• 文献检索
  • 文档翻译
  • 深度研究
  • 学术资讯
  • Suppr Zotero 插件Zotero 插件
  • 邀请有礼
  • 套餐&价格
  • 历史记录
应用&插件
Suppr Zotero 插件Zotero 插件浏览器插件Mac 客户端Windows 客户端微信小程序
定价
高级版会员购买积分包购买API积分包
服务
文献检索文档翻译深度研究API 文档MCP 服务
关于我们
关于 Suppr公司介绍联系我们用户协议隐私条款
关注我们

Suppr 超能文献

核心技术专利:CN118964589B侵权必究
粤ICP备2023148730 号-1Suppr @ 2026

文献检索

告别复杂PubMed语法,用中文像聊天一样搜索,搜遍4000万医学文献。AI智能推荐,让科研检索更轻松。

立即免费搜索

文件翻译

保留排版,准确专业,支持PDF/Word/PPT等文件格式,支持 12+语言互译。

免费翻译文档

深度研究

AI帮你快速写综述,25分钟生成高质量综述,智能提取关键信息,辅助科研写作。

立即免费体验

基因大鼠模型中的自发性肾病综合征

Spontaneous nephrotic syndrome in a genetic rat model.

作者信息

Abramowsky C R, Aikawa M, Swinehart G L, Snajdar R M

出版信息

Am J Pathol. 1984 Dec;117(3):400-8.

PMID:6507587
原文链接:https://pmc.ncbi.nlm.nih.gov/articles/PMC1900576/
Abstract

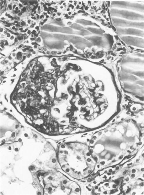
Advances in our understanding of the mechanisms of proteinuria in humans have depended on a variety of animal models. Most of these have been partially satisfactory because they require pretreatment of the animal with chemicals or toxins or they depend on an aging-related glomerular protein leakiness. The strain in this study was obtained by Koletsky after selective inbreeding of the offspring from a hypertensive Kyoto-Wistar and a normotensive Sprague-Dawley rat. The affected animals appear in 25% of the litters, indicating an autosomal recessive gene, and present with a spontaneous and progressive nephrotic syndrome detected as early as 3-5 weeks and associated with obesity, hypertension, hypoalbuminemia, hypercholesterolemia, and hyperlipidemia. Preliminary morphologic and immunofluorescence studies of their kidneys show progressive glomerular segmental sclerotic lesions and prominent mesangial deposition of IgM, a picture which resembles a steroid-resistant form of idiopathic nephrotic syndrome in humans, namely, focal glomerular sclerosis.

摘要

我们对人类蛋白尿机制认识的进展依赖于多种动物模型。其中大多数只是部分令人满意,因为它们需要用化学物质或毒素对动物进行预处理,或者依赖于与衰老相关的肾小球蛋白渗漏。本研究中的品系是科莱茨基通过对一只高血压京都-威斯塔大鼠和一只正常血压的斯普拉格-道利大鼠的后代进行选择性近亲繁殖获得的。受影响的动物出现在25%的窝中,表明是常染色体隐性基因,早在3 - 5周时就出现自发进行性肾病综合征,并伴有肥胖、高血压、低白蛋白血症、高胆固醇血症和高脂血症。对其肾脏进行的初步形态学和免疫荧光研究显示,肾小球逐渐出现节段性硬化病变,IgM在系膜区显著沉积,这一情况类似于人类类固醇抵抗型特发性肾病综合征,即局灶性肾小球硬化。

