• 文献检索
  • 文档翻译
  • 深度研究
  • 学术资讯
  • Suppr Zotero 插件Zotero 插件
  • 邀请有礼
  • 套餐&价格
  • 历史记录
应用&插件
Suppr Zotero 插件Zotero 插件浏览器插件Mac 客户端Windows 客户端微信小程序
定价
高级版会员购买积分包购买API积分包
服务
文献检索文档翻译深度研究API 文档MCP 服务
关于我们
关于 Suppr公司介绍联系我们用户协议隐私条款
关注我们

Suppr 超能文献

核心技术专利:CN118964589B侵权必究
粤ICP备2023148730 号-1Suppr @ 2026

文献检索

告别复杂PubMed语法,用中文像聊天一样搜索,搜遍4000万医学文献。AI智能推荐,让科研检索更轻松。

立即免费搜索

文件翻译

保留排版,准确专业,支持PDF/Word/PPT等文件格式,支持 12+语言互译。

免费翻译文档

深度研究

AI帮你快速写综述,25分钟生成高质量综述,智能提取关键信息,辅助科研写作。

立即免费体验

急性单核细胞白血病的淋巴瘤样表现

Lymphoma-like presentation of acute monocytic leukaemia.

作者信息

Bain B, Manoharan A, Lampert I, McKenzie C, Catovsky D

出版信息

J Clin Pathol. 1983 May;36(5):559-65. doi: 10.1136/jcp.36.5.559.

DOI:10.1136/jcp.36.5.559
PMID:6573336
原文链接:https://pmc.ncbi.nlm.nih.gov/articles/PMC498286/
Abstract

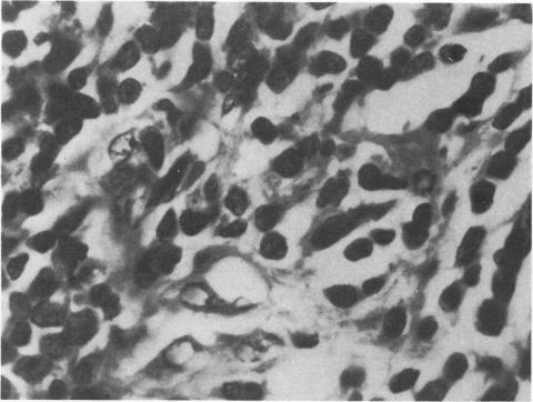
Four patients in whom a diagnosis of acute monocytic leukaemia (M5) was subsequently made presented with extramedullary disease clinically resembling lymphoma. In all patients histological sections were initially misinterpreted as showing malignant lymphoma or anaplastic carcinoma. The diagnosis of M5 leukaemia was subsequently made on the basis of morphological and cytochemical studies of peripheral blood and bone marrow. The histological diagnosis of the soft tissue lesions of M5 leukaemia (monocytic sarcoma) is difficult, although features such as abundant cytoplasm and the presence of some reniform nuclei are helpful. If there is no peripheral blood or bone marrow involvement and only fixed paraffin-embedded tissues are available, demonstration of lysozyme by an immunoperoxidase technique may confirm the diagnosis but results are not invariably positive. An early diagnosis of M5 leukaemia has therapeutic implications since the disease evolves through a progressive leukaemia phase and systemic therapy is essential.

摘要

4例患者临床出现类似淋巴瘤的髓外疾病,随后被诊断为急性单核细胞白血病(M5)。所有患者的组织学切片最初均被误诊为恶性淋巴瘤或间变性癌。随后根据外周血和骨髓的形态学及细胞化学研究确诊为M5白血病。M5白血病软组织病变(单核细胞肉瘤)的组织学诊断困难,尽管丰富的细胞质和一些肾形核等特征有助于诊断。如果没有外周血或骨髓受累,仅有固定的石蜡包埋组织,免疫过氧化物酶技术检测溶菌酶可能有助于确诊,但结果并非总是阳性。M5白血病的早期诊断具有治疗意义,因为该疾病会经历一个进行性白血病阶段,全身治疗至关重要。

https://cdn.ncbi.nlm.nih.gov/pmc/blobs/caaf/498286/e706b6146ed9/jclinpath00510-0074-b.jpg
https://cdn.ncbi.nlm.nih.gov/pmc/blobs/caaf/498286/58a5eefd603c/jclinpath00510-0072-a.jpg
https://cdn.ncbi.nlm.nih.gov/pmc/blobs/caaf/498286/81045d578a43/jclinpath00510-0073-a.jpg
https://cdn.ncbi.nlm.nih.gov/pmc/blobs/caaf/498286/02402ed553be/jclinpath00510-0073-b.jpg
https://cdn.ncbi.nlm.nih.gov/pmc/blobs/caaf/498286/af900f25ee3f/jclinpath00510-0074-a.jpg
https://cdn.ncbi.nlm.nih.gov/pmc/blobs/caaf/498286/e706b6146ed9/jclinpath00510-0074-b.jpg
https://cdn.ncbi.nlm.nih.gov/pmc/blobs/caaf/498286/58a5eefd603c/jclinpath00510-0072-a.jpg
https://cdn.ncbi.nlm.nih.gov/pmc/blobs/caaf/498286/81045d578a43/jclinpath00510-0073-a.jpg
https://cdn.ncbi.nlm.nih.gov/pmc/blobs/caaf/498286/02402ed553be/jclinpath00510-0073-b.jpg
https://cdn.ncbi.nlm.nih.gov/pmc/blobs/caaf/498286/af900f25ee3f/jclinpath00510-0074-a.jpg
https://cdn.ncbi.nlm.nih.gov/pmc/blobs/caaf/498286/e706b6146ed9/jclinpath00510-0074-b.jpg

