Suppr超能文献

结节病支气管肺泡灌洗细胞的超微结构变化及其与组织肉芽肿的比较。

Ultrastructural changes in bronchoalveolar lavage cells in sarcoidosis and comparison with the tissue granuloma.

作者信息

Danel C, Dewar A, Corrin B, Turner-Warwick M, Chretien J

出版信息

Am J Pathol. 1983 Jul;112(1):7-17.

Abstract

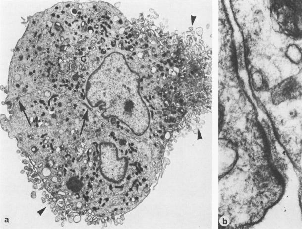
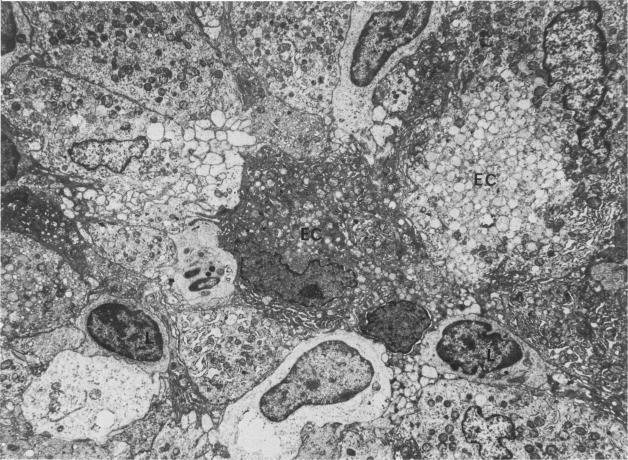
The authors undertook this study to determine whether there were any morphologic changes in bronchoalveolar lavage lymphocytes and macrophages in sarcoidosis and, in particular, to determine whether changes described previously in the mononuclear phagocytes of sarcoid granulomas were also evident in such cells obtained by lavage. Lavage cells from 28 sarcoidosis patients were studied by transmission electron microscopy and compared with lavage cells from 17 control subjects and with lung tissue granulomas from 5 sarcoidosis patients. Interactions between mononuclear phagocytes, especially subplasmalemmal linear densities, and between these cells and lymphocytes were observed in both the tissue granulomas and lavage specimens from sarcoidosis patients. Subplasmalemmal linear densities were never observed in control lavage specimens. Fully developed epitheloid cells were not identified in lavage specimens, but differences were nevertheless found between the lavage cells from sarcoidosis patients and control subjects: in particular, alveolar macrophages in sarcoidosis were larger and showed better developed pseudopodia, more marked polarity, less nuclear heterochromatin, and lysosomes that were larger and more numerous but less electron-dense than normal. Lymphocytes were also enlarged and contained more lysosomes. It is concluded that although there are only a few similarities between the cells of the granuloma and those obtained by bronchoalveolar lavage in sarcoidosis, there are noticeable differences between the lavage cells of sarcoidosis patients and control subjects. In sarcoidosis, a variable proportion (10-70%) of the lavage cells show morphologic features of "activation."

摘要

作者开展这项研究,旨在确定结节病患者支气管肺泡灌洗中的淋巴细胞和巨噬细胞是否存在形态学变化,尤其是确定先前在结节病肉芽肿单核吞噬细胞中所描述的变化,在通过灌洗获取的此类细胞中是否也很明显。通过透射电子显微镜对28例结节病患者的灌洗细胞进行研究,并与17例对照受试者的灌洗细胞以及5例结节病患者的肺组织肉芽肿进行比较。在结节病患者的组织肉芽肿和灌洗标本中均观察到单核吞噬细胞之间的相互作用,尤其是质膜下线性致密物,以及这些细胞与淋巴细胞之间的相互作用。在对照灌洗标本中从未观察到质膜下线性致密物。在灌洗标本中未识别出完全发育的上皮样细胞,但结节病患者的灌洗细胞与对照受试者的灌洗细胞之间仍存在差异:特别是,结节病中的肺泡巨噬细胞更大,伪足更发达,极性更明显,核异染色质更少,溶酶体更大且数量更多,但电子密度低于正常水平。淋巴细胞也增大,且含有更多溶酶体。得出的结论是,尽管结节病肉芽肿细胞与通过支气管肺泡灌洗获得的细胞之间只有少数相似之处,但结节病患者的灌洗细胞与对照受试者的灌洗细胞之间存在明显差异。在结节病中,可变比例(10 - 70%)的灌洗细胞呈现出“激活”的形态学特征。

https://cdn.ncbi.nlm.nih.gov/pmc/blobs/ab5d/1916316/6d128879f5fb/amjpathol00190-0016-a.jpg

文献检索

告别复杂PubMed语法,用中文像聊天一样搜索,搜遍4000万医学文献。AI智能推荐,让科研检索更轻松。

立即免费搜索

文件翻译

保留排版,准确专业,支持PDF/Word/PPT等文件格式,支持 12+语言互译。

免费翻译文档

深度研究

AI帮你快速写综述,25分钟生成高质量综述,智能提取关键信息,辅助科研写作。

立即免费体验