https://cdn.ncbi.nlm.nih.gov/pmc/blobs/6a99/1900576/ea4ad87570ee/amjpathol00177-0075-a.jpg
https://cdn.ncbi.nlm.nih.gov/pmc/blobs/6a99/1900576/a6c52c475554/amjpathol00177-0071-a.jpg
https://cdn.ncbi.nlm.nih.gov/pmc/blobs/6a99/1900576/e55508f353d9/amjpathol00177-0071-b.jpg
https://cdn.ncbi.nlm.nih.gov/pmc/blobs/6a99/1900576/c2314ad22dc8/amjpathol00177-0072-a.jpg
https://cdn.ncbi.nlm.nih.gov/pmc/blobs/6a99/1900576/62154bdf00d0/amjpathol00177-0073-a.jpg
https://cdn.ncbi.nlm.nih.gov/pmc/blobs/6a99/1900576/ea572b97e094/amjpathol00177-0074-a.jpg
https://cdn.ncbi.nlm.nih.gov/pmc/blobs/6a99/1900576/ea4ad87570ee/amjpathol00177-0075-a.jpg
https://cdn.ncbi.nlm.nih.gov/pmc/blobs/6a99/1900576/a6c52c475554/amjpathol00177-0071-a.jpg
https://cdn.ncbi.nlm.nih.gov/pmc/blobs/6a99/1900576/e55508f353d9/amjpathol00177-0071-b.jpg
https://cdn.ncbi.nlm.nih.gov/pmc/blobs/6a99/1900576/c2314ad22dc8/amjpathol00177-0072-a.jpg
https://cdn.ncbi.nlm.nih.gov/pmc/blobs/6a99/1900576/62154bdf00d0/amjpathol00177-0073-a.jpg
https://cdn.ncbi.nlm.nih.gov/pmc/blobs/6a99/1900576/ea572b97e094/amjpathol00177-0074-a.jpg
https://cdn.ncbi.nlm.nih.gov/pmc/blobs/6a99/1900576/ea4ad87570ee/amjpathol00177-0075-a.jpg

相似文献

1
Spontaneous nephrotic syndrome in a genetic rat model.基因大鼠模型中的自发性肾病综合征
Am J Pathol. 1984 Dec;117(3):400-8.
2
Mesangial lesions and focal glomerular sclerosis in the aging rat.衰老大鼠的系膜病变和局灶性肾小球硬化
Lab Invest. 1975 Nov;33(5):491-501.
3
Nephrotic syndrome induced by dibasic sodium phosphate injections for twenty-eight days in rats.大鼠注射磷酸氢二钠二十八天诱发肾病综合征。
Toxicol Pathol. 2009 Apr;37(3):270-9. doi: 10.1177/0192623309332996. Epub 2009 Feb 24.
4
Nephrotic mice (ICGN strain): a model of diffuse mesangial sclerosis in infantile nephrotic syndrome.
Am J Nephrol. 1999;19(1):73-82. doi: 10.1159/000013430.
5
Mechanisms underlying transition from acute glomerular injury to late glomerular sclerosis in a rat model of nephrotic syndrome.肾病综合征大鼠模型中从急性肾小球损伤转变为晚期肾小球硬化的潜在机制。
J Clin Invest. 1988 Nov;82(5):1757-68. doi: 10.1172/JCI113789.
6
Unilateral renal disease in the rat. I. Clinical, morphologic, and glomerular mesangial functional features of the experimental model produced by renal perfusion with aminonucleoside.大鼠单侧肾脏疾病。I. 用氨基核苷肾灌注所产生的实验模型的临床、形态学及肾小球系膜功能特征
J Lab Clin Med. 1975 May;85(5):756-68.
7
[Glomerular kidney diseases that are associated with a large clinical proteinuria and/or nephrotic syndrome].与大量临床蛋白尿和/或肾病综合征相关的肾小球肾脏疾病
Pol J Pathol. 2011 Jun;62(2 Suppl 1):s32-40.
8
Clinical significance of IgM and C1q deposition in the mesangium in pediatric idiopathic nephrotic syndrome.儿童特发性肾病综合征系膜 IgM 和 C1q 沉积的临床意义。
J Nephrol. 2013 Mar-Apr;26(2):306-14. doi: 10.5301/jn.5000133. Epub 2012 May 17.
9
Ferritin deposition in the glomerular deposits of focal glomerular sclerosis in the rat.铁蛋白在大鼠局灶性节段性肾小球硬化症肾小球沉积物中的沉积。
J Pathol. 1984 Sep;144(1):45-55. doi: 10.1002/path.1711440106.
10
The mesangium in the long-term remnant kidney model.长期残余肾模型中的系膜。
J Lab Clin Med. 1994 Nov;124(5):644-51.

