• 文献检索
  • 文档翻译
  • 深度研究
  • 学术资讯
  • Suppr Zotero 插件Zotero 插件
  • 邀请有礼
  • 套餐&价格
  • 历史记录
应用&插件
Suppr Zotero 插件Zotero 插件浏览器插件Mac 客户端Windows 客户端微信小程序
定价
高级版会员购买积分包购买API积分包
服务
文献检索文档翻译深度研究API 文档MCP 服务
关于我们
关于 Suppr公司介绍联系我们用户协议隐私条款
关注我们

Suppr 超能文献

核心技术专利:CN118964589B侵权必究
粤ICP备2023148730 号-1Suppr @ 2026

文献检索

告别复杂PubMed语法,用中文像聊天一样搜索,搜遍4000万医学文献。AI智能推荐,让科研检索更轻松。

立即免费搜索

文件翻译

保留排版,准确专业,支持PDF/Word/PPT等文件格式,支持 12+语言互译。

免费翻译文档

深度研究

AI帮你快速写综述,25分钟生成高质量综述,智能提取关键信息,辅助科研写作。

立即免费体验

N-乙基-N-亚硝基脲诱导的大鼠乳腺肿瘤的特征

Characterization of N-ethyl-N-nitrosourea--induced mammary tumors in the rat.

作者信息

Stoica G, Koestner A, Capen C C

出版信息

Am J Pathol. 1983 Feb;110(2):161-9.

PMID:6824063
原文链接:https://pmc.ncbi.nlm.nih.gov/articles/PMC1916139/
Abstract

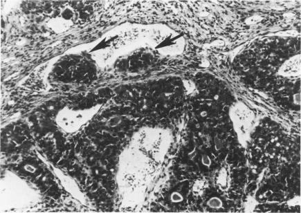
A single intraperitoneal inoculation of 180 mg/kg N-ethyl-N-nitrosourea (ENU) into 30-day-old outbred Sprague-Dawley (CD) rats resulted in an 90% incidence of mammary tumors (MTs) after an average latent period of 93 days, with an 85% rate of malignancy. The incidence, induction period, number of tumors per rats, and the rate of malignancy were reduced in rats ovariectomized prior to or shortly after (5 days) ENU exposure. Over 70% of the ENU-induced MTs regressed following ovarioectomy. The malignant MTs developed from nodules located in the terminal end buds (TEB), which are believed to contain the most susceptible cell population for chemical carcinogens. The serum calcium was elevated above control values in 92% of intact rats evaluated with MTs in the absence of bone metastases. No correlation was demonstrated between the volume of MTs or total number of MTs and the serum calcium level. The ENU-induced MT is a reproducible animal model that can be used in the investigation of the early changes in mammary cells (especially TEB) and the interrelationships between the carcinogen and ovarian hormones associated with neoplastic transformation.

摘要

对30日龄的远交群斯普拉格-道利(CD)大鼠进行单次腹腔注射180毫克/千克的N-乙基-N-亚硝基脲(ENU),平均潜伏期93天后,乳腺肿瘤(MTs)的发病率为90%,恶性率为85%。在ENU暴露前或暴露后不久(5天)进行卵巢切除的大鼠中,MTs的发病率、诱导期、每只大鼠的肿瘤数量以及恶性率均有所降低。超过70%的ENU诱导的MTs在卵巢切除后消退。恶性MTs由位于终末芽(TEB)的结节发展而来,据信TEB包含对化学致癌物最敏感的细胞群体。在没有骨转移的情况下,92%患有MTs的完整大鼠血清钙升高至对照值以上。MTs的体积或MTs总数与血清钙水平之间未显示出相关性。ENU诱导的MT是一种可重复的动物模型,可用于研究乳腺细胞(尤其是TEB)的早期变化以及致癌物与卵巢激素之间与肿瘤转化相关的相互关系。

https://cdn.ncbi.nlm.nih.gov/pmc/blobs/2e75/1916139/db5fb95e20df/amjpathol00197-0066-b.jpg
https://cdn.ncbi.nlm.nih.gov/pmc/blobs/2e75/1916139/49e19aadb259/amjpathol00197-0064-a.jpg
https://cdn.ncbi.nlm.nih.gov/pmc/blobs/2e75/1916139/32e2301010f2/amjpathol00197-0065-a.jpg
https://cdn.ncbi.nlm.nih.gov/pmc/blobs/2e75/1916139/896ff95246e6/amjpathol00197-0065-b.jpg
https://cdn.ncbi.nlm.nih.gov/pmc/blobs/2e75/1916139/916ad744a11a/amjpathol00197-0066-a.jpg
https://cdn.ncbi.nlm.nih.gov/pmc/blobs/2e75/1916139/db5fb95e20df/amjpathol00197-0066-b.jpg
https://cdn.ncbi.nlm.nih.gov/pmc/blobs/2e75/1916139/49e19aadb259/amjpathol00197-0064-a.jpg
https://cdn.ncbi.nlm.nih.gov/pmc/blobs/2e75/1916139/32e2301010f2/amjpathol00197-0065-a.jpg
https://cdn.ncbi.nlm.nih.gov/pmc/blobs/2e75/1916139/896ff95246e6/amjpathol00197-0065-b.jpg
https://cdn.ncbi.nlm.nih.gov/pmc/blobs/2e75/1916139/916ad744a11a/amjpathol00197-0066-a.jpg
https://cdn.ncbi.nlm.nih.gov/pmc/blobs/2e75/1916139/db5fb95e20df/amjpathol00197-0066-b.jpg

