• 文献检索
  • 文档翻译
  • 深度研究
  • 学术资讯
  • Suppr Zotero 插件Zotero 插件
  • 邀请有礼
  • 套餐&价格
  • 历史记录
应用&插件
Suppr Zotero 插件Zotero 插件浏览器插件Mac 客户端Windows 客户端微信小程序
定价
高级版会员购买积分包购买API积分包
服务
文献检索文档翻译深度研究API 文档MCP 服务
关于我们
关于 Suppr公司介绍联系我们用户协议隐私条款
关注我们

Suppr 超能文献

核心技术专利:CN118964589B侵权必究
粤ICP备2023148730 号-1Suppr @ 2026

文献检索

告别复杂PubMed语法,用中文像聊天一样搜索,搜遍4000万医学文献。AI智能推荐,让科研检索更轻松。

立即免费搜索

文件翻译

保留排版,准确专业,支持PDF/Word/PPT等文件格式,支持 12+语言互译。

免费翻译文档

深度研究

AI帮你快速写综述,25分钟生成高质量综述,智能提取关键信息,辅助科研写作。

立即免费体验

犬心肌缺血时高能磷酸与致死性损伤的关系

Relation between high energy phosphate and lethal injury in myocardial ischemia in the dog.

作者信息

Jennings R B, Hawkins H K, Lowe J E, Hill M L, Klotman S, Reimer K A

出版信息

Am J Pathol. 1978 Jul;92(1):187-214.

PMID:686146
原文链接:https://pmc.ncbi.nlm.nih.gov/articles/PMC2018580/
Abstract

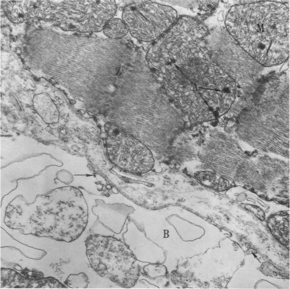
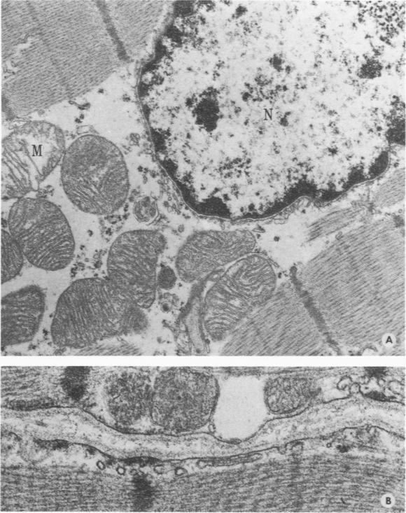
The relationship between progressive depletion of high energy phosphate and the onset of lethal cell injury in ischemic myocardium following coronary occlusion has been evaluated. Myocardial ischemia was induced by proximal occlusion of the circumflex coronary artery for 15, 30, 40, or 60 minutes. Cell injury in the severely ischemic posterior papillary muscle (PP) was evaluated by electron microscopy and by measuring the capacity of slices of the injured PP to maintain electrolytes, resynthesize high energy phosphate, and exclude inulin during in vitro incubation. ATP content in the ischemic myocardium decreased to 35%, 9%, 7%, and 5% of control values after 15, 30, 40, and 60 minutes of ischemia, respectively, and was associated with a corresponding depletion of total adenine nucleotides. The loss of 65% of the ATP after 15 minutes of ischemia (reversible injury) was associated with only minimal ultrastructural changes and no significant defects of electrolytes in incubated slices. However, the depletion of over 90% of the ATP after 40 minutes of ischemia (irreversible injury) was associated with significant fine structural changes and markedly altered cell volume regulation. The results suggest a close relationship between the marked depletion of high energy phsophates and the development of lethal injury in acutely ischemic myocardium.

摘要

已经评估了高能磷酸盐的逐渐耗竭与冠状动脉闭塞后缺血心肌中致死性细胞损伤发作之间的关系。通过旋支冠状动脉近端闭塞15、30、40或60分钟诱导心肌缺血。通过电子显微镜以及通过测量受损后乳头肌(PP)切片在体外孵育期间维持电解质、重新合成高能磷酸盐和排除菊粉的能力来评估严重缺血的后乳头肌(PP)中的细胞损伤。缺血心肌中的ATP含量在缺血15、30、40和60分钟后分别降至对照值的35%、9%、7%和5%,并且与总腺嘌呤核苷酸的相应消耗相关。缺血15分钟后ATP损失65%(可逆性损伤)仅伴有最小的超微结构变化,并且孵育切片中的电解质没有明显缺陷。然而,缺血40分钟后ATP消耗超过90%(不可逆性损伤)与明显的精细结构变化和明显改变的细胞体积调节相关。结果表明高能磷酸盐的明显消耗与急性缺血心肌中致死性损伤的发展之间存在密切关系。

