Suppr超能文献

三(羟甲基)氨基甲烷和钙离子载体对牛甲状旁腺组织中甲状旁腺素原生物合成以及甲状旁腺素形成和降解的影响。

The effects of tris(hydroxymethyl)aminomethane and calcium ionophores on the biosynthesis of proparathormone and the formation and degradation of parathormone in bovine parathyroid tissue.

作者信息

McGregor D H, Morrissey J J, Cohn D V

出版信息

Am J Pathol. 1981 Mar;102(3):336-45.

Abstract

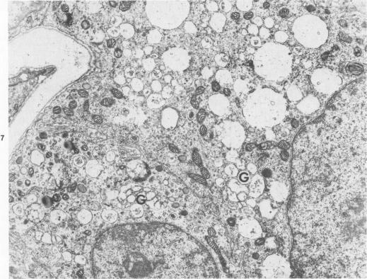
A comparative study of ultrastructural and biochemical effects of Tris and ionophores X537A and A23187 on bovine parathyroid tissue is presented. When parathyroid slices were incubated with 3H-leucine and 3H-lysine for 10 minutes alone or with Tris (50 mM), A23187 (9.5-19 microM) or X537A (8.5-17 microM), the incorporation of the amino acids into radioactive proparathormone (proPTH) was similar, indicating that biosynthesis of the hormone was not affected. After 120 minutes of incubation, however, Tris inhibited the conversion of proPTH to parathormone (PTH), judged by a decrease in cellular and secreted radioactive PTH and a corresponding increase in radioactive cellular proPTH. These changes were accompanied by marked dilatation of Golgi membranes. With both concentrations of A23187 and the low concentration of X537A there were no changes in amounts of radioactive proPTH, moderate decreases in cellular and secreted radioactive PTH, and little discernible distension of the Golgi membranes. At 17 microM X537A there was moderate increase in amount of radioactive proPTH, a marked decrease in amount of radioactive PTH and swelling of the Golgi membranes. Taken together, these findings suggest that Tris inhibited conversion of proPTH to PTH by disrupting the Golgi zone-the site of conversion of proPTH to PTH; that A23187 and the low concentration of X537A decreased production of PTH by enhancing its degradation; and that X537A at the higher concentration acted both by inhibiting conversion of proPTH to PTH and by enhancing the degradation of PTH.

摘要

本文介绍了Tris以及离子载体X537A和A23187对牛甲状旁腺组织超微结构和生化作用的比较研究。当甲状旁腺切片单独与3H-亮氨酸和3H-赖氨酸孵育10分钟,或与Tris(50 mM)、A23187(9.5 - 19 microM)或X537A(8.5 - 17 microM)一起孵育时,氨基酸掺入放射性前甲状旁腺激素(proPTH)的情况相似,这表明激素的生物合成未受影响。然而,孵育120分钟后,通过细胞内和分泌的放射性甲状旁腺激素(PTH)减少以及放射性细胞内proPTH相应增加来判断,Tris抑制了proPTH向甲状旁腺激素(PTH)的转化。这些变化伴随着高尔基体膜的明显扩张。使用两种浓度的A23187以及低浓度的X537A时,放射性proPTH的量没有变化,细胞内和分泌的放射性PTH适度减少,高尔基体膜几乎没有明显扩张。在17 microM X537A时,放射性proPTH的量适度增加,放射性PTH的量显著减少,高尔基体膜肿胀。综上所述,这些发现表明,Tris通过破坏高尔基体区域(proPTH转化为PTH的部位)来抑制proPTH向PTH的转化;A23187和低浓度的X537A通过增强PTH的降解来减少PTH的产生;而高浓度的X537A则通过抑制proPTH向PTH的转化以及增强PTH的降解来发挥作用。

https://cdn.ncbi.nlm.nih.gov/pmc/blobs/0af1/1903717/f8080887d4a8/amjpathol00222-0046-a.jpg

文献检索

告别复杂PubMed语法,用中文像聊天一样搜索,搜遍4000万医学文献。AI智能推荐,让科研检索更轻松。

立即免费搜索

文件翻译

保留排版,准确专业,支持PDF/Word/PPT等文件格式,支持 12+语言互译。

免费翻译文档

深度研究

AI帮你快速写综述,25分钟生成高质量综述,智能提取关键信息,辅助科研写作。

立即免费体验