引用本文的文献

1
The experimental model of nephrotic syndrome induced by Doxorubicin in rodents: an update.阿霉素诱导啮齿动物肾病综合征的实验模型:最新进展
Inflamm Res. 2015 May;64(5):287-301. doi: 10.1007/s00011-015-0813-1. Epub 2015 Mar 19.
2
Animal models of nephrotic syndrome.肾病综合征的动物模型。
Pediatr Nephrol. 2013 Nov;28(11):2079-88. doi: 10.1007/s00467-012-2376-5. Epub 2012 Dec 19.
3
Extrarenal effects on the pathogenesis and relapse of idiopathic nephrotic syndrome in Buffalo/Mna rats.肾外因素对布法罗/曼大鼠特发性肾病综合征发病机制及复发的影响

本文引用的文献

1
Glomerular mesangium. Analysis of the increased activity observed in experimental acute aminonucleoside nephrosis in the rat.肾小球系膜。大鼠实验性急性氨基核苷肾病中观察到的活性增加的分析。
Lab Invest. 1981 Nov;45(5):400-9.
2
Uptake and clearance of ferritin by the glomerular mesangium. I. Phagocytosis by mesangial cells and blood monocytes.肾小球系膜对铁蛋白的摄取与清除。I. 系膜细胞和血液单核细胞的吞噬作用。
Lab Invest. 1982 Sep;47(3):296-303.
3
Significance of mesangial IgM deposition in "minimal change" nephrotic syndrome.系膜IgM沉积在“微小病变”肾病综合征中的意义。
J Clin Invest. 2002 Feb;109(4):491-8. doi: 10.1172/JCI12858.
4
Focal segmental glomerular sclerosis, a type of intractable chronic glomerulonephritis, is a stem cell disorder.局灶节段性肾小球硬化是一种难治性慢性肾小球肾炎,属于干细胞疾病。
J Exp Med. 1994 Mar 1;179(3):1053-8. doi: 10.1084/jem.179.3.1053.
5
Focal and segmental glomerulosclerosis following a single intravenous dose of puromycin aminonucleoside.单次静脉注射嘌呤霉素氨基核苷后出现的局灶节段性肾小球硬化
Am J Pathol. 1986 Mar;122(3):481-7.
Lab Invest. 1982 Jan;46(1):10-5.
4
Immunoelectron microscopy of the glomerular mesangial uptake and transport of aggregated human albumin in the mouse.小鼠肾小球系膜对聚集的人白蛋白摄取与转运的免疫电子显微镜观察
Lab Invest. 1980 Jan;42(1):44-58.
5
Role of macrophages in the glomerular mesangial uptake of polyvinyl alcohol in rats.巨噬细胞在大鼠肾小球系膜摄取聚乙烯醇中的作用。
Lab Invest. 1983 Jul;49(1):26-37.
6
Adriamycin-induced nephrotic syndrome in rats: sequence of pathologic events.阿霉素诱导的大鼠肾病综合征:病理事件序列
Lab Invest. 1982 Jan;46(1):16-23.
7
Protein overload nephropathy in rats with unilateral nephrectomy. II. Ultrastructural study.单侧肾切除大鼠的蛋白质超负荷肾病。II. 超微结构研究。
Arch Pathol. 1971 Apr;91(4):372-82.
8
Obese spontaneously hypertensive rats--a model for study of atherosclerosis.
Exp Mol Pathol. 1973 Aug;19(1):53-60. doi: 10.1016/0014-4800(73)90040-3.
9
Studies on the mechanism of the onset of proteinuria in aminonucleoside nephrosis.氨基核苷肾病蛋白尿发病机制的研究。
Lab Invest. 1972 Sep;27(3):310-6.
10
An ultrastructural study of the mechanisms of proteinuria in aminonucleoside nephrosis.
Kidney Int. 1975 Oct;8(4):219-32. doi: 10.1038/ki.1975.105.