Suppr超能文献

对经单次剂量N-亚硝基脲经胎盘诱导产生的IIIVO/J兔肾母细胞瘤进行电子显微镜分析。

Electron-microscopic analysis of nephroblastomas induced transplacentally in the IIIVO/J rabbit by a single dose of N-ethylnitrosourea.

作者信息

Hard G C, Fox R R

出版信息

Am J Pathol. 1984 Nov;117(2):239-51.

Abstract

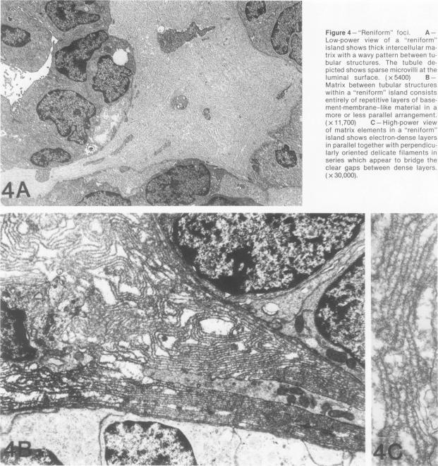
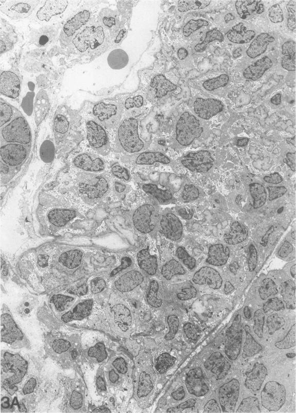
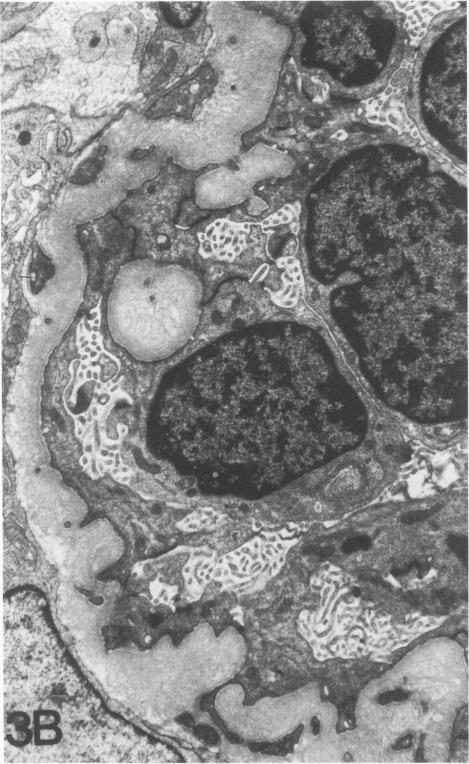
Eight examples of nephroblastoma induced transplacentally in the partially inbred IIIVO/J strain of rabbit by a single intraperitoneal (60 mg/kg) dose of N-ethylnitrosourea (ENU) were studied by transmission electron-microscopy. At the light-microscopic level the ENU-induced tumors displayed the complex array of histotypic components described in a previous report (Hard GC, Fox RR: Histologic characterization of renal tumors (nephroblastomas) induced transplacentally in IIIVO/J and WH/J rabbits by N-ethylnitrosourea. Am J Pathol 1983, 113:8-18) namely, blastema, tubular profiles, "reniform" islands, glomeruloid bodies, squamoid foci, fascicles of mesenchymelike tumor cells, and an increasing fibrocollagenous stroma. Ultrastructurally, blastemalike cells were undifferentiated forms resembling metanephric blastema. Tubular profiles of varying development were typified by very prominent apical junctional complexes and a basal lamina, but no organized brush-border. "Reniform" islands were groups of more maturely formed tubules associated with the production of an interstitial matrix consisting almost solely of multilamellar basement membrane. Glomeruloid bodies were invaginations of small podocytelike cells, with a profusion of thin cytoplasmic processes resembling foot processes, and internal, homogeneous areas of basement membrane continuous with that surrounding the entire structure. As such, these structures were consistent with primitive attempts at glomerular differentiation but without vascular or mesangial elements. The squamoid foci were representative of true squamous differentiation in comprising cells filled with intermediate filaments and interconnected by lateral interdigitations and multiple, well-formed desmosomes. Spindle-shaped tumor cells disposed in fascicles, which could have been interpreted as bipotential differentiation into secondary mesenchyme at the histologic level, differed from the blastemal cell type only in shape. Ultrastructurally, the fascicles, in most cases, consisted of thin, basement-membrane-invested ribbons of attenuated cells enclosing small lumens sealed by intercellular junctions, suggestive of abortive tubule formation. Tumor cells disposed in fascicles therefore conformed to the same epithelial lineage as the other neoplastic components of these tumors. In contrast, cellular elements of the fibrocollagenous stroma--namely, fibroblasts, vascular endothelial cells, and scattered mononuclear inflammatory cells--could be clearly discriminated from the various tumor cell components on morphologic grounds, constituting a host reaction.(ABSTRACT TRUNCATED AT 400 WORDS)

