科研检索更轻松。

立即免费搜索

文件翻译

保留排版,准确专业,支持PDF/Word/PPT等文件格式,支持 12+语言互译。

免费翻译文档

深度研究

AI帮你快速写综述,25分钟生成高质量综述,智能提取关键信息,辅助科研写作。

立即免费体验

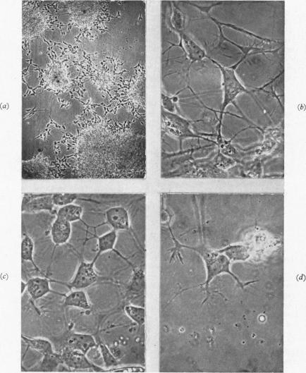
Differential diagnosis of neuroblastoma and Burkitt's tumour.

作者信息

Grant H, Pulvertaft R J

出版信息

Arch Dis Child. 1966 Apr;41(216):193-7. doi: 10.1136/adc.41.216.193.

DOI:10.1136/adc.41.216.193
PMID:5909830
原文链接:https://pmc.ncbi.nlm.nih.gov/articles/PMC2019640/
Abstract
摘要
https://cdn.ncbi.nlm.nih.gov/pmc/blobs/8ba2/2019640/2301301cdffc/archdisch01569-0087-a.jpg
https://cdn.ncbi.nlm.nih.gov/pmc/blobs/8ba2/2019640/07523987275b/archdisch01569-0083-a.jpg
https://cdn.ncbi.nlm.nih.gov/pmc/blobs/8ba2/2019640/68e47394ea5a/archdisch01569-0086-a.jpg
https://cdn.ncbi.nlm.nih.gov/pmc/blobs/8ba2/2019640/2301301cdffc/archdisch01569-0087-a.jpg
https://cdn.ncbi.nlm.nih.gov/pmc/blobs/8ba2/2019640/07523987275b/archdisch01569-0083-a.jpg
https://cdn.ncbi.nlm.nih.gov/pmc/blobs/8ba2/2019640/68e47394ea5a/archdisch01569-0086-a.jpg
https://cdn.ncbi.nlm.nih.gov/pmc/blobs/8ba2/2019640/2301301cdffc/archdisch01569-0087-a.jpg

相似文献

1
Differential diagnosis of neuroblastoma and Burkitt's tumour.神经母细胞瘤与伯基特淋巴瘤的鉴别诊断。
Arch Dis Child. 1966 Apr;41(216):193-7. doi: 10.1136/adc.41.216.193.
2
Histological diagnosis of Burkitt's lymphoma: a cautionary tale.伯基特淋巴瘤的组织学诊断:一则警示故事。
Br Med J. 1971 Jan 9;1(5740):89-90. doi: 10.1136/bmj.1.5740.89.
3
[Changes in radiological pattern in Burkitt's disease].[伯基特淋巴瘤的放射学表现变化]
Przegl Lek. 1972;29(7):716-9.
4
Letter: childhood lymphoma resembling Burkitt's tumour in the southern Argentine.信件:阿根廷南部类似伯基特氏瘤的儿童淋巴瘤
Arch Dis Child. 1974 Dec;49(12):970-1. doi: 10.1136/adc.49.12.970-a.
5
Lymphosarcoma mimicking the histological appearance of Burkitt's tumour. A report of two cases.酷似伯基特淋巴瘤组织学表现的淋巴肉瘤。两例报告。
East Afr Med J. 1966 Nov;43(11):501-5.
6
Primary ovarian Burkitt's lymphoma: a rare oncological problem in gynaecology: a review of literature.原发性卵巢伯基特淋巴瘤:妇科罕见的肿瘤问题:文献综述
Arch Gynecol Obstet. 2017 Oct;296(4):653-660. doi: 10.1007/s00404-017-4478-6. Epub 2017 Aug 2.
7
Burkitt's lymphoma: clinicopathologic features and differential diagnosis.伯基特淋巴瘤:临床病理特征与鉴别诊断
Oncologist. 2006 Apr;11(4):375-83. doi: 10.1634/theoncologist.11-4-375.
8
Abdominal Burkitt's lymphoma diagnosed by fine needle aspiration cytology--a case report.经细针穿刺细胞学检查诊断的腹部伯基特淋巴瘤——病例报告
J Korean Med Sci. 1990 Jun;5(2):97-9. doi: 10.3346/jkms.1990.5.2.97.
9
Burkitt's tumor and childhood lymphosarcoma.伯基特淋巴瘤和儿童淋巴肉瘤。
Clin Pediatr (Phila). 1967 Feb;6(2):116-23. doi: 10.1177/000992286700600208.
10
Burkitt-like lymphoma of the sphenoid sinus: case report.蝶窦伯基特样淋巴瘤:病例报告
Acta Otorhinolaryngol Ital. 2004 Feb;24(1):30-2.

引用本文的文献

1
Combined therapy of neuroblastoma.神经母细胞瘤的联合治疗
Ann Surg. 1968 Jun;167(6):856-66. doi: 10.1097/00000658-196806000-00006.

本文引用的文献

1
Distinctive Characteristics of the Sympathicoblastoma Cultivated in Vitro: A Method for Prompt Diagnosis.体外培养的成神经细胞瘤的独特特征:一种快速诊断方法。
Am J Pathol. 1947 May;23(3):429-41.
2
A STUDY OF MALIGNANT TUMOURS IN NIGERIA BY SHORT-TERM TISSUE CULTURE.尼日利亚恶性肿瘤的短期组织培养研究
J Clin Pathol. 1965 May;18(3):261-73. doi: 10.1136/jcp.18.3.261.
3
LONG-TERM TISSUE CULTURE OF NEUROBLASTOMAS. II. MORPHOLOGIC EVIDENCE FOR DIFFERENTIATION AND MATURATION.神经母细胞瘤的长期组织培养。II. 分化与成熟的形态学证据
J Natl Cancer Inst. 1964 Jan;32:165-99.
4
INCIDENCE OF THE BURKITT TUMOUR IN IBADAN, WESTERN NIGERIA.尼日利亚西部伊巴丹地区伯基特肿瘤的发病率
Br Med J. 1964 Feb 1;1(5378):264-6. doi: 10.1136/bmj.1.5378.264.
5
Neuroblastoma sympatheticum; a study and report of 217 cases.交感神经母细胞瘤;217例病例的研究与报告。
Pediatrics. 1959 Jun;23(6):1179-91.
6
A sarcoma involving the jaws in African children.一种发生于非洲儿童颌骨的肉瘤。
Br J Surg. 1958 Nov;46(197):218-23. doi: 10.1002/bjs.18004619704.