Suppr超能文献

在无血清且补充了激素的培养基中,对从肺癌小细胞癌患者活检获得的肿瘤细胞进行选择性培养。

Selective growth in serum-free hormone-supplemented medium of tumor cells obtained by biopsy from patients with small cell carcinoma of the lung.

作者信息

Carney D N, Bunn P A, Gazdar A F, Pagan J A, Minna J D

出版信息

Proc Natl Acad Sci U S A. 1981 May;78(5):3185-9. doi: 10.1073/pnas.78.5.3185.

Abstract

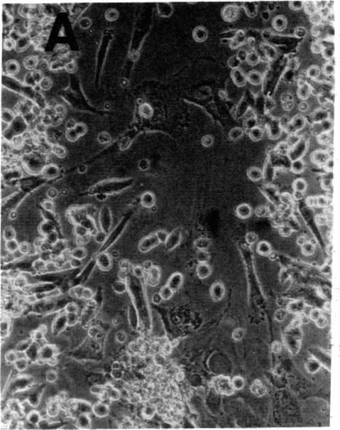
Fifteen tumor-containing specimens were obtained directly from patients with small cell carcinoma of the lung and tested for their ability to grow in serum-supplemented medium and in serum-free medium supplemented with hydrocortisone, insulin, transferrin, estrogen, and selenium (HITES). The tumor cells replicated in 14 of 15 cases (93%) in the HITES medium and in 10 of 15 cases (67%) in the serum-supplemented medium. The neoplastic origin of the cells growing in the HITES medium was confirmed by standard cytologic criteria, by DNA content analysis using flow cytometry, and by their ability to form colonies in agarose and tumors in athymic nude mice. While the tumor cells had very similar morphologies in both media, the serum-free medium did not support the growth of nonmalignant stromal cells, and essentially pure cultures of replicating tumor cells were obtained 7-10 days after plating. The selectivity of the HITES medium was demonstrated by the failure of cells to grow in 20 specimens cytologically negative for small cell carcinoma and in 9 of 10 specimens containing other tumor types (including other types of lung cancer). The results demonstrate that a chemically defined medium, determined by work on tissue culture-adapted human tumor lines, can support the selective growth of tumor specimens obtained directly from patients. Such selective formulas are probably specific for different tumor types and thus could be used for diagnosis, drug sensitivity testing in vitro, and identification of factors regulating tumor growth. All of these have direct application to patient treatment.

摘要

直接从肺癌小细胞癌患者身上获取了15份含肿瘤的标本,并检测了它们在补充血清的培养基以及补充了氢化可的松、胰岛素、转铁蛋白、雌激素和硒(HITES)的无血清培养基中的生长能力。肿瘤细胞在HITES培养基中的15例中有14例(93%)复制,在补充血清的培养基中的15例中有10例(67%)复制。通过标准细胞学标准、使用流式细胞术进行DNA含量分析以及它们在琼脂糖中形成集落和在无胸腺裸鼠中形成肿瘤的能力,证实了在HITES培养基中生长的细胞的肿瘤起源。虽然肿瘤细胞在两种培养基中的形态非常相似,但无血清培养基不支持非恶性基质细胞的生长,接种后7 - 10天获得了基本上是复制肿瘤细胞的纯培养物。细胞在20份细胞学检查为小细胞癌阴性的标本以及10份含有其他肿瘤类型(包括其他类型肺癌)的标本中的9份中不能生长,证明了HITES培养基的选择性。结果表明,通过对适应组织培养的人类肿瘤细胞系的研究确定的化学限定培养基,可以支持直接从患者身上获取的肿瘤标本的选择性生长。这种选择性配方可能对不同肿瘤类型具有特异性,因此可用于诊断、体外药物敏感性测试以及鉴定调节肿瘤生长的因素。所有这些都对患者治疗有直接应用价值。

https://cdn.ncbi.nlm.nih.gov/pmc/blobs/a8b1/319525/35ba1c4eebe0/pnas00656-0561-a.jpg

文献检索

告别复杂PubMed语法,用中文像聊天一样搜索,搜遍4000万医学文献。AI智能推荐,让科研检索更轻松。

立即免费搜索

文件翻译

保留排版,准确专业,支持PDF/Word/PPT等文件格式,支持 12+语言互译。

免费翻译文档

深度研究

AI帮你快速写综述,25分钟生成高质量综述,智能提取关键信息,辅助科研写作。

立即免费体验