相似文献

1
Characterization of N-ethyl-N-nitrosourea--induced mammary tumors in the rat.N-乙基-N-亚硝基脲诱导的大鼠乳腺肿瘤的特征
Am J Pathol. 1983 Feb;110(2):161-9.
2
Neoplasms induced with high single doses of N-ethyl-N-nitrosourea in 30-day-old Sprague-Dawley rats, with special emphasis on mammary neoplasia.用高单剂量N-乙基-N-亚硝基脲诱导30日龄斯普拉格-道利大鼠产生的肿瘤,特别关注乳腺肿瘤。
Anticancer Res. 1984 Jan-Apr;4(1-2):5-12.
3
Enhanced development of mammary tumors in rats following transplacental and neonatal exposure to ethylnitrosourea.经胎盘和新生儿期暴露于乙基亚硝基脲后大鼠乳腺肿瘤的发育增强。
Cancer Res. 1978 Oct;38(10):3182-5.
4
Diverse spectrum of tumors in male Sprague-Dawley rats following single high doses of N-ethyl-N-nitrosourea (ENU).单次高剂量给予N-乙基-N-亚硝基脲(ENU)后雄性斯普拉格-道利大鼠出现的多种肿瘤谱
Am J Pathol. 1984 Aug;116(2):319-26.
5
Neural, pituitary, and mammary tumors in Sprague-Dawley rats treated with X irradiation to the head and N-Ethyl-N-nitrosourea (ENU) during the early postnatal period: a statistical study of tumor incidence and survival.对出生后早期的斯普拉格-道利大鼠头部进行X射线照射并给予N-乙基-N-亚硝基脲(ENU)后,其神经、垂体和乳腺肿瘤的研究:肿瘤发生率和存活率的统计分析
Radiat Res. 1985 Mar;101(3):460-72.
6
N-nitrosomethylurea as mammary gland carcinogen in rats.N-亚硝基甲基脲作为大鼠乳腺致癌物
J Natl Cancer Inst. 1975 Feb;54(2):401-14.
7
DNA damage, repair, replication, and tumor incidence in the BDIV rat strain following administration of N-ethyl-N-nitrosourea.
Anticancer Res. 1986 Jan-Feb;6(1):49-54.
8
ENU-induced in vitro neoplastic transformation of rat mammary epithelial cells.ENU诱导的大鼠乳腺上皮细胞体外肿瘤转化
Anticancer Res. 1991 Sep-Oct;11(5):1783-92.
9
[Modifying effects of pregnancy and lactation on the structure of N-methyl-N-nitrosourea-induced tumors of the mammary glands in rats].[妊娠和哺乳期对N-甲基-N-亚硝基脲诱导的大鼠乳腺肿瘤结构的修饰作用]
Vopr Onkol. 1990;36(12):1461-5.
10
Role of prolactin in rat mammary carcinogenesis: detection of carcinogenicity of low-dose carcinogens and of persisting dormant cancer cells.
J Natl Cancer Inst. 1977 Jun;58(6):1777-83. doi: 10.1093/jnci/58.6.1777.

引用本文的文献

1
Advances in Immunocompetent Mouse and Rat Models.免疫活性小鼠和大鼠模型的进展
Cold Spring Harb Perspect Med. 2024 Mar 1;14(3):a041328. doi: 10.1101/cshperspect.a041328.
2
Mammary tumors in Sprague Dawley rats induced by N-ethyl-N-nitrosourea for evaluating terahertz imaging of breast cancer.用N-乙基-N-亚硝基脲诱导的斯普拉格-道利大鼠乳腺肿瘤,用于评估乳腺癌的太赫兹成像。
J Med Imaging (Bellingham). 2021 Mar;8(2):023504. doi: 10.1117/1.JMI.8.2.023504. Epub 2021 Apr 26.
3
Animal Models of Cancer-Associated Hypercalcemia.癌症相关高钙血症的动物模型

