Suppr超能文献

海蟾蜍口腔黏膜中的内皮细胞。

Endothelial cells in the oral mucosa of Bufo marinus.

作者信息

Loo S K, Yeo B C, Kovac H

出版信息

J Anat. 1980 May;130(Pt 3):559-69.

Abstract

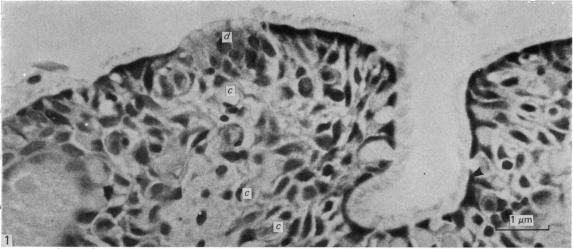
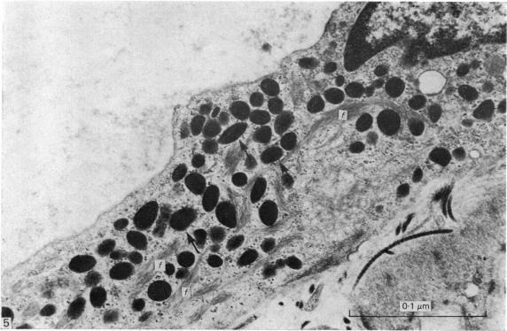
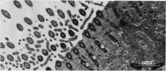
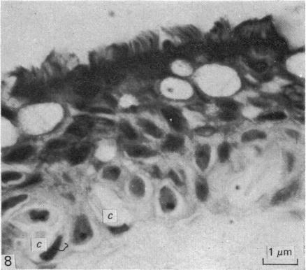
The oral mucosa of the cane toad (Bufo marinus) is lined by a pseudostratified columnar ciliated epithelium containing an intraepithelial network of capillaries, which penetrates it to the bases of the distal layer of cells. The capillaries are lined by fenestrated endothelium lying on a complete basal lamina. A connective tissue sheath, approximately 1 micrometer thick, surrounds the capillaries and separates them from the surrounding epithelial cells. Endothelial cells resemble those in lymphatic capillaries in that they show microvillus-like processes or folds projecting into the lumen and also have extremely attenuated and fenestrated cytoplasm except in the nuclear region. Numerous pinocytotic vesicles, bundles of filaments and many electrondense granules occur in the cytoplasm. These granules are oval or round in shape and approximately 250-400 micrometer in diameter. Histochemical tests on the endothelial cells show that the granules do not contain pigment, as both the Schmorl and argentaffin reactions are negative. Both the Sudan black B and Luxol fast blue reactions are also negative showing the lack of stainable lipids. The formaldehyde-induced fluorescence, the argentaffin reactions and lead haematoxylin reactions are negative, indicating that they do not have the characteristics of endocrine cells. The acid phosphatase reaction gives a positive result, localized to the site of the granules by electron microscopy and suggesting that these granules in amphibian capillaries may have a lysosomal function.

摘要

甘蔗蟾蜍(海蟾蜍,Bufo marinus)的口腔黏膜由假复层柱状纤毛上皮构成,其中含有一个上皮内毛细血管网络,该网络贯穿上皮直至远端细胞层的基部。毛细血管由位于完整基膜上的有孔内皮细胞衬里。一层约1微米厚的结缔组织鞘围绕着毛细血管,将它们与周围的上皮细胞分隔开来。内皮细胞与淋巴毛细血管中的内皮细胞相似,它们有微绒毛样突起或褶皱伸向管腔,除核区域外,细胞质极度变薄且有孔。细胞质中有许多吞饮小泡、成束的细丝和许多电子致密颗粒。这些颗粒呈椭圆形或圆形,直径约250 - 400微米。对内皮细胞的组织化学检测表明,这些颗粒不含色素,因为施莫尔反应和嗜银反应均为阴性。苏丹黑B反应和卢克斯奥尔坚牢蓝反应也为阴性,表明不存在可染色的脂质。甲醛诱导荧光、嗜银反应和铅苏木精反应均为阴性,表明它们不具备内分泌细胞的特征。酸性磷酸酶反应呈阳性,通过电子显微镜定位在颗粒部位,提示两栖类毛细血管中的这些颗粒可能具有溶酶体功能。

https://cdn.ncbi.nlm.nih.gov/pmc/blobs/bab1/1233174/9ae846360cde/janat00235-0113-a.jpg

文献AI研究员

20分钟写一篇综述,助力文献阅读效率提升50倍。

立即体验

用中文搜PubMed

大模型驱动的PubMed中文搜索引擎

马上搜索

文档翻译

学术文献翻译模型,支持多种主流文档格式。

立即体验