相似文献

1
Lymphoma-like presentation of acute monocytic leukaemia.急性单核细胞白血病的淋巴瘤样表现
J Clin Pathol. 1983 May;36(5):559-65. doi: 10.1136/jcp.36.5.559.
2
Extramedullary (skin) presentation of acute monocytic leukemia resembling cutaneous lymphoma: morphological and immunological features.急性单核细胞白血病的髓外(皮肤)表现类似皮肤淋巴瘤:形态学和免疫学特征
J Cutan Pathol. 1987 Aug;14(4):232-7. doi: 10.1111/j.1600-0560.1987.tb01339.x.
3
Dermal monocytic sarcoma/monoblastic tumour: report of two cases of acute monocytic leukemia with initial dermal manifestations only.皮肤单核细胞肉瘤/单核母细胞肿瘤:仅以皮肤表现为首发症状的两例急性单核细胞白血病报告。
Pathology. 1986 Apr;18(2):249-53. doi: 10.3109/00313028609059469.
4
Atypical Acute Monocytic Leukemia: a Lymphoma Presentation and Association with Complex Karyotype.非典型急性单核细胞白血病:淋巴瘤表现及与复杂核型的关联。
Ann Clin Lab Sci. 2018 Nov;48(6):805-807.
5
[Extramedullary diseases as presenting features of aleukemic acute monocytic leukemia].
Rinsho Ketsueki. 1992 Nov;33(11):1679-84.
6
Assessment of monocytic component in acute myelomonocytic and monocytic/monoblastic leukemias by a chemiluminescent assay.通过化学发光法评估急性粒单核细胞白血病和单核细胞/单核母细胞白血病中的单核细胞成分。
Hematol J. 2003;4(1):26-30. doi: 10.1038/sj.thj.6200209.
7
Monocytic sarcoma of the sclera.
Acta Haematol. 1984;71(6):407-9. doi: 10.1159/000206627.
8
The value of immunoperoxidase studies in the diagnosis of 2 cases of acute leukaemia.免疫过氧化物酶研究在2例急性白血病诊断中的价值
Scand J Haematol. 1983 Mar;30(3):207-10. doi: 10.1111/j.1600-0609.1983.tb01474.x.
9
The cytochemical beta-glucuronidase reaction in the differential diagnosis of acute leukaemias.细胞化学β-葡萄糖醛酸酶反应在急性白血病鉴别诊断中的应用
Acta Haematol. 1975;53(5):277-84. doi: 10.1159/000208193.
10
[Laboratory diagnosis of acute monocytic leukaemias].[急性单核细胞白血病的实验室诊断]
Quad Sclavo Diagn. 1982 Jun;18(2):215-22.

引用本文的文献

1
Malignant histiocytosis: a case report of a rare tumour presenting with spontaneous splenic rupture.恶性组织细胞增多症:一例以自发性脾破裂为表现的罕见肿瘤病例报告。
J Clin Pathol. 2006 Jul;59(7):770-2. doi: 10.1136/jcp.2005.027870.

本文引用的文献

1
Peanut agglutinin: a new marker for tissue histiocytes.花生凝集素:一种组织组织细胞的新标志物。
Am J Clin Pathol. 1982 Apr;77(4):401-8. doi: 10.1093/ajcp/77.4.401.
2
Enzyme histochemistry on normal and pathologic paraffin-embedded lymphoid tissues.
Am J Clin Pathol. 1981 Dec;76(6):729-36. doi: 10.1093/ajcp/76.6.729.
3
Granulocytic sarcoma: a clinicopathologic study of 61 biopsied cases.粒细胞肉瘤:61例活检病例的临床病理研究
Cancer. 1981 Sep 15;48(6):1426-37. doi: 10.1002/1097-0142(19810915)48:6<1426::aid-cncr2820480626>3.0.co;2-g.
4
The acute monocytic leukemias: multidisciplinary studies in 45 patients.
Medicine (Baltimore). 1980 Nov;59(6):409-25. doi: 10.1097/00005792-198011000-00002.
5
Extramedullary masses as presenting features of acute monoblastic leukemia.髓外肿块作为急性单核细胞白血病的表现特征。
Am J Clin Pathol. 1981 Feb;75(2):140-8. doi: 10.1093/ajcp/75.2.140.
6
Cytochemical markers of differentiation in acute leukemia.急性白血病中分化的细胞化学标志物。
Cancer Res. 1981 Nov;41(11 Pt 2):4824-32.
7
Ultrastructural cytochemistry of leukaemic cells: characterization of the early small granules of monoblasts.
Br J Haematol. 1980 Jun;45(2):201-8. doi: 10.1111/j.1365-2141.1980.tb07139.x.
8
The distribution of muramidase (lysozyme) in human tissues.溶菌酶在人体组织中的分布。
J Clin Pathol. 1975 Feb;28(2):124-32. doi: 10.1136/jcp.28.2.124.
9
Primary gastrointestinal lymphomas: a classification of 66 cases.
Cancer. 1979 May;43(5):1805-9. doi: 10.1002/1097-0142(197905)43:5<1805::aid-cncr2820430534>3.0.co;2-6.
10
Proposals for the classification of the acute leukaemias. French-American-British (FAB) co-operative group.急性白血病分类建议。法美英(FAB)协作组。
Br J Haematol. 1976 Aug;33(4):451-8. doi: 10.1111/j.1365-2141.1976.tb03563.x.