• 文献检索
  • 文档翻译
  • 深度研究
  • 学术资讯
  • Suppr Zotero 插件Zotero 插件
  • 邀请有礼
  • 套餐&价格
  • 历史记录
应用&插件
Suppr Zotero 插件Zotero 插件浏览器插件Mac 客户端Windows 客户端微信小程序
定价
高级版会员购买积分包购买API积分包
服务
文献检索文档翻译深度研究API 文档MCP 服务
关于我们
关于 Suppr公司介绍联系我们用户协议隐私条款
关注我们

Suppr 超能文献

核心技术专利:CN118964589B侵权必究
粤ICP备2023148730 号-1Suppr @ 2026

文献检索

告别复杂PubMed语法,用中文像聊天一样搜索,搜遍4000万医学文献。AI智能推荐,让科研检索更轻松。

立即免费搜索

文件翻译

保留排版,准确专业,支持PDF/Word/PPT等文件格式,支持 12+语言互译。

免费翻译文档

深度研究

AI帮你快速写综述,25分钟生成高质量综述,智能提取关键信息,辅助科研写作。

立即免费体验

原发性子宫内膜和宫颈腹股沟肉芽肿(杜诺凡病)。病例报告。

Primary endometrial and endocervical granuloma inguinale (donovanosis). Case report.

作者信息

Scrimgeour E M, Sengupta S K, McGoldrick I A

出版信息

Br J Vener Dis. 1983 Jun;59(3):198-201. doi: 10.1136/sti.59.3.198.

DOI:10.1136/sti.59.3.198
PMID:6850268
原文链接:https://pmc.ncbi.nlm.nih.gov/articles/PMC1046177/
Abstract

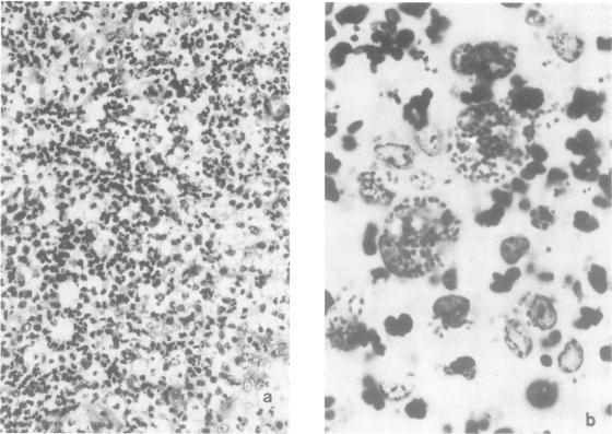
Primary endometrial and endocervical granuloma inguinale (donovanosis) was diagnosed in an 18-year-old Melanesian woman in Papua New Guinea. Granulomatous involvement of the parametrium, salpinges, ovaries, and ureters was associated with ureteric obstruction and bilateral hydronephrosis. Granuloma inguinale of the cervix, labia majora, and anus developed after diagnostic endometrial curettage. Treatment with tetracycline and later chloramphenicol had to be stopped because of poor patient compliance. Hysterectomy was performed, after which the patient made a good recovery. This appears to be the first case of primary endometrial and endocervical granuloma inguinale to be reported.

摘要

在巴布亚新几内亚,一名18岁的美拉尼西亚女性被诊断为原发性子宫内膜和宫颈腹股沟肉芽肿(杜诺凡病)。子宫旁组织、输卵管、卵巢和输尿管的肉芽肿累及与输尿管梗阻和双侧肾积水有关。诊断性刮宫术后,宫颈、大阴唇和肛门出现腹股沟肉芽肿。由于患者依从性差,不得不停止使用四环素以及后来的氯霉素治疗。患者接受了子宫切除术,术后恢复良好。这似乎是首例原发性子宫内膜和宫颈腹股沟肉芽肿的报道病例。

https://cdn.ncbi.nlm.nih.gov/pmc/blobs/5d13/1046177/7a1fb10b7019/brjvendis00009-0056-a.jpg
https://cdn.ncbi.nlm.nih.gov/pmc/blobs/5d13/1046177/7a1fb10b7019/brjvendis00009-0056-a.jpg
https://cdn.ncbi.nlm.nih.gov/pmc/blobs/5d13/1046177/7a1fb10b7019/brjvendis00009-0056-a.jpg