摘要

通过腹腔注射单次剂量(60毫克/千克)的N-乙基亚硝脲(ENU),在部分近交系IIIVO/J兔中经胎盘诱导产生了8例肾母细胞瘤,采用透射电子显微镜对其进行了研究。在光学显微镜水平上,ENU诱导的肿瘤呈现出先前报告中所描述的复杂组织学成分组合(Hard GC,Fox RR:N-乙基亚硝脲经胎盘诱导IIIVO/J和WH/J兔产生的肾肿瘤(肾母细胞瘤)的组织学特征。《美国病理学杂志》1983年,113:8 - 18),即胚基、管状结构、“肾形”岛、肾小球样体、鳞状病灶、间充质样肿瘤细胞束以及逐渐增多的纤维胶原基质。超微结构上,胚基样细胞是未分化的形式,类似于后肾胚基。不同发育阶段的管状结构以非常突出的顶端连接复合体和基底膜为特征,但没有有组织的刷状缘。“肾形”岛是一组形成更成熟一些的小管,伴有几乎仅由多层基底膜组成的间质基质的产生。肾小球样体是小足细胞样细胞的内陷,有大量类似于足突的细细胞质突起,以及内部均匀的基底膜区域,与围绕整个结构的基底膜连续。因此,这些结构与肾小球分化的原始尝试一致,但没有血管或系膜成分。鳞状病灶代表真正的鳞状分化,其细胞充满中间丝,通过侧向交错和多个形成良好的桥粒相互连接。排列成束的梭形肿瘤细胞,在组织学水平上可被解释为双潜能分化为次级间充质,与胚基细胞类型仅在形状上有所不同。超微结构上,在大多数情况下,这些束由包裹着小腔隙的、基底膜包绕的、变薄细胞的细带组成,小腔隙由细胞间连接封闭,提示小管形成失败。因此,排列成束的肿瘤细胞与这些肿瘤的其他肿瘤成分属于相同的上皮谱系。相比之下,纤维胶原基质的细胞成分,即成纤维细胞、血管内皮细胞和散在的单核炎性细胞,在形态学上可与各种肿瘤细胞成分清楚地区分开来,构成宿主反应。(摘要截选至400字)

https://cdn.ncbi.nlm.nih.gov/pmc/blobs/da0c/1900436/c689b4db1751/amjpathol00176-0092-a.jpg

文献检索

告别复杂PubMed语法,用中文像聊天一样搜索,搜遍4000万医学文献。AI智能推荐,让科研检索更轻松。

立即免费搜索

文件翻译

保留排版,准确专业,支持PDF/Word/PPT等文件格式,支持 12+语言互译。

免费翻译文档

深度研究

AI帮你快速写综述,25分钟生成高质量综述,智能提取关键信息,辅助科研写作。

立即免费体验