Suppr超能文献

自主神经节被膜对辣根过氧化物酶的通透性。

The permeability of the capsule of autonomic ganglia to horseradish peroxidase.

作者信息

Al-Khafaji F A, Anderson P N, Mitchell J, Mayor D

出版信息

J Anat. 1983 Dec;137 ( Pt 4)(Pt 4):675-82.

Abstract

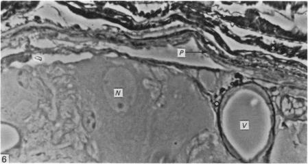
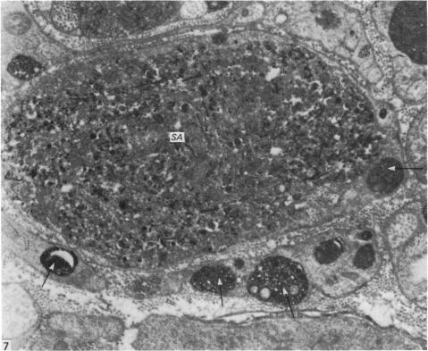
Horseradish peroxidase (HRP) was applied to the capsules of various autonomic ganglia in vivo. The capsules of the inferior mesenteric ganglion and superior cervical ganglion of guinea-pigs and the inferior mesenteric ganglion of mice were readily penetrated by the enzyme. The capsule of the mouse superior cervical ganglion was apparently impermeable to HRP, while that of the guinea-pig lumbar sympathetic trunk was intermediate in permeability, being most readily penetrated by HRP around the blood vessels entering or leaving the ganglia. The results of retrograde transport experiments from the guinea-pig inferior mesenteric ganglion to spinal ganglia are considered in the light of the ready permeability of its capsule.

摘要

将辣根过氧化物酶(HRP)应用于体内各种自主神经节的被膜。豚鼠肠系膜下神经节和颈上神经节以及小鼠肠系膜下神经节的被膜很容易被该酶穿透。小鼠颈上神经节的被膜显然对HRP不可渗透,而豚鼠腰交感干的被膜通透性介于两者之间,在进出神经节的血管周围最容易被HRP穿透。根据豚鼠肠系膜下神经节被膜的易通透性,考虑了从该神经节到脊髓神经节的逆行运输实验结果。

https://cdn.ncbi.nlm.nih.gov/pmc/blobs/459f/1171870/c648fb5dd13b/janat00208-0041-a.jpg

文献检索

告别复杂PubMed语法,用中文像聊天一样搜索,搜遍4000万医学文献。AI智能推荐,让科研检索更轻松。

立即免费搜索

文件翻译

保留排版,准确专业,支持PDF/Word/PPT等文件格式,支持 12+语言互译。

免费翻译文档

深度研究

AI帮你快速写综述,25分钟生成高质量综述,智能提取关键信息,辅助科研写作。

立即免费体验