相似文献

1
Primary endometrial and endocervical granuloma inguinale (donovanosis). Case report.原发性子宫内膜和宫颈腹股沟肉芽肿(杜诺凡病)。病例报告。
Br J Vener Dis. 1983 Jun;59(3):198-201. doi: 10.1136/sti.59.3.198.
2
Donovanosis affecting cervix, uterus, and adnexae.
Am J Trop Med Hyg. 1984 Jul;33(4):632-6. doi: 10.4269/ajtmh.1984.33.632.
3
Granuloma inguinale (donovanosis) in women.女性腹股沟肉芽肿(杜诺凡病)。
J Reprod Med. 1988 Aug;33(8):709-13.
4
Granuloma inguinale (donovanosis): an unusual cause of otitis media and mastoiditis in children.腹股沟肉芽肿(杜诺凡病):儿童中耳炎和乳突炎的罕见病因。
Am J Clin Pathol. 1997 Nov;108(5):510-4. doi: 10.1093/ajcp/108.5.510.
5
Disseminated donovanosis (granuloma inguinale) causing spinal cord compression: case report and review of donovanosis involving bone.播散性杜诺凡病(腹股沟肉芽肿)导致脊髓受压:病例报告及杜诺凡病累及骨骼的文献复习
Clin Infect Dis. 1998 Feb;26(2):379-83. doi: 10.1086/516327.
6
Disseminated donovanosis (granuloma inguinale) with osteomyelitis of both wrists.播散性杜诺凡病(腹股沟肉芽肿)伴双侧腕骨髓炎。
West Indian Med J. 2002 Sep;51(3):194-6.
7
Granuloma venereum.性病性肉芽肿
J Clin Pathol. 1972 Sep;25(9):812-6. doi: 10.1136/jcp.25.9.812.
8
Donovanosis (granuloma inguinale) of the oral cavity.口腔性病性肉芽肿(腹股沟肉芽肿)
Br J Vener Dis. 1975 Apr;51(2):136-7. doi: 10.1136/sti.51.2.136.
9
The diagnosis and treatment of donovanosis (granuloma inguinale).杜诺凡病(腹股沟肉芽肿)的诊断与治疗
Genitourin Med. 1991 Dec;67(6):441-52. doi: 10.1136/sti.67.6.441.
10
Granuloma inguinale of cervical lymph nodes simulating tuberculous lymphadenitis: two case reports and review of published reports.
Genitourin Med. 1988 Oct;64(5):339-43. doi: 10.1136/sti.64.5.339.

引用本文的文献

1
Extragenital donovanosis: three cases from Western Australia.生殖器外皮肤利什曼病:来自西澳大利亚的三例病例
Genitourin Med. 1986 Jun;62(3):196-201. doi: 10.1136/sti.62.3.196.
2
The diagnosis and treatment of donovanosis (granuloma inguinale).杜诺凡病(腹股沟肉芽肿)的诊断与治疗
Genitourin Med. 1991 Dec;67(6):441-52. doi: 10.1136/sti.67.6.441.

本文引用的文献

1
Granuloma inguinale with hematogenous dissemination to the spine.腹股沟肉芽肿血行播散至脊柱。
JAMA. 1961 May 13;176:530-2. doi: 10.1001/jama.1961.63040190012016c.
2
Squamous cell carcinoma of the vulva secondary to granuloma inguinale.腹股沟肉芽肿继发的外阴鳞状细胞癌
AMA Arch Derm Syphilol. 1953 Apr;67(4):395-402. doi: 10.1001/archderm.1953.01540040053008.
3
Studies on granuloma inguinale. II. The complement fixation test in the diagnosis of granuloma inguinale.
Am J Syph Gonorrhea Vener Dis. 1953 Jan;37(1):71-6.
4
Granuloma inguinale (donovanosis).
Sex Transm Dis. 1980 Jan-Mar;7(1):29-36. doi: 10.1097/00007435-198001000-00009.
5
Anogenital lesions in women in Papua New Guinea.巴布亚新几内亚女性的肛门生殖器病变
P N G Med J. 1980 Jun;23(2):70-3.
6
Tropical gynaecology. Ulcerative and hypertrophic lesions of the vulva.热带妇科学。外阴溃疡性和肥厚性病变。
Proc R Soc Med. 1968 Apr;61(4):363-5. doi: 10.1177/003591576806100422.
7
Epidemiological and clinical features in 165 cases of granuloma inguinale.165例腹股沟肉芽肿的流行病学及临床特征
Br J Vener Dis. 1970 Dec;46(6):461-3. doi: 10.1136/sti.46.6.461.
8
Granuloma venereum.性病性肉芽肿
J Clin Pathol. 1972 Sep;25(9):812-6. doi: 10.1136/jcp.25.9.812.
9
Granuloma inguinale. A clinical, histological and ultrastructural study.
JAMA. 1970 Jan 26;211(4):632-6. doi: 10.1001/jama.211.4.632.
10
Granuloma inguinale simulating advanced pelvic cancer.
Med J Aust. 1976 Dec 4;2(23):869, 872-3. doi: 10.5694/j.1326-5377.1976.tb115449.x.