Suppr超能文献

高原居民的肺静脉:一项形态计量学研究。

Pulmonary veins in high-altitude residents: a morphometric study.

作者信息

Wagenvoort C A, Wagenvoort N

出版信息

Thorax. 1982 Dec;37(12):931-5. doi: 10.1136/thx.37.12.931.

Abstract

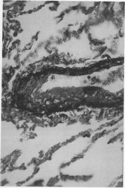
The thickness of the media of pulmonary veins and arteries was morphometrically assessed in 12 normal adults resident at altitudes over 3000 m and 12 resident at sea level. The pulmonary veins in the latter group were very thin walled. The average thickness of the pulmonary venous media in the group of highlanders was significantly thicker but this appeared to be due to prominent medial hypertrophy in seven individuals, five others having normal or near-normal pulmonary veins. In six of the 12 highlanders bundles of longitudinal smooth muscle cells occurred in the venous intima. There was close correlation between the thickness of the venous and that of the arterial media, suggesting an individual reactivity with a simultaneous response of all pulmonary vascular smooth muscle to high-altitude hypoxia. Hypertrophy of the media of pulmonary veins is likely to be an expression of venoconstriction and narrowing of the venous lumen may be enhanced by the development of longitudinal smooth muscle cells in the intima. Possibly venoconstriction is one of the factors responsible for high-altitude pulmonary oedema.

摘要

对居住在海拔3000米以上的12名正常成年人以及居住在海平面的12名正常成年人的肺静脉和肺动脉中膜厚度进行了形态测量评估。后一组的肺静脉壁非常薄。高原人群组肺静脉中膜的平均厚度明显更厚,但这似乎是由于7个人出现了明显的中膜肥厚,另外5个人的肺静脉正常或接近正常。在12名高原人中,有6人的静脉内膜出现了纵向平滑肌细胞束。静脉中膜厚度与动脉中膜厚度之间存在密切相关性,表明个体反应性以及所有肺血管平滑肌对高原低氧的同时反应。肺静脉中膜肥厚可能是静脉收缩的一种表现,内膜中纵向平滑肌细胞的发育可能会加剧静脉腔的狭窄。静脉收缩可能是导致高原肺水肿的因素之一。

https://cdn.ncbi.nlm.nih.gov/pmc/blobs/beb2/459461/2daa0c4933aa/thorax00204-0061-a.jpg

文献检索

告别复杂PubMed语法,用中文像聊天一样搜索,搜遍4000万医学文献。AI智能推荐,让科研检索更轻松。

立即免费搜索

文件翻译

保留排版,准确专业,支持PDF/Word/PPT等文件格式,支持 12+语言互译。

免费翻译文档

深度研究

AI帮你快速写综述,25分钟生成高质量综述,智能提取关键信息,辅助科研写作。

立即免费体验