Suppr超能文献

胆管黏液表皮样癌

Mucoepidermoid carcinoma of the bile duct.

作者信息

Koo J, Ho J, Wong J, Ong G B

出版信息

Ann Surg. 1982 Aug;196(2):140-8. doi: 10.1097/00000658-198208000-00005.

Abstract

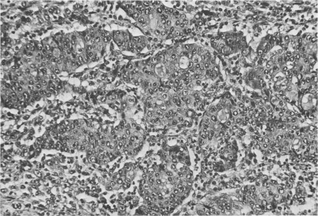
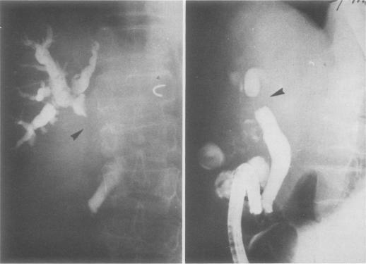
Three patients with mucoepidermoid carcinoma of the bile duct are described. In two patients the tumor arose from the common hepatic duct. Mucoepidermoid carcinoma of the extrahepatic bile duct has not been previously reported. The clinical features and pathologic behavior of this rare type of tumor are similar to the usual biliary adenocarcinoma. The coexistence of Clonorchis sinensis infestation and primary pyogenic cholangitis raises the possibility of an etiologic association.

摘要

本文描述了3例胆管黏液表皮样癌患者。其中2例肿瘤起源于肝总管。肝外胆管黏液表皮样癌此前未见报道。这种罕见类型肿瘤的临床特征和病理行为与常见的胆管腺癌相似。华支睾吸虫感染与原发性化脓性胆管炎并存增加了病因学关联的可能性。

https://cdn.ncbi.nlm.nih.gov/pmc/blobs/b0f9/1352468/fb17ee112113/annsurg00138-0039-a.jpg

文献检索

告别复杂PubMed语法,用中文像聊天一样搜索,搜遍4000万医学文献。AI智能推荐,让科研检索更轻松。

立即免费搜索

文件翻译

保留排版,准确专业,支持PDF/Word/PPT等文件格式,支持 12+语言互译。

免费翻译文档

深度研究

AI帮你快速写综述,25分钟生成高质量综述,智能提取关键信息,辅助科研写作。

立即免费体验