Suppr超能文献

人类膝关节正常和撕裂半月板的超微结构

Ultrastructure of normal and torn menisci of the human knee joint.

作者信息

Ghadially F N, Lalonde J M, Wedge J H

出版信息

J Anat. 1983 Jun;136(Pt 4):773-91.

Abstract

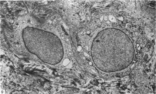
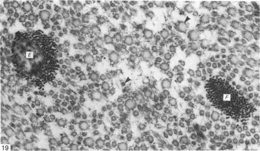
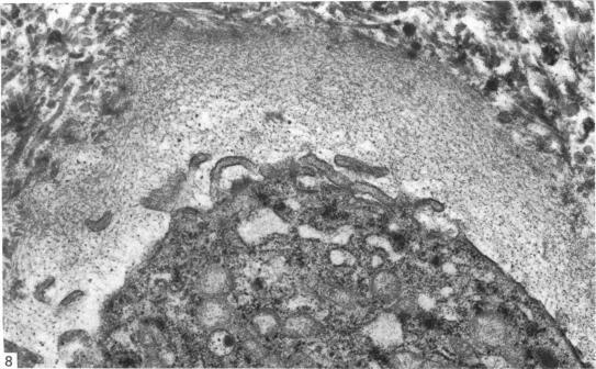
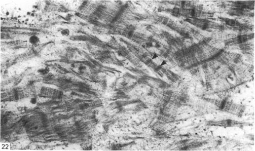
Normal human menisci obtained at autopsy (seven cases) and the injured and uninjured portions of torn menisci obtained at surgery (nine cases) were studied with the electron microscope. The surface of menisci is composed of collagen fibrils surmounted by an electron-dense surface coat. Most of the cells in menisci are chondrocytes but a few fibroblasts and cells of an intermediate form difficult to classify as either fibroblasts or chondrocytes also occur. Mast cells are found at the vascularised periphery of the meniscus. Myofibroblasts were found in the injured portions of menisci in three out of the nine cases studied. A territorial matrix containing fibrils and proteoglycan particles with associated filaments is seen around or adjacent to chondrocytes, but sometimes this matrix is sparse or absent. The interterritorial or general matrix comprises collagen fibrils of widely varying diameters (25-180 nm) set in a sparse interfibrillary matrix containing proteoglycan particles. A few mature elastic fibres and several small or immature elastic fibres and collections of electron-dense filaments are seen in the general matrix. Also seen in this region are calcified bodies and matrical lipidic debris derived by the shedding of cell processes and in situ necrosis of cells. Other features seen in the matrix of the injured portion of the meniscus include: (1) membrane-bound cystic structures; (2) parting and fraying of collagen fibrils; and (3) pools of proteoglycan particles.

摘要

对尸检获得的正常人类半月板(7例)以及手术中获得的撕裂半月板的损伤和未损伤部分(9例)进行了电子显微镜研究。半月板表面由胶原纤维组成,其上方有一层电子致密的表面涂层。半月板中的大多数细胞是软骨细胞,但也有一些成纤维细胞以及难以归类为成纤维细胞或软骨细胞的中间形态细胞。在半月板血管化的周边发现了肥大细胞。在所研究的9例中,有3例在半月板的损伤部分发现了肌成纤维细胞。在软骨细胞周围或附近可见到一个含纤维和蛋白聚糖颗粒以及相关细丝的区域基质,但有时这种基质稀疏或不存在。区域间或一般基质由直径差异很大(25 - 180纳米)的胶原纤维组成,这些纤维分布在含有蛋白聚糖颗粒的稀疏纤维间基质中。在一般基质中可见到一些成熟的弹性纤维、几条小的或不成熟的弹性纤维以及电子致密细丝的聚集物。在该区域还可见到钙化小体以及由细胞突起脱落和细胞原位坏死产生的基质脂质碎片。在半月板损伤部分的基质中还可见到其他特征:(1)膜结合的囊性结构;(2)胶原纤维的分离和磨损;(3)蛋白聚糖颗粒池。

https://cdn.ncbi.nlm.nih.gov/pmc/blobs/e9a1/1171960/aea739e9abfa/janat00212-0099-a.jpg

文献AI研究员

20分钟写一篇综述,助力文献阅读效率提升50倍。

立即体验

用中文搜PubMed

大模型驱动的PubMed中文搜索引擎

马上搜索

文档翻译

学术文献翻译模型,支持多种主流文档格式。

立即体验