Suppr超能文献

Cytochemical localisation of 5'-nucleotidase in amoeboid microglial cells in postnatal rats.

作者信息

Kaur C, Ling E A, Wong W C

出版信息

J Anat. 1984 Aug;139 ( Pt 1)(Pt 1):1-7.

Abstract

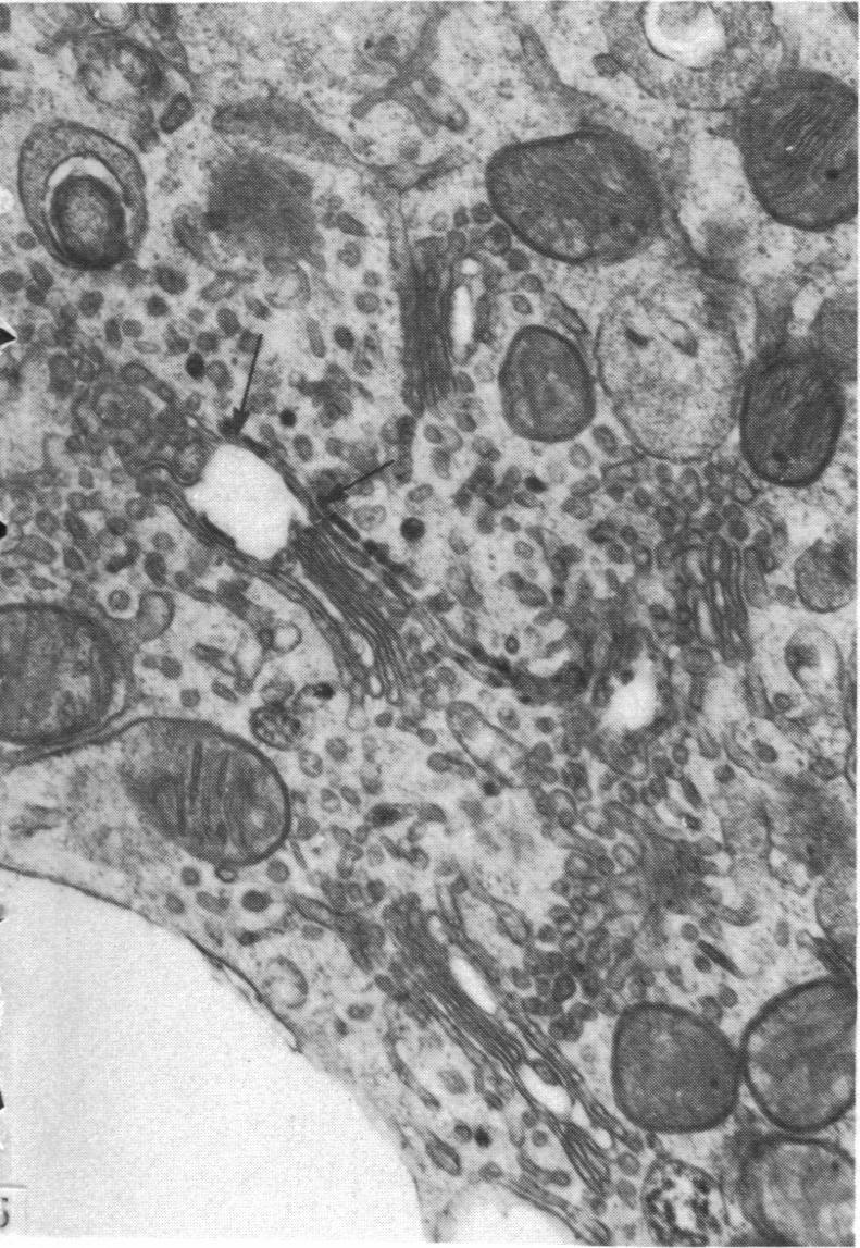
The activity of the enzyme 5'-nucleotidase has been studied in postnatal rats. In 5 days old rats, under the light microscope, round amoeboid microglial cells were stained for the enzyme. The cytoplasm was stained dark brown, with a clear nucleus. In older rats, the reactive amoeboid microglial cells assumed an oval or flattened form. In the electron microscope, in 5 days old rat, reaction product was deposited at various sites in the cytoplasm of the amoeboid microglial cells: over lysosomes in subplasmalemmal vacuoles as well as in saccules of the Golgi apparatus. In older rats the cells showed reaction over the lysosomes. The cells became oval and elongated.

摘要
https://cdn.ncbi.nlm.nih.gov/pmc/blobs/bddc/1164441/7bfe99ebc55d/janat00197-0010-a.jpg

本文引用的文献

文献AI研究员

20分钟写一篇综述,助力文献阅读效率提升50倍。

立即体验

用中文搜PubMed

大模型驱动的PubMed中文搜索引擎

马上搜索

文档翻译

学术文献翻译模型,支持多种主流文档格式。

立即体验