Suppr超能文献

绵羊胚胎着床时滋养层乳头的结构。

Structure of trophoblast papillae on the sheep conceptus at implantation.

作者信息

Wooding F B, Staples L D, Peacock M A

出版信息

J Anat. 1982 May;134(Pt 3):507-16.

Abstract

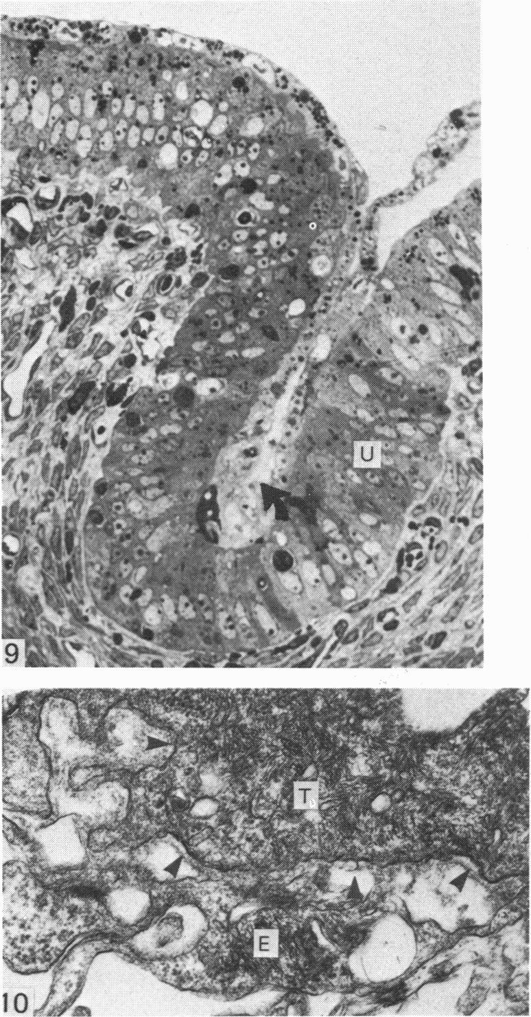
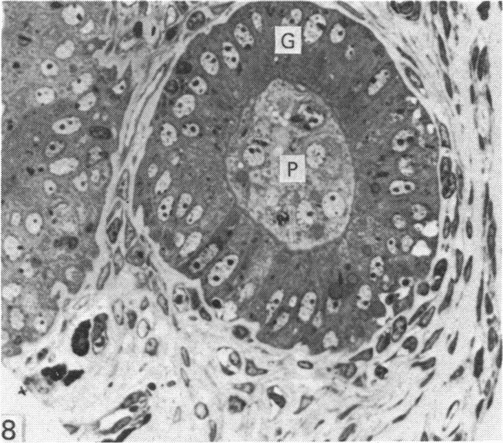
A study of 13-18 days old sheep conceptuses has consistently demonstrated the presence of multicellular protrusions (papillae) from the trophectoderm surface. These papillae were shown to be restricted to the embryonic region of conceptuses flushed out of the uterus. After perfusion fixation of the uterus on day 16 of pregnancy, the papillae can be observed penetrating well down into the lumina of the uterine glands. The papillae have not been observed at or after day 20. It is suggested that the papillae may play an important but transient role in anchoring the embryonic region of the conceptus against the uterine epithelium to allow the initiation of the cellular changes characteristic of implantation.

摘要

一项针对13至18日龄绵羊胚胎的研究一直表明,滋养外胚层表面存在多细胞突起(乳头)。这些乳头被证明仅限于从子宫中冲出的胚胎的胚胎区域。在妊娠第16天对子宫进行灌注固定后,可以观察到乳头深入子宫腺腔。在第20天及之后未观察到乳头。有人认为,乳头可能在将胚胎的胚胎区域锚定在子宫上皮上以启动植入特征性细胞变化方面发挥重要但短暂的作用。

https://cdn.ncbi.nlm.nih.gov/pmc/blobs/1bff/1167889/6d1531e0912c/janat00219-0095-a.jpg

文献检索

告别复杂PubMed语法,用中文像聊天一样搜索,搜遍4000万医学文献。AI智能推荐,让科研检索更轻松。

立即免费搜索

文件翻译

保留排版,准确专业,支持PDF/Word/PPT等文件格式,支持 12+语言互译。

免费翻译文档

深度研究

AI帮你快速写综述,25分钟生成高质量综述,智能提取关键信息,辅助科研写作。

立即免费体验