Suppr超能文献

周期性造血犬:自发性继发性淀粉样变性的模型。一项形态学研究。

The cyclic hematopoietic dog: a model for spontaneous secondary amyloidosis. A morphologic study.

作者信息

Machado E A, Gregory R S, Jones J B, Lange R D

出版信息

Am J Pathol. 1978 Jul;92(1):23-34.

Abstract

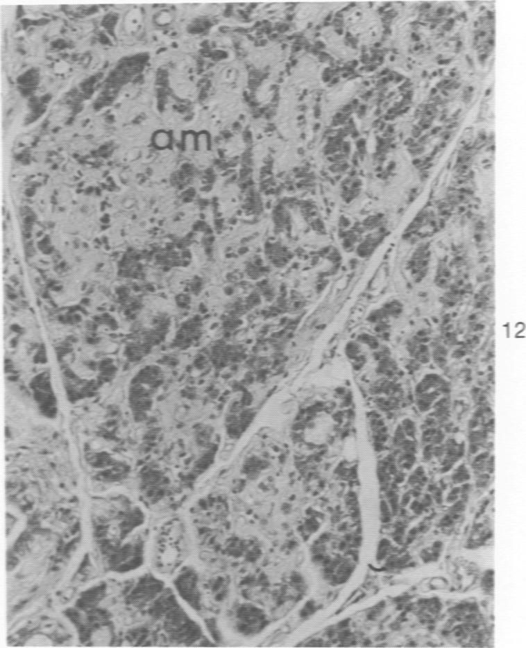
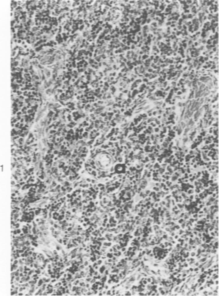
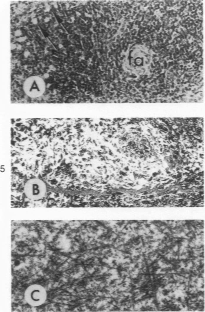
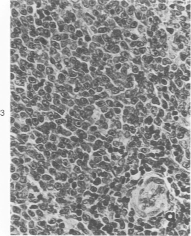
Spontaneous amyloidosis was found in dogs affected with hereditary cyclic hematopoiesis (CH dogs). Early perifollicular deposits of amyloid were observed in the spleens of 15-week-old CH dogs. By the 24th week, amyloid deposits were also found in the liver, kidneys, pancreas, adrenals, and small intestine; the incidence of the condition rose to more than 90%. The visceral involvement and the histologic characteristics of amyloid deposition closely resemble those of the secondary form in humans. A transient lymphoid hypoplasia was noted in the spleens of neonates and pups. This abnormality did not appear to be related to exogenous conditions. In young adult dogs, the initial hypoplastic characteristics were replaced by enlarged marginal zones in the follicles of the spleen, composed of pyroninophilic cells and, in a later stage, of PAS-positive cells. These cellular changes preceded the amyloid deposition. Due to the characteristic cyclic neutropenia of the hereditarily transmitted hematologic syndrome, most CH dogs experience episodes of infectious diseases, although the episodes of infection may be separated by long periods of relatively good health. This may provide the underlying antigenic stimulation which triggers the process of amyloid deposition. However, the lag period for the onset of amyloidosis is extremely short and the type of infections is not considered a predisposing factor for amyloid deposition. It is possible that a peculiar sensitivity of the lymphoid system in the CH dog would facilitate the development of widespread amyloidosis. Since the sequence of splenic lymphoid hypoplasia, follicular activation, and amyloid deposition associated with age are consistently repeated, the CH dog may be a suitable animal model for the study of the pathogenesis of secondary form of amyloidosis in humans.

摘要

在患有遗传性循环性造血障碍的犬(CH犬)中发现了自发性淀粉样变性。在15周龄的CH犬脾脏中观察到早期滤泡周围淀粉样沉积。到第24周时,在肝脏、肾脏、胰腺、肾上腺和小肠中也发现了淀粉样沉积;该病的发病率上升至90%以上。内脏受累情况及淀粉样沉积的组织学特征与人类继发性淀粉样变性极为相似。在新生幼犬和幼崽的脾脏中发现了短暂性淋巴细胞发育不全。这种异常似乎与外部因素无关。在年轻成年犬中,最初的发育不全特征被脾脏滤泡边缘区扩大所取代,边缘区由嗜派洛宁细胞组成,后期由PAS阳性细胞组成。这些细胞变化先于淀粉样沉积出现。由于遗传性血液综合征具有特征性的周期性中性粒细胞减少,大多数CH犬会经历感染性疾病发作,尽管感染发作之间可能间隔较长时间的相对健康状态。这可能提供了触发淀粉样沉积过程的潜在抗原刺激。然而,淀粉样变性发病的潜伏期极短,且感染类型不被认为是淀粉样沉积的诱发因素。CH犬淋巴系统可能具有的特殊敏感性可能促进广泛淀粉样变性的发展。由于与年龄相关的脾脏淋巴细胞发育不全、滤泡激活和淀粉样沉积的顺序持续重复出现,CH犬可能是研究人类继发性淀粉样变性发病机制的合适动物模型。

https://cdn.ncbi.nlm.nih.gov/pmc/blobs/4f72/2018582/31cde0502fc2/amjpathol00735-0040-a.jpg

文献检索

告别复杂PubMed语法,用中文像聊天一样搜索,搜遍4000万医学文献。AI智能推荐,让科研检索更轻松。

立即免费搜索

文件翻译

保留排版,准确专业,支持PDF/Word/PPT等文件格式,支持 12+语言互译。

免费翻译文档

深度研究

AI帮你快速写综述,25分钟生成高质量综述,智能提取关键信息,辅助科研写作。

立即免费体验