Suppr超能文献

用含镧溶液显示胎鼠皮肤上皮的通透性。

The permeability of the epithelium of the skin of fetal rats demonstrated with a lanthanum-containing solution.

作者信息

Hayward A F

出版信息

J Anat. 1983 Mar;136(Pt 2):379-88.

Abstract

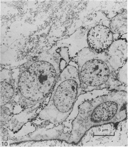
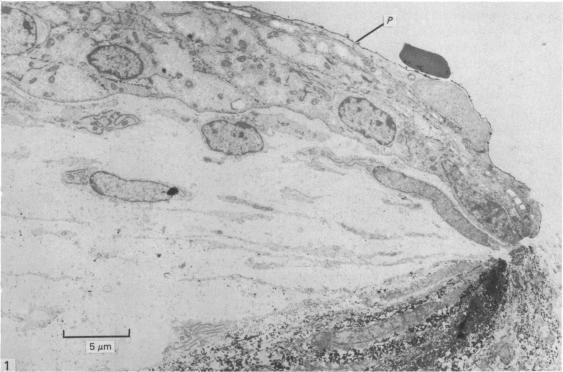
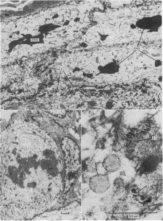
The permeability of the skin of fetal rats between 14 and 21 days of intrauterine life was investigated by injecting lanthanum nitrate solution subepidermally and by exposing the external surface of other fetuses to the same solution. Up to the age of 18 days, the epidermis was freely permeable from the basal surface and lanthanum entered junctional complexes between periderm cells. After 18 days, the limit of permeation corresponded to the level at which membrane-coating granules were released into the intercellular spaces. At all ages, permeation from the outer surface was limited to the junctional complexes between the periderm cells covering the epidermis throughout fetal life. Damage to the periderm at early ages resulted in complete penetration of the epidermis by lanthanum. It was concluded that, prior to secretion of the epidermal permeability barrier at 18 days, the periderm was the principal barrier to permeation by lanthanum.

摘要

通过皮下注射硝酸镧溶液以及将其他胎儿的外表面暴露于相同溶液中,研究了宫内生活14至21天的胎鼠皮肤的通透性。在18天龄之前,表皮从基底表面自由通透,镧进入周皮细胞之间的连接复合体。18天后,渗透极限对应于膜包被颗粒释放到细胞间隙的水平。在所有年龄段,从外表面的渗透仅限于整个胎儿期覆盖表皮的周皮细胞之间的连接复合体。早期周皮受损会导致镧完全穿透表皮。得出的结论是,在18天表皮通透性屏障分泌之前,周皮是镧渗透的主要屏障。

https://cdn.ncbi.nlm.nih.gov/pmc/blobs/fa02/1170983/f28519e8d846/janat00210-0151-a.jpg

文献检索

告别复杂PubMed语法,用中文像聊天一样搜索,搜遍4000万医学文献。AI智能推荐,让科研检索更轻松。

立即免费搜索

文件翻译

保留排版,准确专业,支持PDF/Word/PPT等文件格式,支持 12+语言互译。

免费翻译文档

深度研究

AI帮你快速写综述,25分钟生成高质量综述,智能提取关键信息,辅助科研写作。

立即免费体验