Suppr超能文献

外周汗腺运动控制机制的本质研究。

Studies on the nature of the peripheral sudomotor control mechanism.

作者信息

Jenkinson D M, Montgomery I, Elder H Y

出版信息

J Anat. 1978 Mar;125(Pt 3):625-39.

Abstract

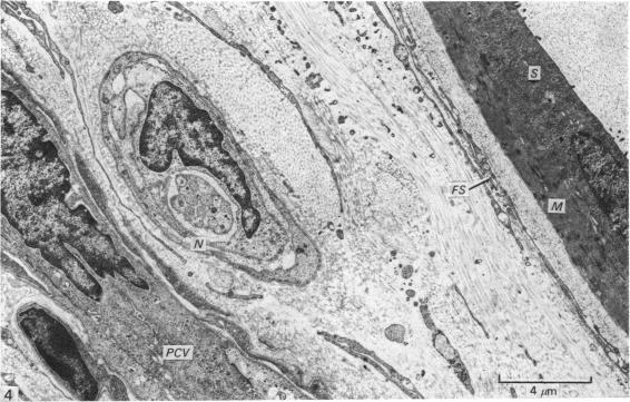
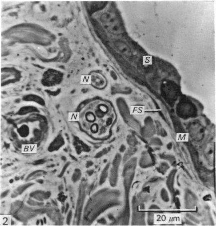
Electron microscopical studies of the sweat glands of the body surface of the cow, sheep, goat and cat demonstrated that there were few nerves or blood vessels near the glands. No varicosities were found within 10 micron of the glands, and the small number of unmyelinated nerve bundles traced were over 1.5 micron from the glandular myoepithelium, and situated outside a fibrocyte sheath surrounding the glands. It was concluded that the sweat glands of these species are not innervated. Unmyelinated nerve fibres were more abundant around, and were closer to, the sweat glands of man, the horse and cat footpads, and varicosities were observed within the fibrocyte sheath close enough to have a direct influence on the glands. It is postulated from the comparative evidence that the basic sudomotor mechanism is the same in all species, involving the action of adrenergic and cholinergic nerves on the cutaneous blood vessels and local catecholamine transfer to the gland; and that in species such as man where the blood supply and sympathetic nerves are in close proximity to the glands, transmitters released at the sympathetic nerve endings, in particular acetylcholine, will, in addition, have a direct action on the glands.

摘要

对牛、羊、山羊和猫体表汗腺的电子显微镜研究表明,腺体附近几乎没有神经或血管。在腺体周围10微米范围内未发现曲张体,追踪到的少数无髓神经束距离腺肌上皮超过1.5微米,且位于围绕腺体的纤维细胞鞘之外。得出的结论是,这些物种的汗腺没有神经支配。无髓神经纤维在人、马和猫脚垫的汗腺周围更丰富且更靠近,并且在纤维细胞鞘内观察到曲张体,其距离近到足以对腺体产生直接影响。从比较证据推测,所有物种的基本发汗机制是相同的,涉及肾上腺素能和胆碱能神经对皮肤血管的作用以及局部儿茶酚胺向腺体的转移;并且在人等物种中,血液供应和交感神经与腺体紧密相邻,交感神经末梢释放的递质,尤其是乙酰胆碱,此外还会对腺体产生直接作用。

https://cdn.ncbi.nlm.nih.gov/pmc/blobs/5568/1235629/f21600cc4ce0/janat00361-0189-a.jpg

文献检索

告别复杂PubMed语法,用中文像聊天一样搜索,搜遍4000万医学文献。AI智能推荐,让科研检索更轻松。

立即免费搜索

文件翻译

保留排版,准确专业,支持PDF/Word/PPT等文件格式,支持 12+语言互译。

免费翻译文档

深度研究

AI帮你快速写综述,25分钟生成高质量综述,智能提取关键信息,辅助科研写作。

立即免费体验