Suppr超能文献

正常人类下尿路衬里上皮的表面超微结构。

Surface ultrastructure of the epithelia lining the normal human lower urinary tract.

作者信息

Newman J, Hicks R M

出版信息

Br J Exp Pathol. 1981 Jun;62(3):232-51.

Abstract

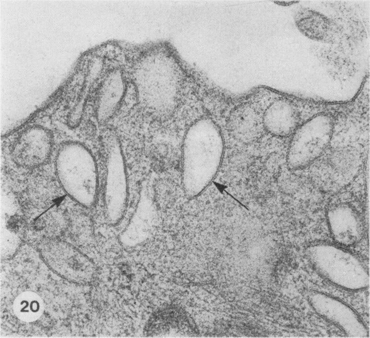
The finding of cells with pleomorphic microvilli in urinary sediments has been proposed as an indicator for urothelial neoplasia. Recently, in addition to such cells, others with less bizarre, non-pleomorphic microvilli have also been found in urothelial cancers, and these cells are similar in appearance to others detected in the urinary sediments of healthy people. When using scanning electron microscopy as a diagnostic tool, these cells are a possible source of confusion. The entire lower urinary tracts from people free of urothelial neoplasia have therefore been examined to delineate the normal surface appearance of all cell types which could appear in the urine. There are 4 predominant cell types: the large, flat squamous cells of the urethral meatus which have abundant microridges; cells with mucus-coated, short, stubby microvilli lining the urethra and renal papilla; immature urothelial cells with chains and ridges of bleb-like processes in the ureters and bladder; and, also in the ureters and bladder, mature urothelial cells with microridges or ruffles. The lining epithelia of the normal urethra and renal papilla may thus contribute cells with non-pleomorphic stubby microvilli to urine sediments, which cannot be differentiated by scanning electron microscopy alone from similar cells derived from urothelial neoplasms. However, the normal complement of cells lining the adult lower urinary tract does not include any with prolific, long, pleomorphic microvilli such as characterize transitional-cell carcinomas of the urothelium.

摘要

尿沉渣中发现具有多形性微绒毛的细胞已被提议作为尿路上皮肿瘤的一个指标。最近,除了这类细胞外,在尿路上皮癌中还发现了其他一些微绒毛不那么怪异、非多形性的细胞,这些细胞在外观上与健康人尿沉渣中检测到的其他细胞相似。当使用扫描电子显微镜作为诊断工具时,这些细胞可能会造成混淆。因此,对无尿路上皮肿瘤的人的整个下尿路进行了检查,以描绘出可能出现在尿液中的所有细胞类型的正常表面外观。有4种主要细胞类型:尿道口的大的扁平鳞状细胞,其有丰富的微嵴;尿道和肾乳头内衬有黏液包被的短而粗的微绒毛的细胞;输尿管和膀胱中具有泡状突起链和嵴的未成熟尿路上皮细胞;以及同样在输尿管和膀胱中的具有微嵴或皱褶的成熟尿路上皮细胞。因此,正常尿道和肾乳头的衬里上皮可能会向尿沉渣中贡献具有非多形性粗短微绒毛的细胞,仅通过扫描电子显微镜无法将其与源自尿路上皮肿瘤的类似细胞区分开来。然而,成年下尿路衬里细胞的正常组成中不包括任何具有丰富、长、多形性微绒毛的细胞,而这种微绒毛是尿路上皮移行细胞癌的特征。

https://cdn.ncbi.nlm.nih.gov/pmc/blobs/7b6f/2041687/9b290487ff91/brjexppathol00111-0024-a.jpg

文献检索

告别复杂PubMed语法,用中文像聊天一样搜索,搜遍4000万医学文献。AI智能推荐,让科研检索更轻松。

立即免费搜索

文件翻译

保留排版,准确专业,支持PDF/Word/PPT等文件格式,支持 12+语言互译。

免费翻译文档

深度研究

AI帮你快速写综述,25分钟生成高质量综述,智能提取关键信息,辅助科研写作。

立即免费体验