https://cdn.ncbi.nlm.nih.gov/pmc/blobs/6c65/2018580/3bbfa90f76e9/amjpathol00735-0222-a.jpg
https://cdn.ncbi.nlm.nih.gov/pmc/blobs/6c65/2018580/7bf250973b5b/amjpathol00735-0218-a.jpg
https://cdn.ncbi.nlm.nih.gov/pmc/blobs/6c65/2018580/d8df3b54ff88/amjpathol00735-0223-a.jpg
https://cdn.ncbi.nlm.nih.gov/pmc/blobs/6c65/2018580/7c6cd7595d4c/amjpathol00735-0220-a.jpg
https://cdn.ncbi.nlm.nih.gov/pmc/blobs/6c65/2018580/1344112f5f0f/amjpathol00735-0221-a.jpg
https://cdn.ncbi.nlm.nih.gov/pmc/blobs/6c65/2018580/3bbfa90f76e9/amjpathol00735-0222-a.jpg
https://cdn.ncbi.nlm.nih.gov/pmc/blobs/6c65/2018580/7bf250973b5b/amjpathol00735-0218-a.jpg
https://cdn.ncbi.nlm.nih.gov/pmc/blobs/6c65/2018580/d8df3b54ff88/amjpathol00735-0223-a.jpg
https://cdn.ncbi.nlm.nih.gov/pmc/blobs/6c65/2018580/7c6cd7595d4c/amjpathol00735-0220-a.jpg
https://cdn.ncbi.nlm.nih.gov/pmc/blobs/6c65/2018580/1344112f5f0f/amjpathol00735-0221-a.jpg
https://cdn.ncbi.nlm.nih.gov/pmc/blobs/6c65/2018580/3bbfa90f76e9/amjpathol00735-0222-a.jpg

相似文献

1
Relation between high energy phosphate and lethal injury in myocardial ischemia in the dog.犬心肌缺血时高能磷酸与致死性损伤的关系
Am J Pathol. 1978 Jul;92(1):187-214.
2
Ischemic tissue injury.缺血性组织损伤
Am J Pathol. 1975 Oct;81(1):179-98.
3
Pathobiology of acute myocardial ischemia: metabolic, functional and ultrastructural studies.急性心肌缺血的病理生物学:代谢、功能及超微结构研究
Am J Cardiol. 1983 Jul 20;52(2):72A-81A. doi: 10.1016/0002-9149(83)90180-7.
4
Relationship between depletion of high-energy phosphate compounds and lethal ischemic myocardial cell injury.
Surg Forum. 1978;29:247-50.
5
Effect of repetitive brief episodes of ischemia on cell volume, electrolytes and ultrastructure.反复短暂缺血对细胞体积、电解质及超微结构的影响。
J Am Coll Cardiol. 1986 Jul;8(1 Suppl A):33A-41A. doi: 10.1016/s0735-1097(86)80026-2.
6
Studies on prolonged acute regional ischemia. III. Early natural history of simulated single and multivessel disease with emphasis on remote myocardium.关于长时间急性局部缺血的研究。III. 模拟单支和多支血管疾病的早期自然病史,重点关注远隔心肌。
J Thorac Cardiovasc Surg. 1989 Sep;98(3):368-80.
7
Metabolic deterioration during global ischemia as a function of time in the intact normal dog heart.
J Thorac Cardiovasc Surg. 1981 Feb;81(2):264-73.
8
Effect of reversible ischemia on the activity of the mitochondrial ATPase: relationship to ischemic preconditioning.可逆性缺血对线粒体ATP酶活性的影响:与缺血预处理的关系。
J Mol Cell Cardiol. 1996 Jan;28(1):103-12. doi: 10.1006/jmcc.1996.0010.
9
Effect of a transient period of ischemia on myocardial cells. I. Effects on cell volume regulation.短暂缺血期对心肌细胞的影响。I. 对细胞体积调节的影响。
Am J Pathol. 1974 Mar;74(3):381-97.
10
Correlation of mitochondrial function and ischemic contracture.
J Thorac Cardiovasc Surg. 1980 Apr;79(4):570-8.

引用本文的文献

1
Role of annexin A7 in the occurrence and progression of coronary atherosclerosis: a narrative review.膜联蛋白A7在冠状动脉粥样硬化发生发展中的作用:一篇叙述性综述
Cardiovasc Diagn Ther. 2025 Jun 30;15(3):653-664. doi: 10.21037/cdt-24-544. Epub 2025 Jun 23.
2
Inhibitors of NLRP3 Inflammasome Formation: A Cardioprotective Role for the Gasotransmitters Carbon Monoxide, Nitric Oxide, and Hydrogen Sulphide in Acute Myocardial Infarction.NLRP3 炎性小体形成抑制剂:气体递质一氧化碳、一氧化氮和硫化氢在急性心肌梗死中的心脏保护作用。
Int J Mol Sci. 2024 Aug 26;25(17):9247. doi: 10.3390/ijms25179247.
3
Response to oxidative stress of AML12 hepatocyte cells with knockout of methionine sulfoxide reductases.