本文引用的文献

1
CARCINOGENESIS OF MAMMARY GLAND IN RAT.大鼠乳腺的致癌作用
Prog Exp Tumor Res. 1964;5:157-216. doi: 10.1159/000385999.
2
THERAPEUTIC CASTRATION IN THE TREATMENT OF ADVANCED BREAST CANCER.治疗晚期乳腺癌的去势治疗
Cancer. 1964 Sep;17:1197-202. doi: 10.1002/1097-0142(196409)17:9<1197::aid-cncr2820170916>3.0.co;2-t.
3
Mast cells and sarcoma growth in the rat.大鼠体内肥大细胞与肉瘤生长
Vet Sci. 2017 Apr 13;4(2):21. doi: 10.3390/vetsci4020021.
4
Animal Models of Bone Metastasis.骨转移的动物模型
Vet Pathol. 2015 Sep;52(5):827-41. doi: 10.1177/0300985815586223. Epub 2015 May 28.
5
N-nitroso-N-ethylurea activates DNA damage surveillance pathways and induces transformation in mammalian cells.N-亚硝基-N-乙基脲激活DNA损伤监测途径并诱导哺乳动物细胞发生转化。
BMC Cancer. 2014 Apr 24;14:287. doi: 10.1186/1471-2407-14-287.
6
Automating tumor classification with pixel-by-pixel contrast-enhanced ultrasound perfusion kinetics.利用逐像素对比增强超声灌注动力学实现肿瘤分类自动化。
J Vac Sci Technol B Nanotechnol Microelectron. 2012 Mar;30(2):2C103. doi: 10.1116/1.3692962. Epub 2012 Mar 22.
7
Animal models of bone metastasis.骨转移的动物模型
Cancer Treat Res. 2004;118:47-81. doi: 10.1007/978-1-4419-9129-4_3.
8
Fast repair of O6-ethylguanine, but not O6-methylguanine, in transcribed genes prevents mutation of H-ras in rat mammary tumorigenesis induced by ethylnitrosourea in place of methylnitrosourea.在转录基因中,O6-乙基鸟嘌呤而非O6-甲基鸟嘌呤的快速修复可防止在乙基亚硝基脲而非甲基亚硝基脲诱导的大鼠乳腺肿瘤发生过程中H-ras发生突变。
Proc Natl Acad Sci U S A. 1998 Feb 17;95(4):1635-40. doi: 10.1073/pnas.95.4.1635.
9
Characterization of brain and bone-metastasizing clones selected from an ethylnitrosourea-induced rat mammary carcinoma.从乙基亚硝基脲诱导的大鼠乳腺癌中筛选出的脑和骨转移克隆的特征分析。
Clin Exp Metastasis. 1994 Jul;12(4):283-95. doi: 10.1007/BF01753835.
10
Diverse spectrum of tumors in male Sprague-Dawley rats following single high doses of N-ethyl-N-nitrosourea (ENU).单次高剂量给予N-乙基-N-亚硝基脲(ENU)后雄性斯普拉格-道利大鼠出现的多种肿瘤谱
Am J Pathol. 1984 Aug;116(2):319-26.
Cancer Res. 1958 Sep;18(8 Part 1):927-31.
4
[Relation between mast cells and tumor cells in ascites hepatoma and Takeda sarcoma].[腹水型肝癌和武田肉瘤中肥大细胞与肿瘤细胞的关系]
Gan. 1955 Sep;46(2-3):397-8.
5
Mammary tumor induction in male and female Sprague-Dawley rats by adriamycin and daunomycin.阿霉素和柔红霉素对雄性和雌性斯普拉格-道利大鼠乳腺肿瘤的诱导作用。
J Natl Cancer Inst. 1981 Jan;66(1):81-4.
6
N-methyl-N-nitrosourea-induced rat mammary tumors. Hormone responsiveness but lack of spontaneous metastasis.N-甲基-N-亚硝基脲诱导的大鼠乳腺肿瘤。激素反应性但无自发转移。
J Natl Cancer Inst. 1981 Jan;66(1):147-55.
7
Susceptibility of the mammary gland to carcinogenesis. II. Pregnancy interruption as a risk factor in tumor incidence.乳腺对致癌作用的易感性。II. 妊娠中断作为肿瘤发生率的一个风险因素。
Am J Pathol. 1980 Aug;100(2):497-512.
8
Estrogen receptors in male breast cancer: clinical and pathologic correlations.男性乳腺癌中的雌激素受体:临床与病理相关性
Cancer. 1981 Jan 1;47(1):134-7. doi: 10.1002/1097-0142(19810101)47:1<134::aid-cncr2820470122>3.0.co;2-m.
9
Hyperplastic lesions in the mammary glands of Sprague-Dawley rats after 7,12-dimethyl-benz[a]anthracene treatment.经7,12-二甲基苯并[a]蒽处理后Sprague-Dawley大鼠乳腺中的增生性病变。
J Natl Cancer Inst. 1967 Sep;39(3):423-9.
10
Development of spontaneous mammary tumors over the life-span of the female Charles River (Sprague-Dawley) rat: the influence of ovariectomy, thyroidectomy, and adrenalectomy-ovariectomy.雌性查尔斯河(斯普拉格-道利)大鼠一生中自发性乳腺肿瘤的发生:卵巢切除术、甲状腺切除术和肾上腺切除术-卵巢切除术的影响。
Cancer Res. 1966 Mar;26(3):400-11.