Inman L R, Cantey J R
J Clin Invest. 1984 Jul;74(1):90-5. doi: 10.1172/JCI111423.
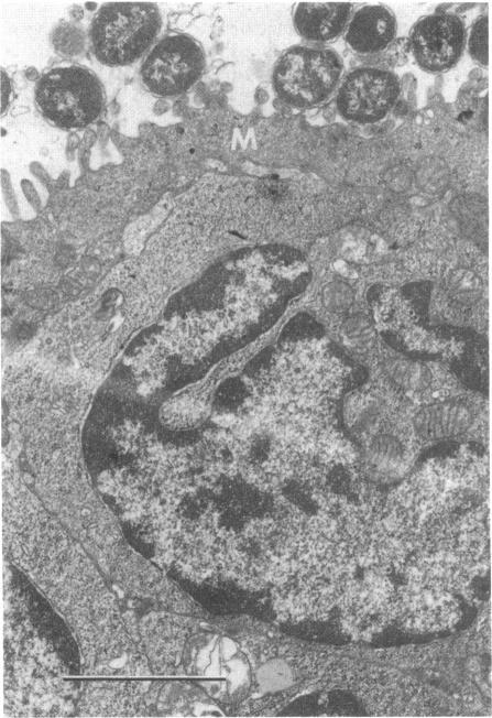
Escherichia coli (strain RDEC-1) adheres to M cells of rabbit Peyer's patch lymphoid follicle epithelium. The RDEC-1 strain contains an 85 X 10(6) D plasmid that codes for pili, which, when purified, adhere to gut absorptive epithelium. This study compared the in vivo lymphoid follicle adherence of the RDEC-1 strain with that of a Shigella flexneri (ShD15) that contained the 85 X 10(6) D plasmid and expressed the RDEC-1 pili, a control E. coli, and a control S. flexneri (ShD12). The bacteria were given in a dose of 10(10) to 0.7-1.1 kg rabbits. The rabbits were sacrificed at 2, 4, 6, and 12 h postinoculation. Peyer's patch tissue was examined by electronmicroscopy and direct fluorescence microscopy. The piliated ShD15 and RDEC-1 bacteria adhered in large numbers at 2 and 4 h postinoculation, but only the RDEC-1 strain persisted and increased in numbers past that time. Control strains did not adhere. The ShD15 strain adhered to and was rapidly taken into M cells, precipitating an acute inflammatory reaction within the follicle and adjacent lumen. Initial lymphoid follicle M cell adherence of the ShD15 strain was associated with the possession of the adherence pilus plasmid. The failure of the ShD15 strain to survive and colonize the lymph follicle epithelium contrasts with the success of the RDEC-1 strain and indicates that the RDEC-1 strain possesses virulence factors in addition to pili.
大肠杆菌(RDEC - 1菌株)可黏附于兔派伊尔结淋巴滤泡上皮的M细胞。RDEC - 1菌株含有一个编码菌毛的85×10⁶D质粒,纯化后的菌毛可黏附于肠道吸收上皮。本研究比较了RDEC - 1菌株与含有85×10⁶D质粒并表达RDEC - 1菌毛的福氏志贺菌(ShD15)、对照大肠杆菌以及对照福氏志贺菌(ShD12)在体内对淋巴滤泡的黏附情况。将细菌以一定剂量给予0.7 - 1.1千克的兔子。在接种后2、4、6和12小时处死兔子。通过电子显微镜和直接荧光显微镜检查派伊尔结组织。有菌毛的ShD15和RDEC - 1细菌在接种后2和4小时大量黏附,但只有RDEC - 1菌株在该时间点之后仍持续存在且数量增加。对照菌株不黏附。ShD15菌株黏附并迅速被M细胞摄取,在滤泡和相邻管腔内引发急性炎症反应。ShD15菌株最初对淋巴滤泡M细胞的黏附与拥有黏附菌毛质粒有关。ShD15菌株未能在淋巴滤泡上皮存活并定殖,这与RDEC - 1菌株的成功形成对比,表明RDEC - 1菌株除菌毛外还拥有毒力因子。