本文引用的文献

1
Myocardial necrosis induced by temporary occlusion of a coronary artery in the dog.犬冠状动脉临时闭塞所致的心肌坏死
Arch Pathol. 1960 Jul;70:68-78.
2
[RESTITUTION OF ADENOSINE PHOSPHATES IN LIVER TISSUE DURING BLOOD PERFUSION AFTER THE STRESS OF ISCHEMIA OF UP TO 5 HOURS DURATION].[长达5小时缺血应激后肝脏组织在血液灌注期间腺苷磷酸的恢复情况]
Biochem Z. 1964 Dec 7;341:85-96.
3
Improvements in epoxy resin embedding methods.环氧树脂包埋方法的改进。
敲除甲硫氨酸亚砜还原酶后 AML12 肝细胞对氧化应激的反应。
Free Radic Biol Med. 2023 Aug 20;205:100-106. doi: 10.1016/j.freeradbiomed.2023.05.028. Epub 2023 Jun 7.
4
Development and prevention of ischemic contracture ("stone heart") in the pig heart.猪心脏缺血性挛缩(“石心”)的发展与预防
Front Cardiovasc Med. 2023 Feb 20;10:1105257. doi: 10.3389/fcvm.2023.1105257. eCollection 2023.
5
Utility of cardiac biomarkers in sports medicine: Focusing on troponin, natriuretic peptides, and hypoxanthine.心脏生物标志物在运动医学中的应用:聚焦肌钙蛋白、利钠肽和次黄嘌呤。
Sports Med Health Sci. 2020 May 23;2(2):65-71. doi: 10.1016/j.smhs.2020.05.003. eCollection 2020 Jun.
6
Ogfod1 deletion increases cardiac beta-alanine levels and protects mice against ischaemia- reperfusion injury.Ogfod1 缺失可增加心脏β-丙氨酸水平并保护小鼠免受缺血再灌注损伤。
Cardiovasc Res. 2022 Oct 21;118(13):2847-2858. doi: 10.1093/cvr/cvab323.
7
How cytosolic compartments play safeguard functions against neuroinflammation and cell death in cerebral ischemia.胞质区室如何在脑缺血中发挥抵御神经炎症和细胞死亡的保护功能。
Metab Brain Dis. 2021 Oct;36(7):1445-1467. doi: 10.1007/s11011-021-00770-z. Epub 2021 Jun 26.
8
Fingolimod (FTY720) Preserves High Energy Phosphates and Improves Cardiac Function in Heterotopic Heart Transplantation Model.芬戈莫德(FTY720)可保存高能磷化合物并改善异位心脏移植模型的心脏功能。
Int J Mol Sci. 2020 Sep 8;21(18):6548. doi: 10.3390/ijms21186548.
9
Exploring Impaired SERCA Pump-Caused Alternation Occurrence in Ischemia.探讨缺血时 SERCA 泵功能障碍引起的交替发生变化。
Comput Math Methods Med. 2019 Nov 12;2019:8237071. doi: 10.1155/2019/8237071. eCollection 2019.
10
Dynamic changes in purine catabolism in patients with acute coronary syndrome that underwent percutaneous coronary intervention.接受经皮冠状动脉介入治疗的急性冠状动脉综合征患者嘌呤分解代谢的动态变化。
Caspian J Intern Med. 2019 Winter;10(1):86-91. doi: 10.22088/cjim.10.1.86.
J Biophys Biochem Cytol. 1961 Feb;9(2):409-14. doi: 10.1083/jcb.9.2.409.
4
Polarographic oxygen, the epicardial electrocardiogram and muscle contraction in experimental acute regional ischemia of the left ventricle.极谱法测定的氧、心外膜心电图与实验性急性左心室局部缺血时的肌肉收缩
Circ Res. 1958 Nov;6(6):779-98. doi: 10.1161/01.res.6.6.779.
5
Studies on distribution and localization to potassium in early myocardial ischemic injury.早期心肌缺血损伤中钾的分布及定位研究。
AMA Arch Pathol. 1957 Jun;63(6):586-92.
6
Production of an area of homogeneous myocardial infarction in the dog.在犬身上制造均匀性心肌梗死区域。
AMA Arch Pathol. 1957 Jun;63(6):580-5.
7
Myocardial high energy phosphate stores in acutely induced hypoxic heart failure.
Circ Res. 1966 Aug;19(2):221-9. doi: 10.1161/01.res.19.2.221.
8
Functional compartmentation of ATP and creatine phosphate in heart muscle.心肌中三磷酸腺苷和磷酸肌酸的功能区室化
J Mol Cell Cardiol. 1970 Sep;1(3):325-39. doi: 10.1016/0022-2828(70)90009-x.
9
Protective role of increased myocardial glycogen stores in cardiac anoxia in the rat.心肌糖原储备增加对大鼠心脏缺氧的保护作用。
Circ Res. 1970 Nov;27(5):835-49. doi: 10.1161/01.res.27.5.835.
10
Electrolytes of damaged myocardial mitochondria.
Proc Soc Exp Biol Med. 1970 Nov;135(2):515-22. doi: 10.3181/00379727-135-35086.